
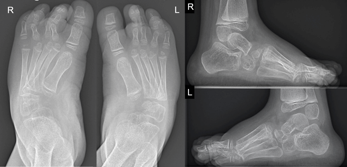
Figure 1
The radiographs of the ankle and feet reveal an extensive osteolysis of the tarsal bone, especially at the medial side of the midfoot and proximal metatarsal bone, causing a slight inward deformity of the forefeet.

Figure 2
The radiographs of the hands, carpi and distal forearms show a massive osteolysis of the carpal bones bilaterally. The osteolysis also involves the proximal metacarpal bones, which appear tapered and anteriorly subluxated, especially at the right hand. Periarticular soft tissues are swollen with decreased transparancy. The osteolysis of the distal forearm results in radial epiphysis disappearance and radial and ulnar deformity on the left side.

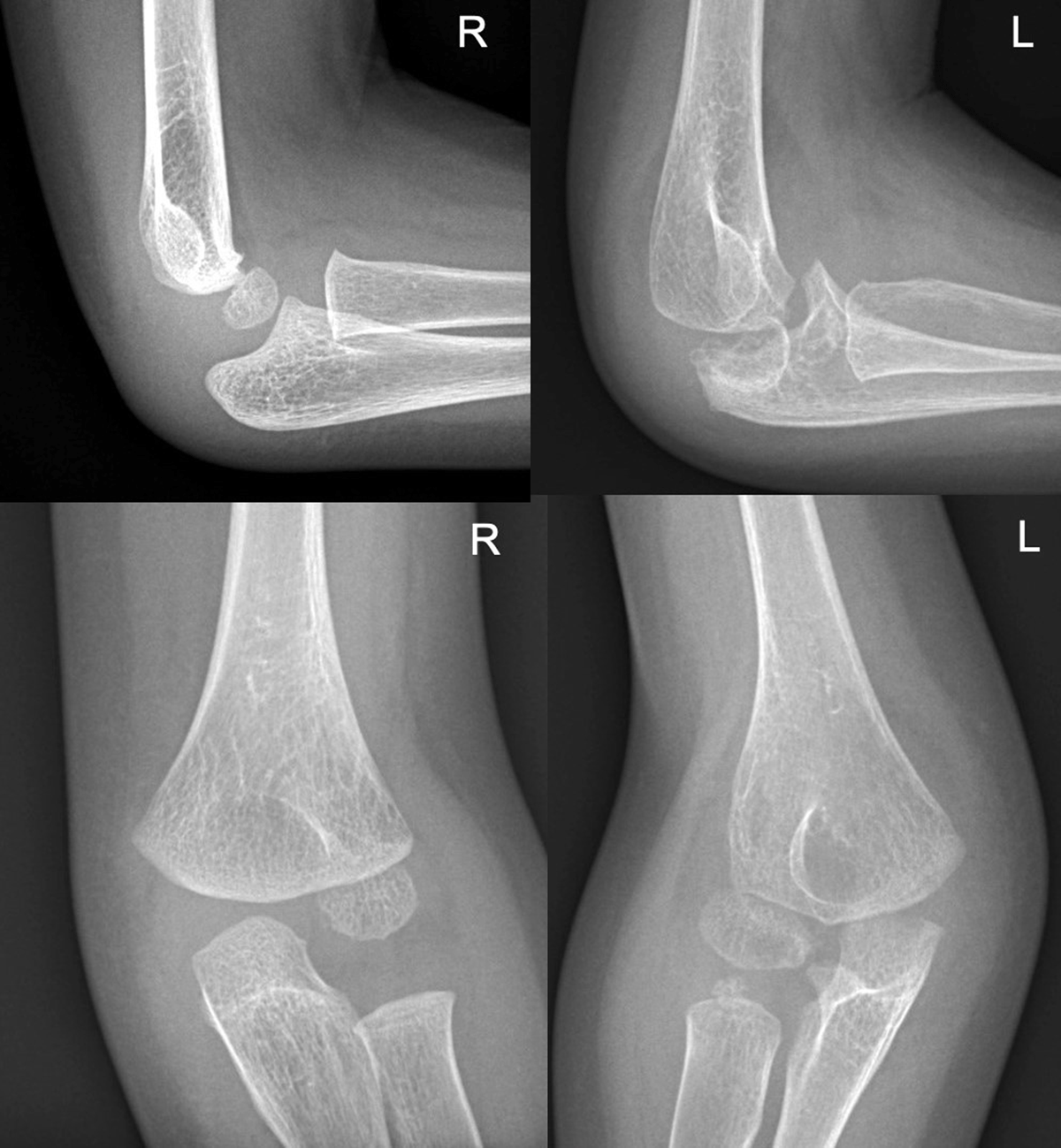
Figure 3
The radiographs of elbows show a significant osteolysis of the left elbow, leading to joint collapse. Soft tissues around the right elbow are swollen. The right elbow appears normal.
