Have a personal or library account? Click to login
The practical significance of perinatal cardiology based on own experience Cover

The practical significance of perinatal cardiology based on own experience

Open Access
|Oct 2018

Figures & Tables

Fig. 1

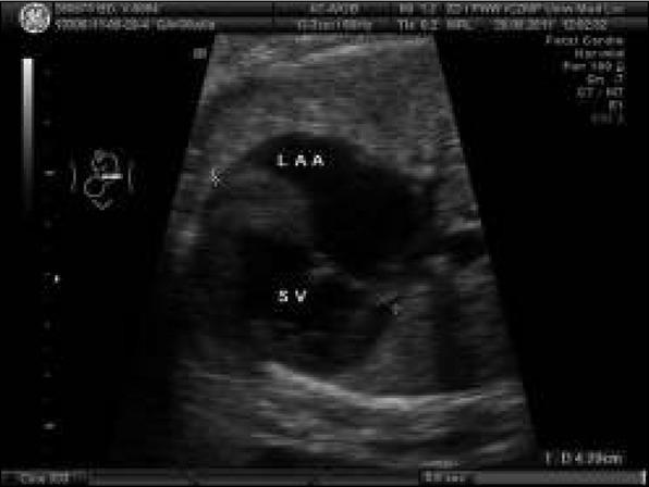
Abnormal fetal heart (fetus in cephalic presentation, longitudinal position I): common atrium with left atrial appendage (LAA) on the right side of the fetal heart, single atrioventricular valve opening to single ventricle with trabeculation suggesting right ventricle.Ryc. 1. Nieprawidłowy obraz serca płodu (płód w położeniu główkowym, postawa I): szeroki dominujący przedsionek z uszkiem sugerującym uszko lewego przedsionka LAA, które leży po prawej stronie serca pojedyncza komora o typie komory prawej (RV), jedna zastawka przedsionkowo-komorowa.
Abnormal fetal heart (fetus in cephalic presentation, longitudinal position I): common atrium with left atrial appendage (LAA) on the right side of the fetal heart, single atrioventricular valve opening to single ventricle with trabeculation suggesting right ventricle.Ryc. 1. Nieprawidłowy obraz serca płodu (płód w położeniu główkowym, postawa I): szeroki dominujący przedsionek z uszkiem sugerującym uszko lewego przedsionka LAA, które leży po prawej stronie serca pojedyncza komora o typie komory prawej (RV), jedna zastawka przedsionkowo-komorowa.

Fig. 1a

Contemporary photo of our patient, courtesy of her parents and the family.Ryc. 1a. Współczesne foto dziewczynki z rodziną (dzięki uprzejmości rodziców).
Contemporary photo of our patient, courtesy of her parents and the family.Ryc. 1a. Współczesne foto dziewczynki z rodziną (dzięki uprzejmości rodziców).

Fig. 2

Abnormal 4 chamber view of the fetal heart. Disproportion at the level of the atria and ventricles.Ryc. 2. Nieprawidłowy obraz 4 jam serca. Dysproporcja na poziomie przedsionków i komór.
Abnormal 4 chamber view of the fetal heart. Disproportion at the level of the atria and ventricles.Ryc. 2. Nieprawidłowy obraz 4 jam serca. Dysproporcja na poziomie przedsionków i komór.

Fig. 3

Fetal heart outside the fetal chest.Ryc. 3. Obraz serca płodu poza klatką piersiową.
Fetal heart outside the fetal chest.Ryc. 3. Obraz serca płodu poza klatką piersiową.

Fig. 4

Abnormal view of the fetal heart at 29th week of gestation with pericardial effusion of 5 mm – one of the signs of congestive heart failure and fibroelastosis of enlarged left ventricle.Ryc. 4. W 29 tyg. nieprawidłowy obraz serca płodu z cechami niewydolności krążenia – wysięk w osierdziu 5 mm oraz fibroelastoza powiększonej lewej komory serca.
Abnormal view of the fetal heart at 29th week of gestation with pericardial effusion of 5 mm – one of the signs of congestive heart failure and fibroelastosis of enlarged left ventricle.Ryc. 4. W 29 tyg. nieprawidłowy obraz serca płodu z cechami niewydolności krążenia – wysięk w osierdziu 5 mm oraz fibroelastoza powiększonej lewej komory serca.

