Graph 1.

Graph 2.

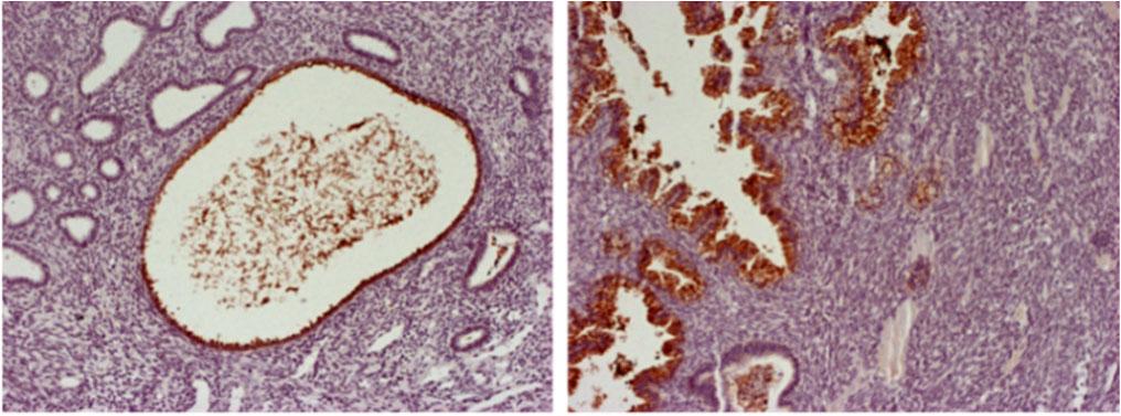
Image 1.

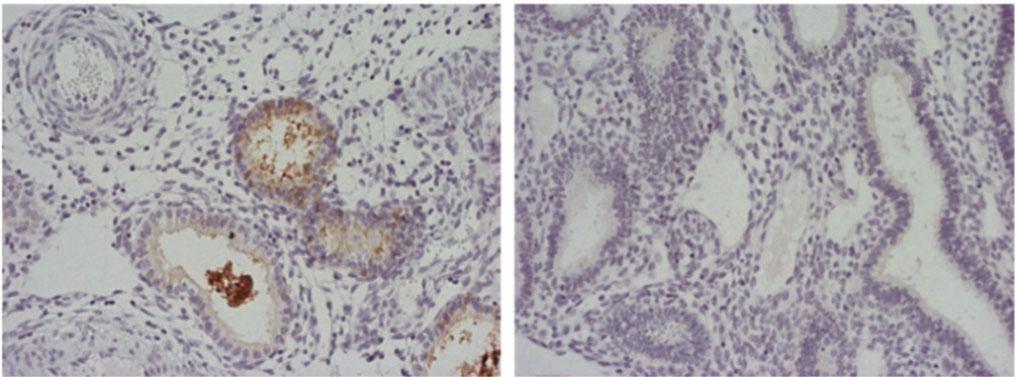
Image 2.

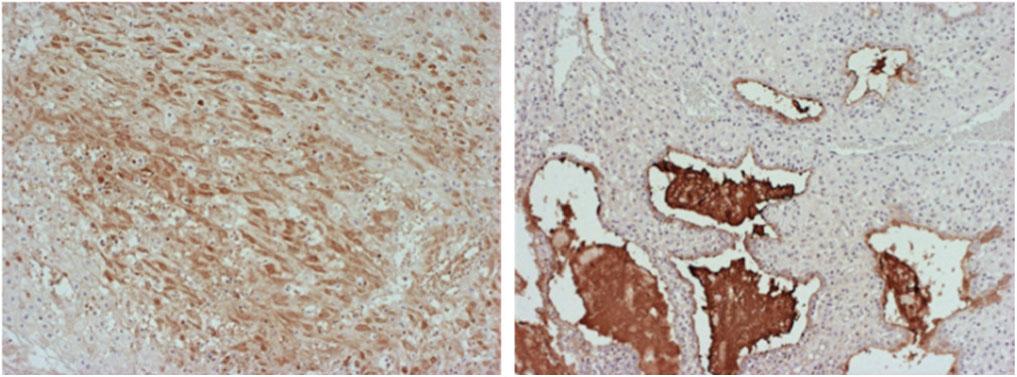
Image 3.

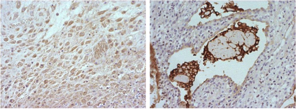
Image 4.

Image 5.








© 2024 Berislav Vekic, Rade Markovic, Aleksandar Cvetkovic, Bojan Stojanovic, Marko Spasic, Nenad Markovic, Mladen Pavlovic, Dusica Petrovic, Bojan Milosevic, Jasna Jevdjic, Maja Vulovic, Dalibor Jovanovic, Slobodanka Mitrovic, published by University of Kragujevac, Faculty of Medical Sciences
This work is licensed under the Creative Commons Attribution-NonCommercial-NoDerivatives 4.0 License.