
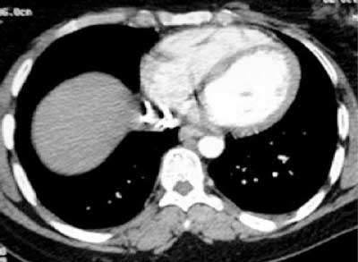
Figure 1
CT showing stent location in vena cava.

Figure 2
Computed tomography, 3D reconstruction, showing the catheter in the abdominal area.
© 2015 M Hajji, M S Bennani, S Bekkali, L Jroundi, published by Ubiquity Press
This work is licensed under the Creative Commons Attribution 4.0 License.