
Figure 1
Tubular induration of the upper lateral quadrant of the right breast.

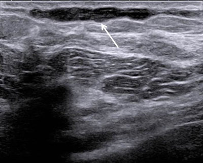
Figure 2
2D ultrasound: hypoechogenic subcutaneous and uncompressible linear structure.

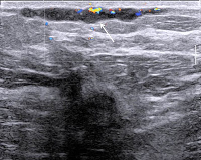
Figure 3
2D ultrasound with color Doppler: no vascularization inside the linear structure.
