
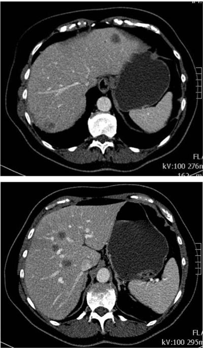
Figure 1
Contrast-enhanced CT abdomen in the portal venous phase: multiple focal low-attenuation nodular lesions in the liver.

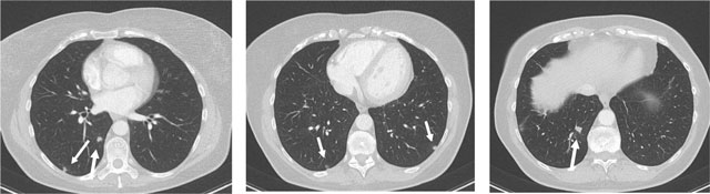
Figure 2
CT thorax: multiple small nodular lung lesions (arrows).
© 2017 Vinciane Vercruysse, Lieven Van Hoe, published by Ubiquity Press
This work is licensed under the Creative Commons Attribution 4.0 License.