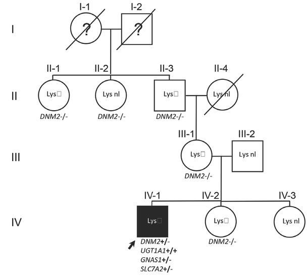
Figure 1

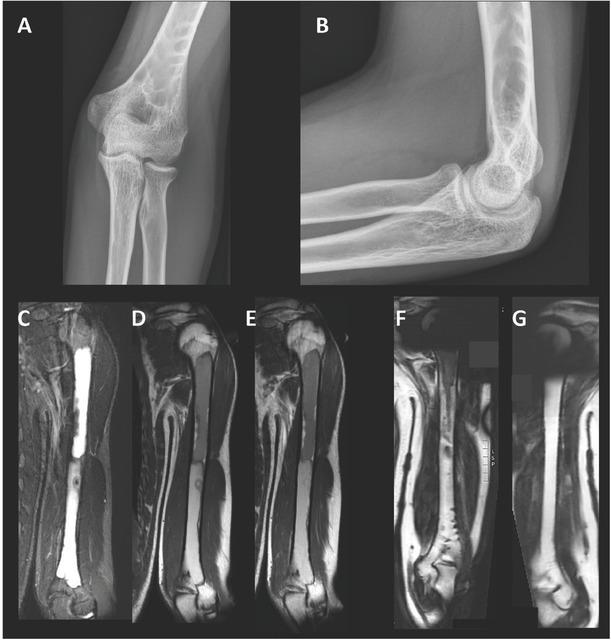
Figure 2



© 2021 Kristl G. Claeys, Luc Breysem, Eric Legius, Hilde Brems, David Cassiman, Matthieu Moisse, Pieter Vermeersch, Elena Levtchenko, Jaak Jaeken, published by Institute of Mother and Child
This work is licensed under the Creative Commons Attribution 4.0 License.