
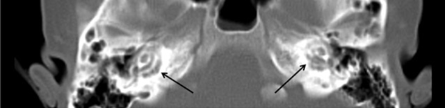
Figure 1
Axial CT-scan shows bilateral lucencies in the pericochlear bony otic capsule.

Figure 2
Coronal reconstructions of contrast-enhanced 3D FFE-imaging demonstrates symmetric areas of contrast enhancement in the pericochlear regions (b) Hyperintense signal anomalies are seen around the basal turn of the cochlea in the right (a) and left temporal bones (c) on 3D balanced steady-state gradient echo-imaging.
