Neonatal pneumopericardium (PPC) is a pathological collection of air in the pericardial sac. It is less common form of air leak syndrome, but unfortunately with high mortality rate. The majority of pneumopericardium now occurs secondary to the more common air leaks, e.g. pneumothorax, pneumomediastinum, pulmonary interstitial emphysema and is usually presented as a complication of mechanical ventilation, mainly in preterm newborns. Neonatal air leak syndrome is usually accompanied by surfactant deficiency lung disease, mechanical ventilation, active resuscitation or other chest trauma. Isolated PPC in nonventilated newborns is a very rare occurrence. Due to some changes in the medical practice that have happened in the last few decades, such as the increasing use of antenatal steroids, exogenous surfactant therapy, as well as gentler ventilation techniques, the incidence of all air leak syndromes has decreased significantly. Some patients are clinically asymptomatic but there are those with various symptoms such as, chest pain, palpitations, hypotension, respiratory distress or different electrocardiographic findings. Early diagnosis is very important because there is risk of cardiorespiratory instability and a potentially life-threatening condition – tension pneumopericardium. We report a rare case of iatrogenic PPC after installment of a chest drain in a nonventilated male full-term newborn with bilateral apical pneumothorax. (1,2,3,4,5,6,7)
A term male infant, weighing 2700 grams at birth, was born at 39 weeks to a healthy mother (blood type O, Rh positive) delivered spontaneously by vaginal route. Pregnancy was well monitored and unremarkable. The infant cried immediately after birth and did not require any interventions. He had a birth weight of 2700 grams, a length of 52 cm and a head circumference of 34 cm. Apgar scores were 9 and 9 at 1th and 5th minutes, and infant was transferred to the postnatal unit with his mother for regular postnatal care. During the third hour of age, his skin started to become diffusely livid with evidence of respiratory distress, tachypnea (respiratory rate = 63/min) and heart rate 136/min. He was transferred to the neonatal intensive care unit (NICU) for investigation and further management. On admission, his vital signs showed a temperature of 36.6 °C, heart rate of 101 per minute and respiratory rate of 68 per minute. His blood pressure was 77/50 mmHg and his weight reduced to 2680 grams. Capillary blood gas analyzed on a Gem Premier 3000 gas analyzer showed pH 7.05; PaCO2 13.1 kPa; PaO2 2,4 kPa; bicarbonate 27.1 mmol/l; base excess of −3,4 and SaO2 84%. Nasogastric tube was placed. The chest examination showed chest retraction as compared with abdominal retraction during inhalation – 2 points; retraction of the lower intercostal muscles – 1 point; xiphoid retraction – 0 points; flaring of the nares with inhalation – 1 point; grunting on exhalation – 1 point, suggesting Silverman score = 5 points which indicates moderate respiratory distress. In view of his respiratory distress, the infant remained in the incubator and hood with 40% fraction of inspired oxygen (FiO2) was applied and 20 mg of Theophylline (Aminophylline®) given 5mg/12hours. A chest radiograph revealed bilateral apical pneumothorax in Figure 1. A chest drain was placed between anterior and midaxillary line in the 5th right intercostal space. The procedure was done in aseptic conditions after the area was cleaned with 0.015% chlorhexidine and spontaneously dried for half a minute. A dose of 0.3ml/kg of 1% lignocaine was subcutaneously applied. An incision was made using a sterile scalpel above the inferior rib. An incision place was carefully pinpointed to avoid a well-known location of important neurovascular structures right below the superior rib. The chest drain was fixated using two sterile surgical stripes. The secondary capillary blood gas analysis showed pH 7.10; PaCO2 10.4 kPa; PaO2 3,4 kPa; bicarbonate 24.2 mmol/l; base excess of −5,5 and SaO2 was 89%. The following day radiological signs of bilateral partial pneumothorax showed mild signs of resolution. Blood gas analysis on showed pH 7.35; PaCO2 5.5 kPa; PaO2 3,8 kPa; bicarbonate 22.6 mmol/l; base excess of −3 and SaO2 was 94%. The next morning the infant had tachypnea and dyspnea with SaO2 89%. Cardiovascular examination showed muffled heart sounds with no audible murmur and heart rate 123 per minute. Chest X-ray showed complete resolution of pneumothorax however classical ‘Halo’ sign appeared, (a collection of air surrounding the