Have a personal or library account? Click to login
Asymmetric neonatal spasms as an early sign of brain malformation potentially caused by regular light alcohol consumption during the first 22 weeks of pregnancy, a clinical case report Cover

Asymmetric neonatal spasms as an early sign of brain malformation potentially caused by regular light alcohol consumption during the first 22 weeks of pregnancy, a clinical case report

Open Access
|Apr 2019

Figures & Tables

Fig. 1

lctal EEG showing repetitive sharp and slow waves (sharp wave corresponds to myoclonic jerk), predominantly in P3 and P4 (with higher amplitude in P3).
Rye. 1. Ictal EEG pokazuje powtarzające się ostre i wolne fale (fala ostra odpowiada mioklonicznemu szarpnięciu), głównie w P3 i P4 (z wyższą amplitudą w P3).
lctal EEG showing repetitive sharp and slow waves (sharp wave corresponds to myoclonic jerk), predominantly in P3 and P4 (with higher amplitude in P3). Rye. 1. Ictal EEG pokazuje powtarzające się ostre i wolne fale (fala ostra odpowiada mioklonicznemu szarpnięciu), głównie w P3 i P4 (z wyższą amplitudą w P3).

Fig. 2

Ictal EEG showing repetitive sharp and slow waves (sharp wave corresponds to myoclonic jerk).
Rye. 2. lctal EEG pokazujący powtarzalne ostre i wolne fale (ostra fala odpowiada szarpnięciu mioklonicznym).
Ictal EEG showing repetitive sharp and slow waves (sharp wave corresponds to myoclonic jerk). Rye. 2. lctal EEG pokazujący powtarzalne ostre i wolne fale (ostra fala odpowiada szarpnięciu mioklonicznym).

Fig. 3

Spasm (marked as seizures in the picture) accompanied with a slow wave and postictal suppression of the background activity.
Ryc. 3. Spazm (oznaczony jako drgawki na obrazie), któremu towarzyszy powolna fala i poudarowe/ponapadowe tłumienie aktywności tła.
Spasm (marked as seizures in the picture) accompanied with a slow wave and postictal suppression of the background activity. Ryc. 3. Spazm (oznaczony jako drgawki na obrazie), któremu towarzyszy powolna fala i poudarowe/ponapadowe tłumienie aktywności tła.

Fig. 4

Myoclonic seizures (marked with ), and spasm (marked with ↙ and sign "seizures").
Ryc. 4. Napady miokloniczne (oznaczone ) i skurcz (oznaczone ↙ napisem "seizures").
Myoclonic seizures (marked with ), and spasm (marked with ↙ and sign "seizures"). Ryc. 4. Napady miokloniczne (oznaczone ) i skurcz (oznaczone ↙ napisem "seizures").

Fig. 5

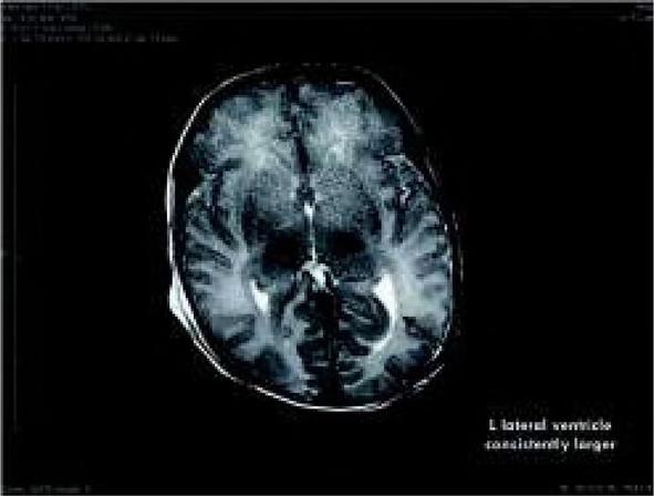
Brain MRI of the patient, arrow points to the affected left side.
Ryc. 5. MRI mózgu pacjenta, strzałka wskazuje na uszkodzoną lewą stronę.
Brain MRI of the patient, arrow points to the affected left side. Ryc. 5. MRI mózgu pacjenta, strzałka wskazuje na uszkodzoną lewą stronę.
DOI: https://doi.org/10.34763/devperiodmed.20192301.1520 | Journal eISSN: 2719-535X | Journal ISSN: 2719-6488
Language: English
Page range: 15 - 20
Submitted on: Jul 11, 2018
|
Accepted on: Dec 4, 2018
|
Published on: Apr 8, 2019
In partnership with: Paradigm Publishing Services
Publication frequency: 1 issue per year

© 2019 Olha Tychkivska, Cristina Go, Yuriy Korzhynskyy, Oksana Ostalska, published by Institute of Mother and Child
This work is licensed under the Creative Commons Attribution 4.0 License.