
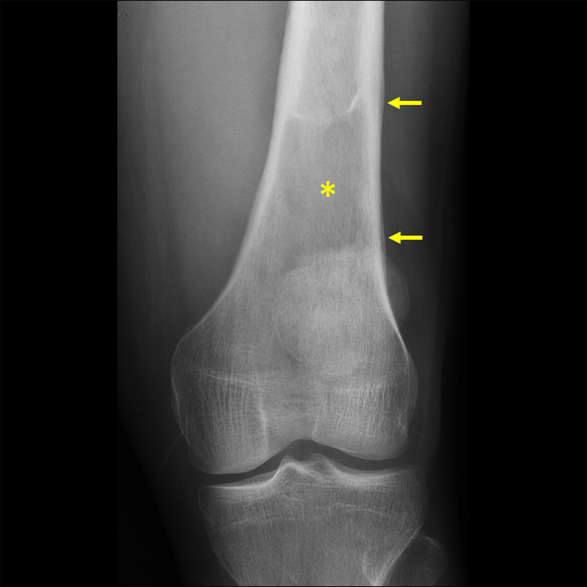
Figure 1
Knee radiograph showing a lytic lesion in the femur with lamellated periosteal reaction.

Figure 2
CT of the knee showing preserved integrity of the femur’s cortex.

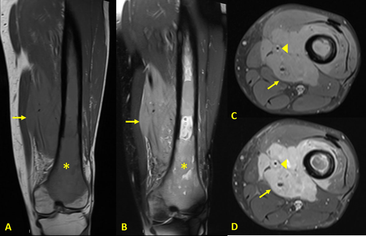
Figure 3
MRI of the knee showing a large soft tissue mass infiltrating the thigh’s muscles.
