
Figure 1
Fibrous dysplasia in McCune-Albright syndrome. On this axial CT image in bone window settings, extensive ground glass appearance and osseous expansion is seen, typical of fibrous dysplasia.

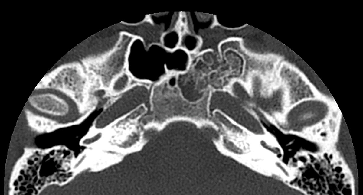
Figure 2
Arrested pneumatization of the sphenoid. This frequently encountered congenital variant of the skull base is demonstrated on this axial CT image in bone window settings. It should be recognized as a benign entity without clinical significance that does not require further follow-up.

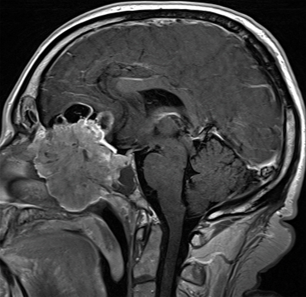
Figure 3
Olfactory neuroblastoma. This malignant neuroectodermal tumour arises from the olfactory epithelium in the superior nasal cavity and often extends intracranially across the lamina cribrosa, as is depicted on this sagittal post-contrast T1-weighted MR image.

Stephanie Vanden Bossche
