
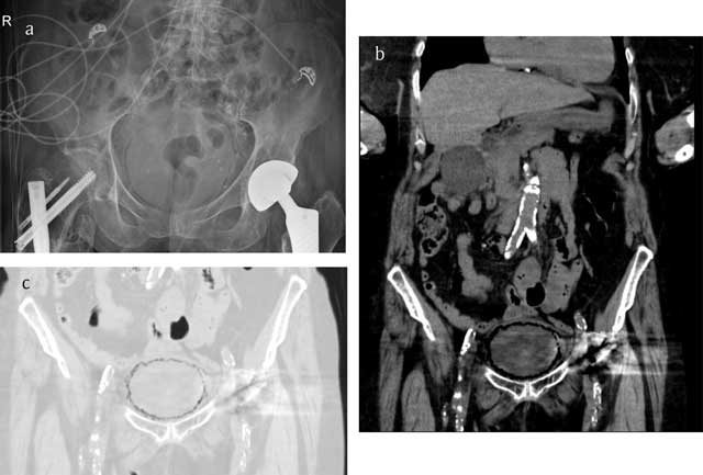
Figure 1
Conventional radiograph (a) in a case of emphysematous cystitis shows sharply demarcated, curvilinear areas of increased lucency in the pelvis. Computed tomography (b, c) images more clearly reflect the cobblestone aspect of intramural gas delineating the bladder wall, often likened to a “beaded necklace” appearance.
