Rupture of the distal biceps brachii tendon (DBBT) is a relatively uncommon injury and typically results from a heavy loading of the distal biceps tendon in the flexed position. It is encountered in certain high-risk groups, such as young sportsmen (especially in contact sports and when using anabolic steroids) and middle-aged patients (from age 40 to 60) sometimes secondary to tendinopathy in elderly people [1].
The DBBT has an important role in supination and flexion of the elbow. In the diagnostic evaluation of DBBT injuries, precise knowledge of the anatomy is important. As for the proximal biceps tendon, the DBBT is composed of two tendinous components, a long head and a short head. The long head inserts at the proximal aspect of the radial tuberosity and acts as a supinator; the short head inserts at the distal aspect of the radial tuberosity and contributes to the flexion of the elbow. An important structure is the ‘lacertus fibrosis’, a continuation of the internal bicipital aponeurosis that connects the DBBT to the fascia over the forearm flexor muscles and which can prevent retraction of the DBBT in case of complete tendon tear. The amount of proximal retraction of the torn DBBT depends on whether there is a partial or a complete tear and on the integrity of the lacertus fibrosis [12] (Figure 1).

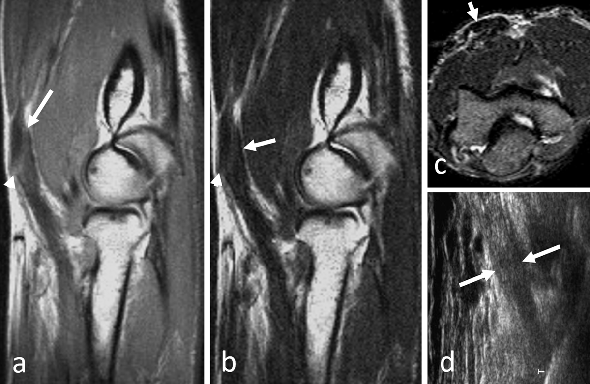
Figure 1a–d
Chronic rupture of the distal biceps tendon with inhomogeneous signal on sagittal proton-density image (a, arrow and arrowhead) and fibrous infiltration with low signal on T2-weighted image (b, arrow and arrowhead). The lacertus fibrosis (c, arrow) is not torn; the underlying biceps tendon is thickened and hypointense on axial STIR. On longitudinal ultrasonographic view (d, arrows), the tendon looks continuous. The clinical diagnosis can also be difficult in absence of tendon retraction (due to intact lacertus fibrosis).
A complete DBBT rupture can clinically be suspected with the Hook test. Ultrasound (US) and magnetic resonance imaging (MRI) may be helpful to confirm the diagnosis of DBBT rupture (Figure 2) and to detect other conditions such as tendinosis. Conventional radiographs are routinely done to rule out associated bony injuries. For postoperative complications after DBBT repair, the dynamic approach of US may be helpful.

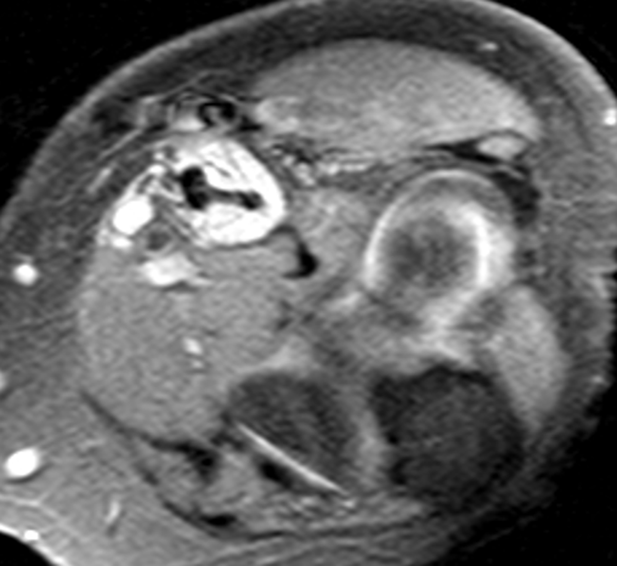
Figure 2a–c
Complete posttraumatic rupture of the DBBT and of the lacertus fibrosis with retraction of the proximal stump and intratendinous areas of increased signal on sagittal T1-weighted and axial proton-density fat-saturated images (arrows) and with surrounding high signal fluid collection on the axial views. The tendon was surgically refixed by two anchors.
According to the comparative study of Lynch et al., MRI has a better diagnostic accuracy than US for the diagnosis of a complete DBBT tear. The authors found a similar diagnostic accuracy for the diagnosis of an incomplete DBBT tear [3]. MRI is thus considered as the gold standard in the diagnosis of the DBBT injury and is especially useful in diagnosing complete DBBT tears and for assessment of the extent of tendon retraction, the condition of the lacertus fibrosis and to locate the torn tendon stump in complete DBBT tears. Common associated findings include bicipitoradial bursitis and bone marrow edema in the radial tuberosity (Figure 3).

Figure 3
Fluid collection in the bicipitoradial bursa with high signal intensity on proton-density fat-saturated image, associated to injury to the distal biceps tendon.
The FABS (flexed elbow, abducted shoulder, supinated forearm) position has been described in 2004 for a better view of the DBBT in its long axis (Figure 4). A recent review of 46 elbow MRIs with and without FABS sequences showed that the FABS sequence did not significantly change the diagnostic accuracy in DBBT imaging. The FABS position may be helpful to disclose subtle residual tendon fibers in challenging cases of high-grade partial versus complete DBBT tear [4]. MRI protocol of biceps tendon pathology should include Short-Tau Inversion-Recovery (STIR) and T1-weighted sequences in axial and sagittal planes.

Figure 4
MR T1-weighted image (a) is obtained in FABS position with a flexed elbow, abducted shoulder, and supinated forearm as shown on the picture from Giuffre et al. (b).
Non-operative treatment is preferred for partial DBBT tears involving less than 50% of tendon thickness. Operative treatment is recommended in case of failure of non-operative treatment of partial DBBT tears affecting less than 50% of tendon thickness and in symptomatic partial tears of the DBBT affecting more than 50% of tendon thickness. Operative treatment may be indicated in complete DBBT tears of young medically fit patients and usually shows a good functional outcome. Early diagnosis within four weeks after trauma is important for a primary repair with a good functional outcome. Delayed repair after more than four weeks is associated with less favorable functional outcome and higher failure rate due to shortening of the biceps muscle. Neglected chronic complete rupture or delayed presentation of a complete DBBT rupture may require reconstructive procedure using allograft material [1].
In conclusion, US and MRI could be useful to confirm the clinical diagnosis of DBBT rupture. MRI is considered as the gold-standard for assessment of complete DBBT tear. It is useful for the detection of partial DBBT tear and tendinosis, for assessing the integrity of the lacertus fibrosis in case of complete tear, the amount of tendon retraction, the location of the tendon stump and other associated findings if present. Early diagnosis within four weeks is important for a good functional outcome.
Competing Interests
The authors have no competing interests to declare.
