Case
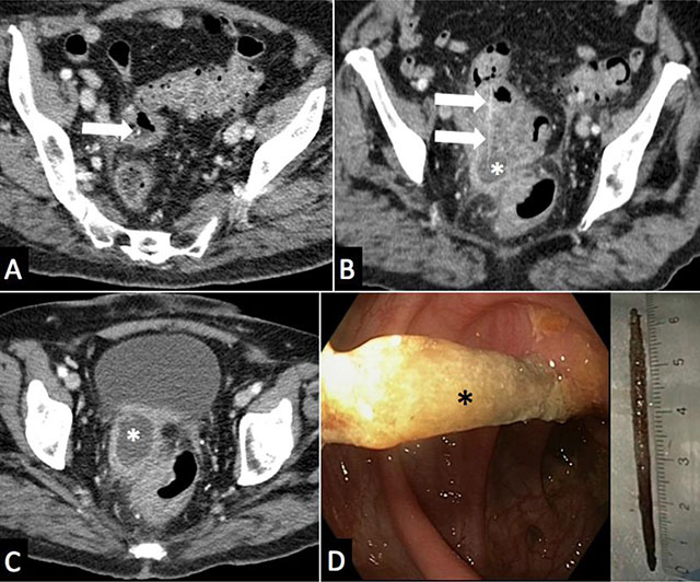
A 79-year-old woman presented to the emergency room with a month history of intermittent hypogastric abdominal pain and fever. Past medical history included diabetes and diverticular colic disease. CT scan with intravenous contrast medium (Figure 1A, B, C) demonstrated a colic diverticulosis with sigmoid wall thickening, extra-digestive abscess of 4.5 cm in diameter (white asterisk), adjacent fat stranding and a 60 mm long, 2 mm thick high density linear structure (arrow) coursing through the colic wall and the abscess. Covered colic perforation and an extra-digestive abscess related to a wooden toothpick were suspected. After antibiotherapy, recto-sigmoidoscopy (Figure 1D) was able to confirm and retrieve the wooden toothpick (black asterisk) embedded through the colic wall. Clinical follow-up was favorable.

Figure 1
Comment
Perforation can occur in any part of the gastro-intestinal tract as the toothpick can migrate in various anatomic structures. Adequate therapy depends on the localization of the toothpick and the complications. Endoscopic removal is used as the first-line approach. Surgery is reserved for failed endoscopic retrieval and complicated cases such as fecal peritonitis, fistulas, migration to extra-digestive structures and bleeding [1]. This case highlights the fact that tiny or lowly attenuating foreign bodies should be considered in presence of bowel inflammation on imaging, as this may have paramount implication for management.
Competing Interests
The authors have no competing interests to declare.
