
Figure 1
Topogram preliminary to the CT scan. Linear gas shadows in the upper left abdominal region (arrow), apparently round the stomach.

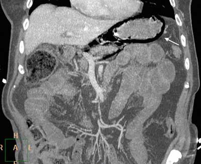
Figure 2
Contrast-enhanced CT, MPR reformats. Large amounts of intramural gas in the stomach (arrow) with no evidence of free peritoneal air.

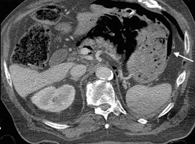
Figure 3
Contrast-enhanced CT, axial slice. Evidence of gastric intramural gas (arrow) and air bubbles within the retroperitoneal space.