heart in the pericardial sac) indicating existence of pneumopericardium, which can be seen in Figure 2. The infant became acidotic and SaO2 dropped to 83%. Due to inadequate fixation of the chest drain, it spontaneously moved and may have damaged the pericardial sac. Along with the already existing pneumothorax, probably a combination of ventilation mechanism and trauma resulted in air leak into the pericardial sac. The chest drain was therefore repositioned (extracted by 3 centimeters) and due to possible progression to life threatening cardiac tamponade the infant had to be closely observed with cardiorespiratory monitoring and series of chest radiographs. Over the course of next 24 hours the clinical and radiographical signs of pneumopericardium resolved. Respiratory rate was 42 per minute and heart rate was 115 per minute. SaO2 was 96%. Thoracal drain was then removed and latter subsequent chest radiographs showed no recurrence of either pneumothorax or pneumopericardium (Figure 3). The infant remained in incubator under diffuse oxygen therapy with FiO2 40% and in the following 48 hours his oxygen requirement was weaned gradually to room air and was discontinued the next day. He was discharged on 8th day of his life. His regular follow-ups showed he was thriving well.

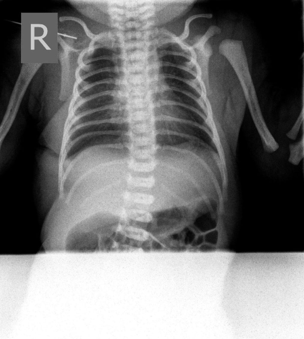
A chest radiograph revealed bilateral partial pneumothorax

“Halo” sign of pneumopericardium on chest radiograph

A chest radiograph after resolution of pneumopericardium and pneumothorax
In the year 1844, Bricheteau was the first to describe pneumopericardium, an abnormal presence of air in the pericardial cavity. PPCs occurrence can be divided into spontaneous or more often associated with positive pressure ventilation. In neonates, it can also be isolated or combined with other air leak syndromes, e.x. pneumothorax, pneumomediastinum, pulmonary interstitial emphysema. (3) Clinically, PPC can either be presented as non-tension or tension pneumopericardium, which is far more dangerous because it possibly leads to cardiac tamponade and deadly circulatory failure. (1) Spontaneous pneumothorax and PPC are rarely presented together in a term infant without mechanical ventilation, as in our case. (3) The exact pathophysiology of neonatal pneumopericardium is still unclear, however one of the possible mechanism thought to be responsible for pneumopericardium is the ‘’Macklin effect’’. Alveolar rupture is the result of increased pressure gradient between the intraalveolar and the interstitial space. It is followed by air leakage into the pulmonary interstitium. Due to its connection with the peribronchial and pulmonary perivascular sheaths, air flows to the hilum of the lung and then to the mediastinum. From there on, air tracks near the area of pulmonary veins, at the place lacking collagenous tissue also described as ’’anatomical area of weakness’’. It flows into the pericardial sac resulting in pneumopericardium. (5) It is possible that if connection of pericardium is made with the bronchial tree air can also leek into its cavity. (4) The infant, in our case, cried immediately after birth and did not require any interventions. Pneumothorax that soon occurred is thought to be spontaneous, and etiology of PPC is considered multifactorial. Combined ventilation mechanism (‘’Macklin effect’’) with inadequate fixation of the chest drain that resulted in its deeper placement and possible tear of pericardium, most likely led to PPC. We believe this was the cause of PPC because after repositioning of the chest drain clinical and radiographical signs of the PPC disappeared in the following days. Clinical presentation of PPC can be asymptomatic or presented by various signs and symptoms, however none of them are specific. Patients could potentially have chest pain, dyspnea, tachypnea, palpitations, muffled heart sounds or different ECG findings. Some of them that are usually described are reduced ECG voltages, ST segment depression/elevation or T wave changes. (6) After initial clinical findings, a conformation of the diagnosis of pneumopericardium should be done using chest radiograph, which can be supported by computed tomography or echocardiography, however chest X-ray is considered a standard diagnostic method. The classical radiographical finding in PPC is a ’’Halo sign’’, recognized by air translucency outlining the heart and separating it from the lung fields by a strip of pericardium. (2,8) In our case chest radiographs showed iatrogenic PPC with spontaneous bilateral apical pneumothorax. Pneumomediastinum