Table 1
Demographic data of patients, CSF leak sites, epidural blood patch application status and suspected CSF leak etiology.
| Patient no | Age (yr) | Gender | CSF leak localization | Epidural blood patch | Suspected CSF leak etiology |
|---|---|---|---|---|---|
| 1 | 47 | F | T6–T8 | – | Spinal diverticula T6 through T8 |
| 2 | 27 | F | C6–T9 | + | Unclear, suspected spinal diverticula C6- trough T9. CSF-pleural fistula |
| 3 | 42 | F | C2 | – | Unclear, suspected posterior dural tear |
| 4 | 36 | F | C2 | + | Unclear, suspected posterior dural tear |
| 5 | 38 | F | L5–S1 | – | Unclear, CSF leak from right neural foramina. |
| 6 | 48 | F | T1–T4 | + | Unclear, CSF leak from right neural foramina. |
| 7 | 34 | F | T1–T5 | + | Unclear, suspected posterior dural tear |
| 8 | 52 | F | C2 | – | Unclear, suspected posterior dural tear |
| 9 | 36 | F | Cervicomedullary junction | – | Unclear, suspected posterior dural tear |
| 10 | 55 | F | C2 | + | Unclear, suspected posterior dural tear |
| 11 | 62 | F | T10–T12 | + | Spinal diverticula T10 through T12 |
| 12 | 26 | F | No leak determined | ||
| 13 | 23 | F | L2–L5 | + | Foraminal CSF leak |
| 14 | 42 | F | T1–T2 | + | Foraminal CSF leak |
| 15 | 43 | F | L5–S1 | + | Foraminal CSF leak |
| 16 | 34 | M | C5–T1 and L5–S1 | + | Foraminal and transspinöz leak |
| 17 | 39 | F | L1–L2 | + | Foraminal CSF leak |
| 18 | 60 | M | L4–L5 | + | Foraminal CSF leak |
| 19 | 54 | F | C2 | + | Unclear, suspected posterior dural tear |
| 20 | 25 | F | No leak determined |

Figure 1
Intrathecal Gd-MRM images in a 52-year-old female patient demonstrated CSF leak at C2 level, T1W-SPIR coronal (A, B), and axial (C, D). CSF leak was decreased significantly on post-treatment T1W-SPIR axial images (E, F).

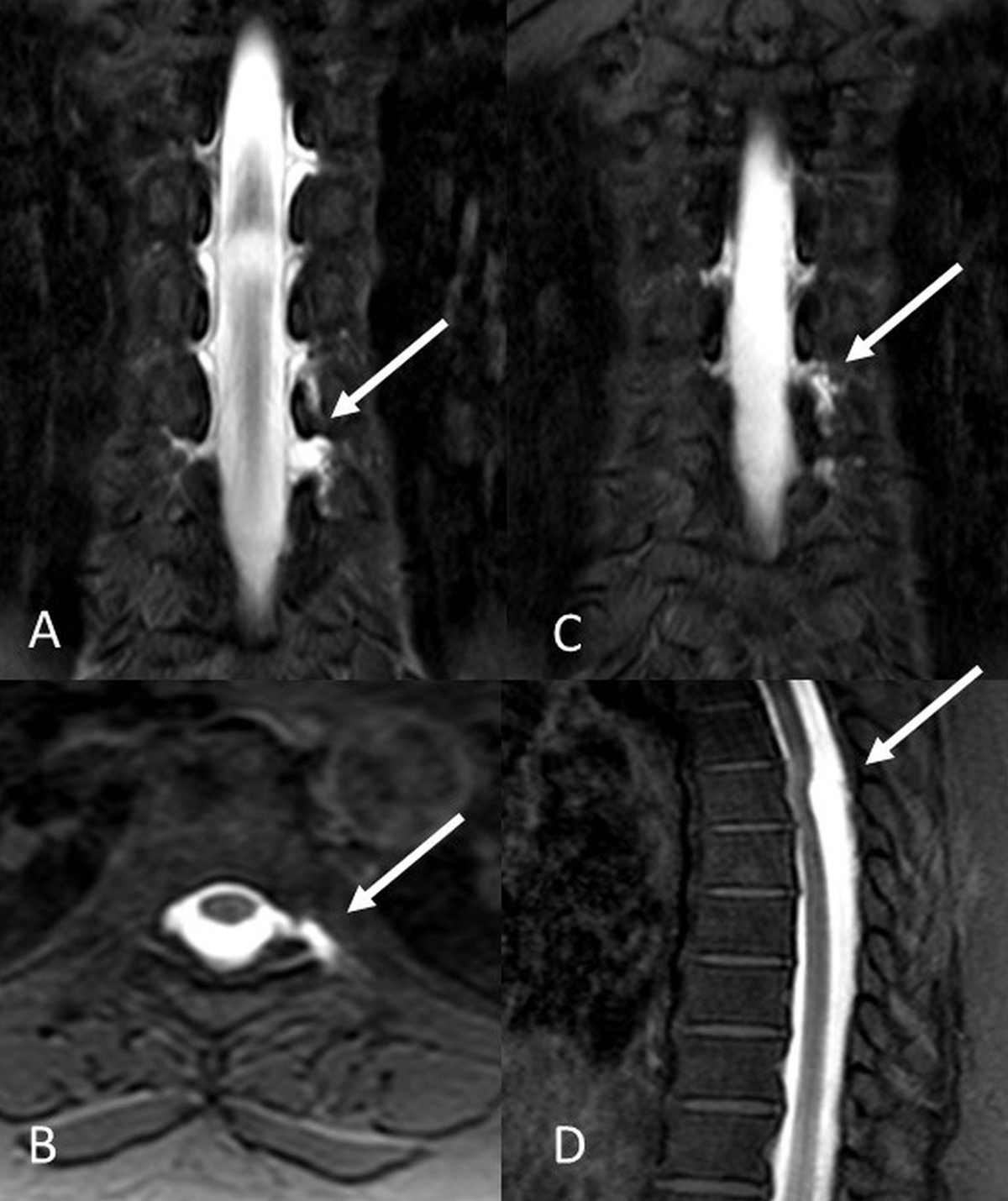
Figure 2
Intrathecal Gd-MRM images in a 47-year-old female patient demonstrated CSF leak at T6–T8 levels. T1W-SPIR coronal (A, B), and axial (C) images revealed diverticular pouching and CSF leakage. A cystic lesion posterior to spinal cord was revealed in T1W-SPIR sagittal images (D).