Fig. 5

Abnormal fetal heart rhythm with supraventricular tachycardia.Ryc. 5. Nieprawidłowy rytm serca z wstawką częstoskurczu.
Abnormal fetal heart rhythm with supraventricular tachycardia.Ryc. 5. Nieprawidłowy rytm serca z wstawką częstoskurczu.

Fig. 6

Isolated complete heart block in Doppler evaluation in a fetus with normal heart anatomy.Ryc. 6. Izolowany blok serca płodu (przy prawidłowej budowie serca) w badaniu za pomocą Dopplera.
Isolated complete heart block in Doppler evaluation in a fetus with normal heart anatomy.Ryc. 6. Izolowany blok serca płodu (przy prawidłowej budowie serca) w badaniu za pomocą Dopplera.

Fig. 7

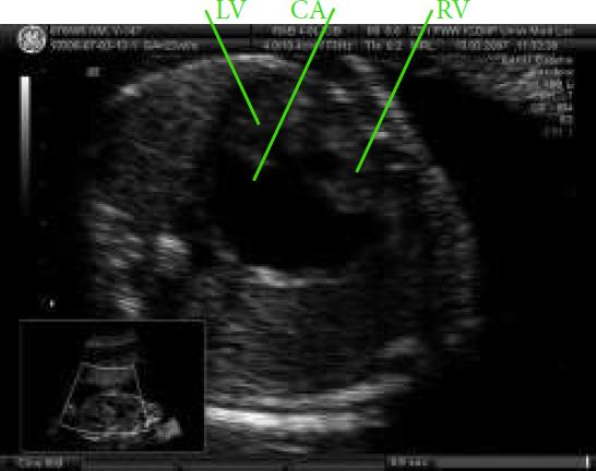
Fetal heart defect and complete heart block in a case of prenatal left isomerism, CA – common atrium, RV – right ventricle, LV – left ventricle.Ryc. 7. Obraz wady serca powikłanej blokiem całkowitym w przebiegu izomeryzmu lewostronego: CA wspólny przedsionek, RV – prawa komora, LV – lewa komora, PA.
Fetal heart defect and complete heart block in a case of prenatal left isomerism, CA – common atrium, RV – right ventricle, LV – left ventricle.Ryc. 7. Obraz wady serca powikłanej blokiem całkowitym w przebiegu izomeryzmu lewostronego: CA wspólny przedsionek, RV – prawa komora, LV – lewa komora, PA.

Fig. 8

Abnormal fetal profile: short nasal bone, rentriculo-megaly in addition to heart defect suggested poor autcomeRyc. 8. Nieprawidłowy profil twarzy płodu, krótka kość nosowa, poszerzenie komór bocznych u płodu z wadą serca sugerują poważne rokowanie dla noworodla.
Abnormal fetal profile: short nasal bone, rentriculo-megaly in addition to heart defect suggested poor autcomeRyc. 8. Nieprawidłowy profil twarzy płodu, krótka kość nosowa, poszerzenie komór bocznych u płodu z wadą serca sugerują poważne rokowanie dla noworodla.

Fig. 9

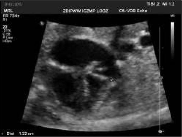
Chamber view of the fetal heart with the foreig body in right atrium (hyperechogenic ring „white”).Ryc. 9. Obraz 4 jam serca płodu z ciałem obcym w świetle prawego przedsionka „biały”.
Chamber view of the fetal heart with the foreig body in right atrium (hyperechogenic ring „white”).Ryc. 9. Obraz 4 jam serca płodu z ciałem obcym w świetle prawego przedsionka „biały”.

Fig. 10

Diaphragmatic hernia and normal heart anatomy.Ryc. 10. Przepuklina przeponowa płodu i prawidłowa budowa serca.
Diaphragmatic hernia and normal heart anatomy.Ryc. 10. Przepuklina przeponowa płodu i prawidłowa budowa serca.
DOI: https://doi.org/10.34763/devperiodmed.20182203.229237 | Journal eISSN: 2719-535X | Journal ISSN: 2719-6488
Language: English
Page range: 229 - 237
Submitted on: Feb 13, 2018
|
Accepted on: Jun 29, 2018
|
Published on: Oct 4, 2018
In partnership with: Paradigm Publishing Services
Publication frequency: 1 issue per year

© 2018 Maria Respondek-Liberska, published by Institute of Mother and Child
This work is licensed under the Creative Commons Attribution 4.0 License.