
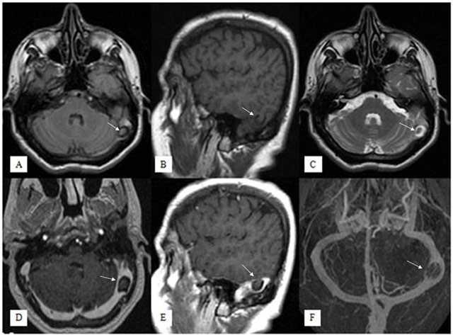
Figure 1
Fluid Attenuated Inversion Recovery axial (A), T1-weighted sagittal (B), T2-weighted axial (C), contrast-enhanced T1-weighted axial (D) and sagittal (E) images show a small herniation of temporal lobe parenchyma with surrounding CSF into left transverse sinus, that was isointense to brain parenchyma on all sequences (arrows). No pathological enhancement is seen but the brain herniation sac is causing moderate stenosis in the left transverse sinus. On venography imaging (F), there was left transverse sinus stenosis but no venous thrombosis.
