
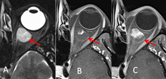
Figure 1
Cavernous hemangioma. Axial T2-weighted (A) and fat-saturated T1-weighted imaging with injection: immediate (B) and delayed (C).

Figure 2
Lachrymal gland lymphoma T2-weighted (A), Post-contrast fat saturated T1-weighted (B), ADC (C), CDFI (D).
