
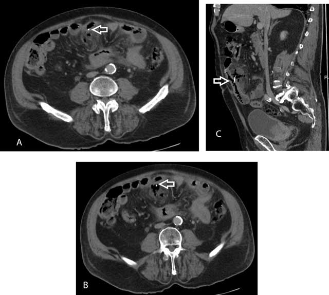
Figure 1
Axial (A and B) and sagittal (C) reformations shows linear high-density structure (arrow) within the inflammatory mass and in continuity with the adjacent small bowel lumen.

© 2016 Pieter Hoste, Koenraad Julien Mortele, Marc Lemmerling, Dirk Dewilde, Adelard I De Backer, published by Ubiquity Press
This work is licensed under the Creative Commons Attribution 4.0 License.