
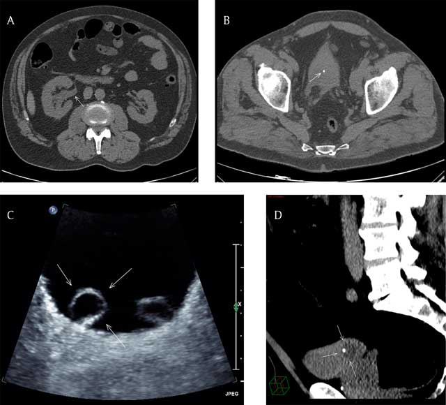
Figure 1
(A) Axial CT scan image (non-contrast) at the level of the abdomen showing right uretero-pyelo-calyceal dilatation (arrow). (B) Axial CT scan image (non-contrast) at the level of the pelvis showing a 3.6 mm hyperdense stone in an almost empty bladder (arrow). (C) Axial US image of the bladder showing bilateral ureterocele, more prominent at right (arrows). (D) Reformatted sagittal CT scan (non-contrast) image with narrow window width of the pelvis showing the urine filled right ureterocele with the stone located inside (arrows).
