
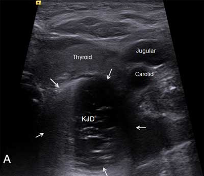
Figure A
Ultrasonographic axial section showing KJD behind the thyroid left lobe.

Figure B
Radiological right anterolateral view after barium administration.

Figure C
Anatomical drawing.

© 2015 Marie Navez, Pierre Bosschaert, Jean-Christophe Degols, published by Ubiquity Press
This work is licensed under the Creative Commons Attribution 4.0 License.