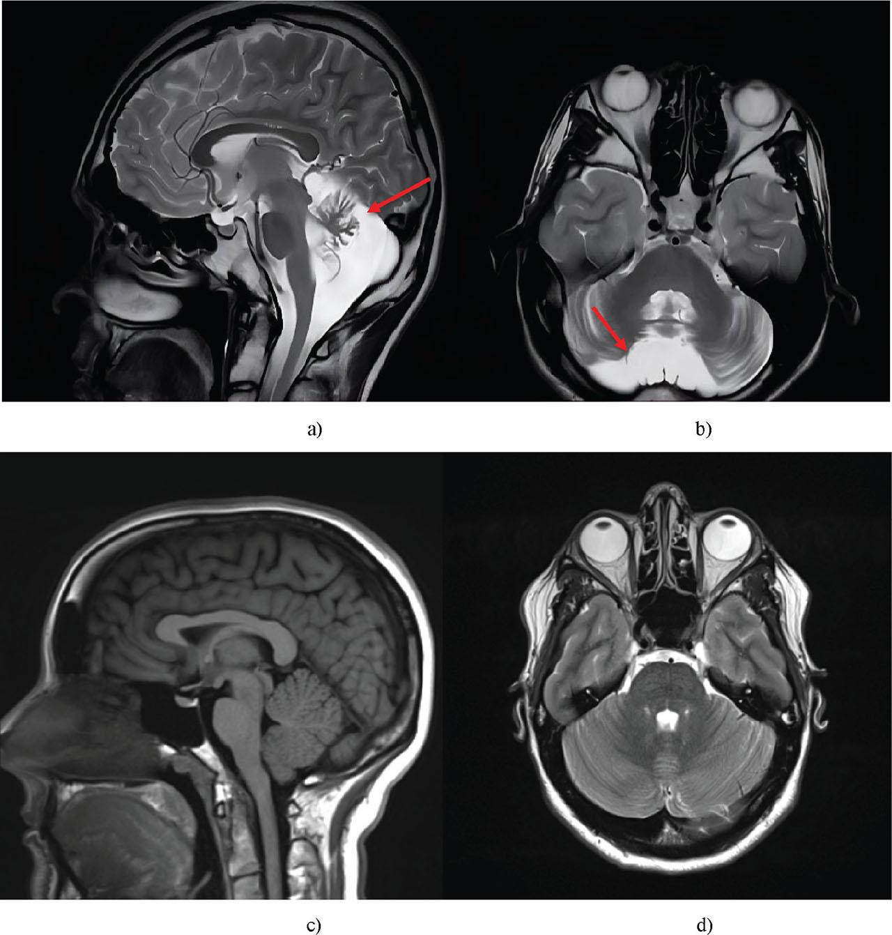
Figure 1.

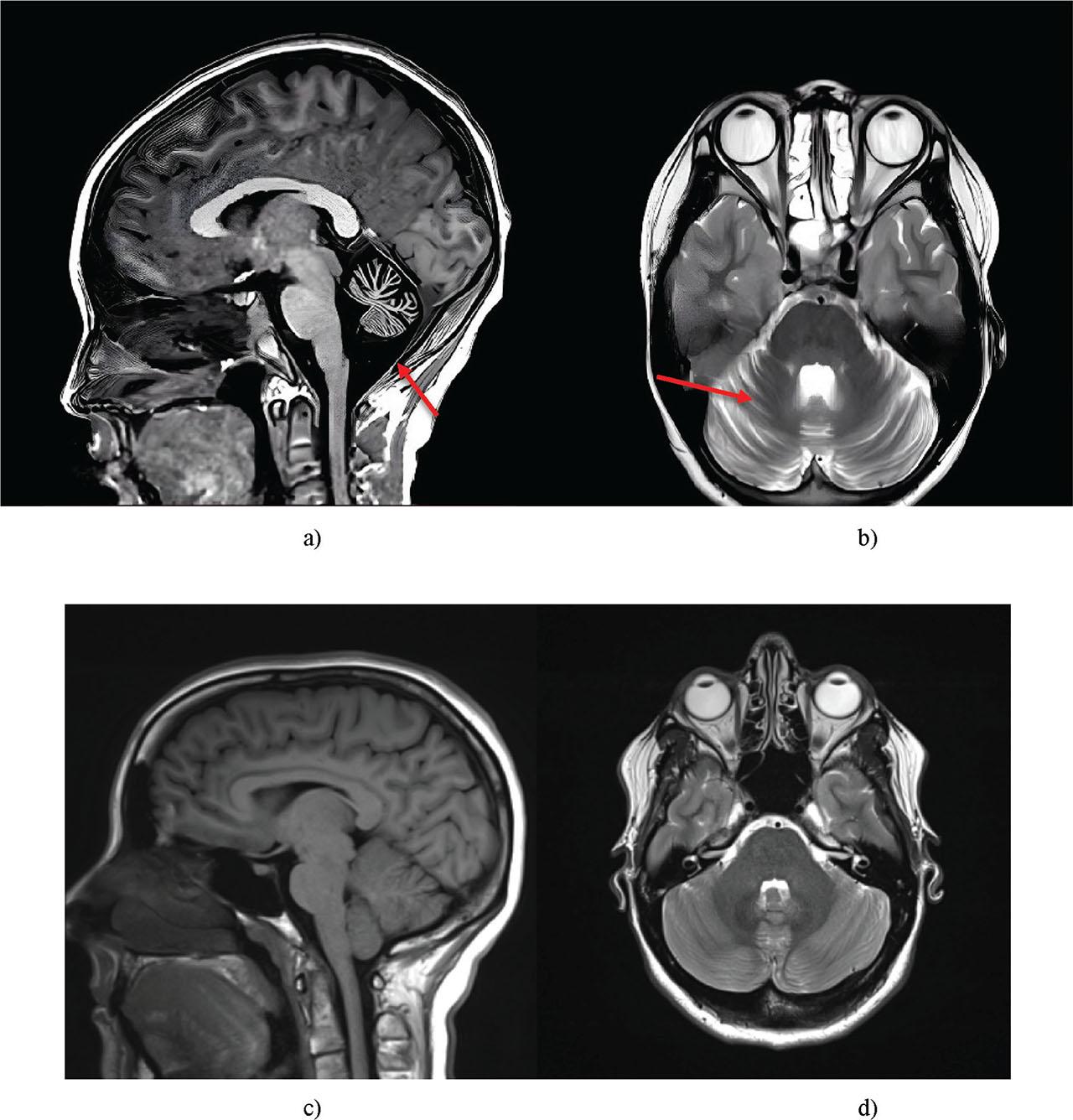
Figure 2.

