
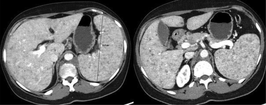
Figure 1
Axial contrast-enhanced CT

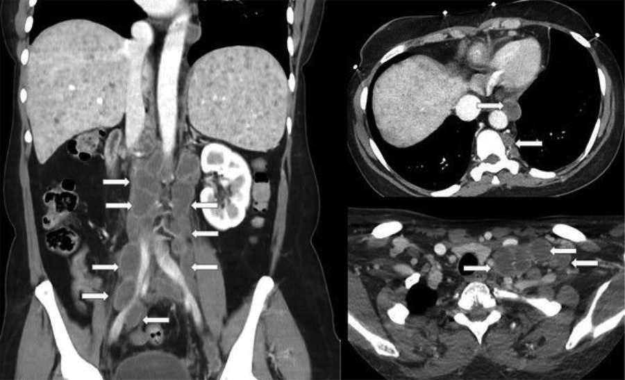
Figure 2
Coronal and axial contrast-enhanced CT

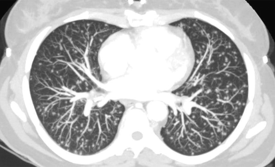
Figure 3
Computed tomography parenchymal window of the lung

© 2024 Hafsa Selmani, Adelard I. De Backer, Bart Ilsen, published by Ubiquity Press
This work is licensed under the Creative Commons Attribution 4.0 License.