
Figure 1
Bow-tie sign and laminar space sign.
Lateral radiograph of the cervical spine (A) of a 33-year-old man following a fall from an electric scooter shows a grade I anterolisthesis with less than 25% anterior translation of C6 on C7 vertebrae. In addition, there is an oblique fracture across the spinous process of C6 vertebra, which is consistent with clay-shoveler fracture (single-headed arrow). Besides focal kyphosis and reduced overlap of the articular processes, there is fanning or widening of the interspinous distance (double-headed arrow).
The laminar space (which is the distance between the spinolaminar line and the posterior surface of the articular pillars) widens progressively from C3 to C6 level. It changes abruptly and narrows at the C7 level (B). These changes indicate a sudden rotational injury at C6–7 level. Displacement of the interfacetal joint with rotational deformity at this level produces a “bow-tie” appearance and a “double-appearance” of articular facets above the C6–7 level.

Figure 2
Floating vertebra sign and teardrop sign.
Sagittal CT cervical spine of a 77-year-old man following a high energy motor vehicle accident shows 100% translation of the C6 on C7 vertebral bodies, which is consistent with a grade IV anterolisthesis. The appearance of a “floating vertebra” (upward pointing arrow) is associated with bilateral facet joint dislocation and injury to the posterior ligamentous complex. In addition, there are fractures involving the C5 and C6 spinous processes (double head arrow). The mechanism of injury is secondary to forceful muscle contraction, transmitted through the supraspinous ligaments. The tremendous contraction force produces the avulsion fractures of the spinous process known as clay-shoveler fracture. Note the presence of a tiny anterior “teardrop” fracture at the anterior and inferior aspect of the C6 vertebral body (arrow head).

Figure 3
Hamburger bun sign, reverse hamburger bun sign and Naked facet sign.
The “hamburger bun” sign resembles the normal appearance of facet joints on axial CT cervical spine scan of the before-mentioned 77-year-old man (A). Facet joint dislocations upset this relationship and reverse the orientation of the “bun” halves to each other. Hence, the “reverse hamburger bun sign”, also known as “naked facet sign”, represents the appearance on axial CT scan of an exposed facet joint at C6–7 level when it is dislocated (B). These signs are often seen in either unilateral or bilateral facet joint dislocation as a result of flexion-distraction injury—where the inferior articular facet of the upper vertebra projects anterior to the superior articular facet of the inferior vertebra.

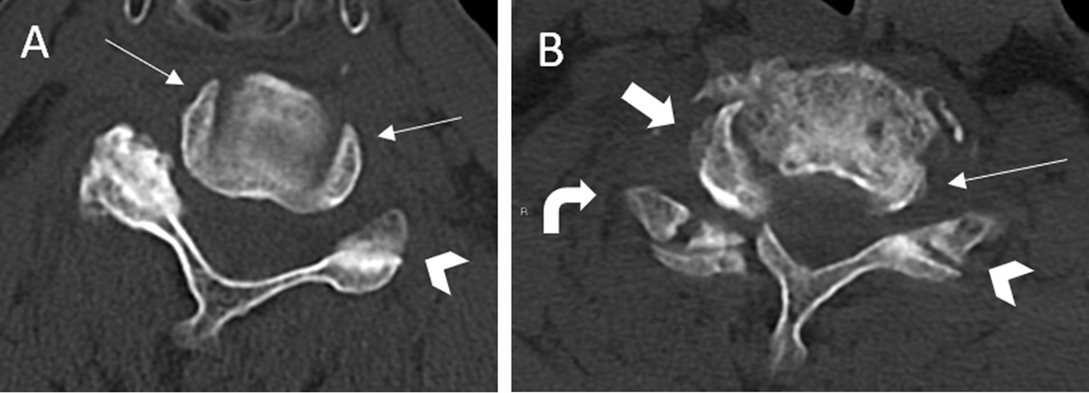
Figure 4
Headphones sign.
Axial CT image of a cervical vertebra (A) shows normal concentric appearance of bilateral uncovertebral joints (arrows). This resembles the appearance of headphones on the wearer’s head.
Axial CT image of the cervical vertebra (B) of an 80-year-old man following a fall accident shows a dislocated right uncovertebral joint (thick arrow). The vertebral body is no longer framed by the uncinate process of the lower vertebra; instead, it has moved anteriorly and is rotated towards the normal left side. This appearance gives rise to a unilateral positive “headphones sign” (thick arrow), which is commonly associated with unilateral cervical facet joint dislocation (UCFJD). In addition, the normal left facet joint resembles the appearance of hamburger buns (B, arrow head) while the dislocated right facet joint resembles a reverse hamburger bun (B, curved arrow), giving rise to the reverse “hamburger bun sign”. Hence, the positive “headphones sign” and reverse “hamburger bun sign” are both reliable indicators of cervical facet joint dislocation on axial CT imaging.