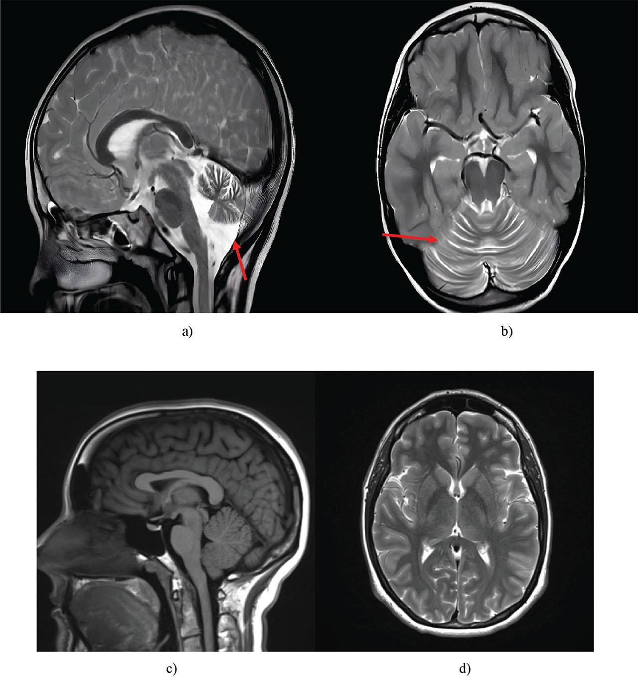
Figure 3.

Figure 4.

Figure 5.

Figure 6.

Figure 7.

Diagnostic methods for ataxia-telangiectasia (Louis-Bar Syndrome)_
| Method | Purpose |
|---|---|
| Clinical examination | Detection of ataxia, nystagmus, telangiectasia, dysarthria |
| Electrophysiology | ENMG (electroneuromyography) – diagnosis of peripheral neuropathy; evoked potentials – assessment of sensory impairments |
| Brain MRI | Identification of cerebellar atrophy, enlargement of the cisterna magna |
| Laboratory tests | IgA, IgG, AFP (nephelometry), PCR for infections, γH2AX assay – evaluation of DNA instability |
| Pulmonary function tests | Spirometry, pulse oximetry, blood gas analysis – diagnosis of broncho-obstructive syndrome |
| Genetic testing | NGS, MLPA – confirmation of ATM, gene mutations, pedigree analysis |
Treatment approaches for ataxia-telangiectasia (Louis-Bar Syndrome)_
| Therapeutic approach | Treatment methods | Expected outcome |
|---|---|---|
| Supportive therapy | L-carnitine, coenzyme Q10, B vitamins, alpha-lipoic acid, vitamin E | Improvement of neuronal energy metabolism, reduction of oxidative stress |
| Immunomodulation | Intravenous immunoglobulin (IVIG) therapy | Reduced frequency of infectious complications, maintenance of immune function |
| Antibacterial therapy | Mucolytics, macrolides, inhaled antibiotics, prolonged antibiotic courses for chronic infection | Improved bronchial patency, prevention of chronic respiratory infections |
| Respiratory therapy | Bronchial drainage, vibratory massage, breathing exercises, mechanical insufflation-exsufflation devices, positive expiratory pressure (PEP) therapy | Enhanced pulmonary function, prevention of bronchiectasis and respiratory failure |
| Physiotherapy and rehabilitation | Targeted exercises, coordination training, stabilisation techniques | Slowed progression of ataxia, maintenance of motor function |
| Genetic counselling | Prenatal diagnosis (PCR analysis of amniocytes), preimplantation genetic testing for monogenic disorders (PGT-M) | Reduced risk of offspring with ataxia-telangiectasia |