Table 1
Compliance with Urolithiasis Procedure according to Hospitals.
| FIRST AUDIT | SECOND AUDIT | P VALUE | ||
|---|---|---|---|---|
| Hospital A | 0 criterion | 35.2% (44/125) | 23.9% (38/159) | <0.001 |
| 1 criterion | 52.8% (66/125) | 38.4% (61/159) | ||
| 2 criteria | 12% (15/125) | 37.7% (60/159) | ||
| At least 1 criterion | 64.8% (81/125) | 76.10% (121/159) | 0.037 | |
| Hospital B | 0 criterion | 53.9% (55/102) | 38.9% (44/113) | 0.013 |
| 1 criterion | 29.4% (30/102) | 27.5% (31/113) | ||
| 2 criteria | 16.7% (17/102) | 33.6% (38/113) | ||
| At least 1 criterion | 46.08% (47/102) | 61.06% (69/113) | 0.028 | |
| Hospital C | 0 criterion | 58.33% (7/12) | 50% (3/6) | 0.501 |
| 1 criterion | 25% (3/12) | 50% (3/6) | ||
| 2 criteria | 16.67% (2/12) | 0% (0/6) | ||
| At least 1 criterion | 41.67% (5/12) | 50% (3/6) | 0.740 | |
| Hospital A. B and C | 0 criterion | 44.35% (106/239) | 30.94% (86/278) | <0.001 |
| 1 criterion | 41.42% (99/239) | 34.17% (95/278) | ||
| 2 criteria | 14.23% (34/239) | 35.25% (98/278) | ||
| At least 1 criterion | 55.65% (133/239) | 69.42% (193/278) | 0.00117 |

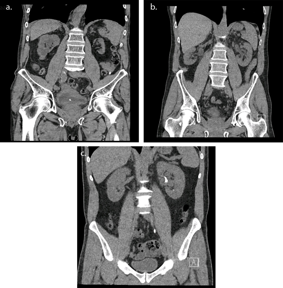
Figure 1
CT examination for urolithiasis in coronal section for three patients of similar diameters: (a) wrong acquisition length and protocol selection – DLP 206.1 mGy.cm (b) right protocol but wrong acquisition length – DLP 82.4 mGy.cm (c) right protocol selection using Tin Filter and right acquisition length – DLP 34.3 mGy.cm.
Table 2
Compliance with Urolithiasis Procedure according to Radiologists.
| FIRST AUDIT | SECOND AUDIT | ||
|---|---|---|---|
| RAD1 | 0 criterion | 41.18% (7/17) | 34.21% (13/38) |
| At least 1 criterion | 58.82% (10/17) | 65.79% (25/38) | |
| RAD2 | 0 criterion | 45% (9/20) | 24.14% (7/29) |
| At least 1 criterion | 55% (11/20) | 75.86% (22/29) | |
| RAD3 | 0 criterion | 55.56% (10/18) | 33.33% (8/24) |
| At least 1 criterion | 44.44% (8/18) | 66.67% (16/24) | |
| RAD4 | 0 criterion | 54.55% (6/11) | 56.25% (9/16) |
| At least 1 criterion | 45.45% (5/11) | 43.75% (7/16) | |
| RAD5 | 0 criterion | 62.5% (10/16) | 28.57% (4/14) |
| At least 1 criterion | 37.5% (6/16) | 71.43% (10/14) | |
| RAD6 | 0 criterion | 55.56% (10/18) | 23.08% (3/13) |
| At least 1 criterion | 44.44% (8/18) | 76.92% (10/13) | |
| RAD7 | 0 criterion | 0% (0/7) | 11.11% (1/9) |
| At least 1 criterion | 100% (7/7) | 88.89% (8/9) | |
| RAD8 | 0 criterion | 43.75% (7/16) | 40% (6/15) |
| At least 1 criterion | 56.25% (9/16) | 60% (9/15) | |
| RAD9 | 0 criterion | 25.81% (8/31) | 16.67% (5/30) |
| At least 1 criterion | 74.19% (23/31) | 83.33% (25/30) | |
| RAD10 | 0 criterion | 45% (9/20) | 14.29% (2/14) |
| At least 1 criterion | 55% (11/20) | 85.71% (12/14) | |
| RAD11 | 0 criterion | 0% (0/3) | 11.11% (2/18) |
| At least 1 criterion | 100% (3/3) | 88.89% (16/18) | |
| RAD12 | 0 criterion | 60% (6/10) | 100% (2/2) |
| At least 1 criterion | 40% (4/10) | 0% (0/2) |
[i] Note: RAD = Radiologist.
