
Figure 1
Rotation of C1 on C2 on CT in neutral position.

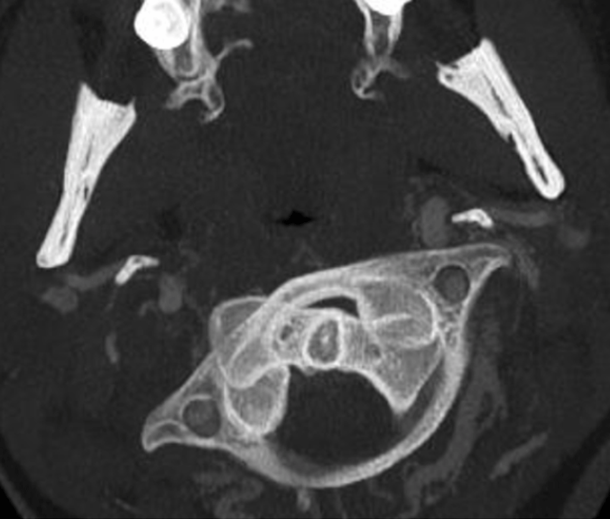
Figure 2
Atlas and axis rotate as one unit on CT with maximal contralateral head rotation.

Figure 3
Lateral and open mouth views radiographs.

© 2022 Damla Can, Unal Duran, Robert Ferdinand Dondelinger, published by Ubiquity Press
This work is licensed under the Creative Commons Attribution 4.0 License.