can be considered an important differential diagnosis. On posteroanterior chest radiograph a ’’Continuous diaphragm sign’’ can be seen in both pneumomediastinum and pneumopericardium as a translucency above the diaphragm. Although there are some radiographical similarities between there two pathologies, unlike PPC radiographic signs of pneumomediastinum show that air can stretch into the superior mediastinum, above the great vessels and around soft tissues of the neck. It also, unlike PPC, isn’t limited by the pericardial layers and gives a radiographical presence of radiotransparent retrosternal triangle. (8,9,10) Ultrasound can also be used to differentiate PPC and pneumomediastinum. The ultrasound view of subxiphoid window in pneumomediastinum is transparent with possible visualization of the heart. Ultrasonography of pneumopericardium shows presence of gas in subxiphoid window and inability to completely visualize the heart. Another sign that can be seen in PPC are diffuse A lines on various ultrasound cardiac views. If differential diagnosis is still uncertain, chest computed tomography (CT), as a gold standard, should be considered as the tool to confirm the right diagnosis. Chest CT scan of PPC usually shows parietal pericardium visible as a thin line and a heart surrounded by air-density. (11, 12) Studies show that prenatal corticosteroid application and postnatal surfactant therapy lower the risk of neonatal hyaline membrane disease and therefore air leak syndrome as well. Pneumopericardium in neonates is treated conservatively, unless a patient presents with lowering of arterial blood pressure, muffled heart sounds or rise of jugular venous pressure (Beck’s triad), which indicate life threatening cardiac tamponade. A little more than a third of simple pneumopericardium cases can progress to tension pneumopericardium, whose mortality rises up to 57%. Fortunately, the PPC in infant in our case did not progress to tension pneumopericardium. PPC therefore requires a close monitoring of oxygen saturation, heart rate, blood pressure and radiographical changes. (12,13,14) Should signs of cardiac tamponade (Beck’s triad) and cardiovascular collapse occur, patient should be immediately treated, usually by needle aspiration. Subxiphoid window is a recommended location and the procedure should be followed by antibiotics to prevent infection. Chest drain could also be used to evacuate excess air from the pericardial sac, but the most important measure to prevent PPC when applicating chest tube is careful placement and good fixation. In our case needle aspiration was not needed but since inadequate chest drain position took part in occurrence of PPC, it is very important to highlight this and for doctors to take into consideration in their future practice. (13, 15, 16) It is believed that a’’Nitrogen washout technique ’’, also known as oxygen therapy, could be a potentially beneficial treatment. Nevertheless, its use is limited because if it’s used in premature infants born earlier than 32 weeks of gestation, there is a likelihood of it being associated with hyperoxia induced retinopathy of prematurity. Clark et al state that high levels of oxygen can also in newborns induce production of free radicals. This is because antioxidative protection in a neonatal period is not fully developed and this can lead to oxidative stress in many organs. In conclusion, there are different opinions among authors regarding the use of this technique. (2, 17, 18) Our patient improved after repositioning of right-sided thoracal drain while remaining in an incubator under diffuse oxygen therapy with FiO2 40%. The pneumopericardium resolved spontaneously without invasive treatment. Subsequent follow-ups showed his well improvement and good later development.
Iatrogenic pneumopericardium should be considered as a possible complication during invasive treatment, such as placement of a chest drain. This means that early diagnosis and close monitoring are crucial because it can lead to possibly deadly tension pneumopericardium, in which cases doctors should always be prepared to take immediate action. (16) Our patient has improved well with conservative treatment indicating that conservative approach is a reasonable choice in some clinical cases. Careful thoracal drain placement and fixation is a crucial action to prevent iatrogenic pneumopericardium. We believe that this case of iatrogenic pneumopericardium can help doctors to a great extent in their future practice, to mainly avoid this unnecessary complication.