Have a personal or library account? Click to login
Congenital Hepatic Arteriovenous Malformation Presenting as Isolated Massive Hepatomegaly in an Otherwise Healthy Neonate: A Case Report Cover

Congenital Hepatic Arteriovenous Malformation Presenting as Isolated Massive Hepatomegaly in an Otherwise Healthy Neonate: A Case Report

Open Access
|Jul 2020

Figures & Tables

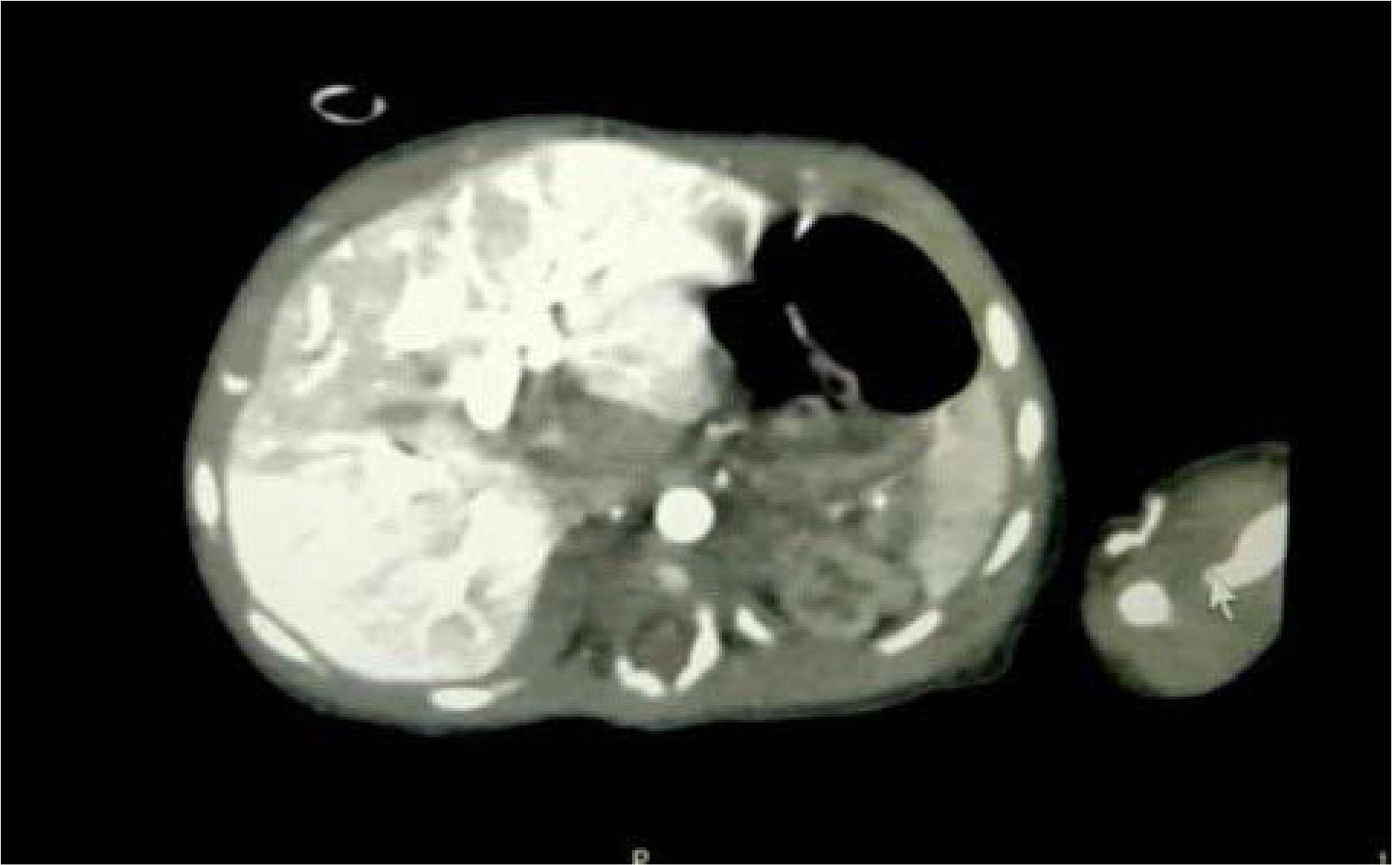
Figure 1

Contrast-enhanced CT scan showing early peripheral enhancement with central progression and central necrotic areas.
Contrast-enhanced CT scan showing early peripheral enhancement with central progression and central necrotic areas.

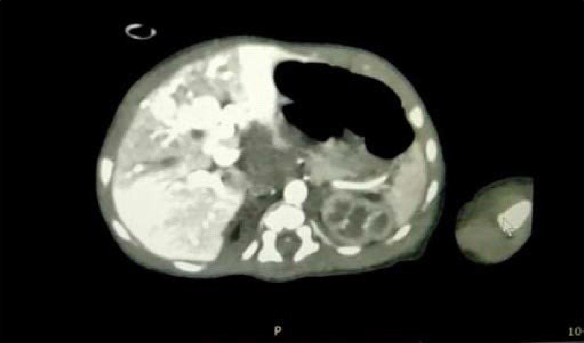
Figure 2

Contrast-enhanced CT scan showing mild enhancement or attenuation similar to that of adjacent parenchyma on delayed images and dilated celiac trunk.
Contrast-enhanced CT scan showing mild enhancement or attenuation similar to that of adjacent parenchyma on delayed images and dilated celiac trunk.

Figure 3

Intra-operative image showing the communication between the left hepatic artery and portal vein.
Intra-operative image showing the communication between the left hepatic artery and portal vein.
DOI: https://doi.org/10.34763/jmotherandchild.2020241.2002.000008 | Journal eISSN: 2719-535X | Journal ISSN: 2719-6488
Language: English
Page range: 67 - 70
Published on: Jul 29, 2020
In partnership with: Paradigm Publishing Services
Publication frequency: 1 issue per year

© 2020 Charu Tiwari, Nilesh Nagdeve, Rajendra Saoji, Ghanshyam Hatwar, Sanskriti Sinha, Sharvil Thatte, published by Institute of Mother and Child
This work is licensed under the Creative Commons Attribution 4.0 License.