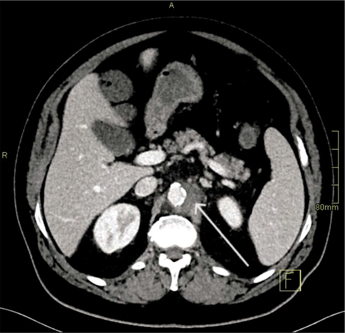
FIGURE 1.

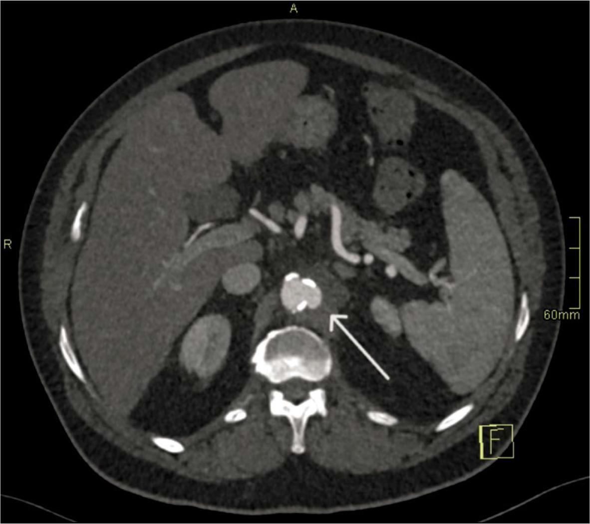
FIGURE 2.

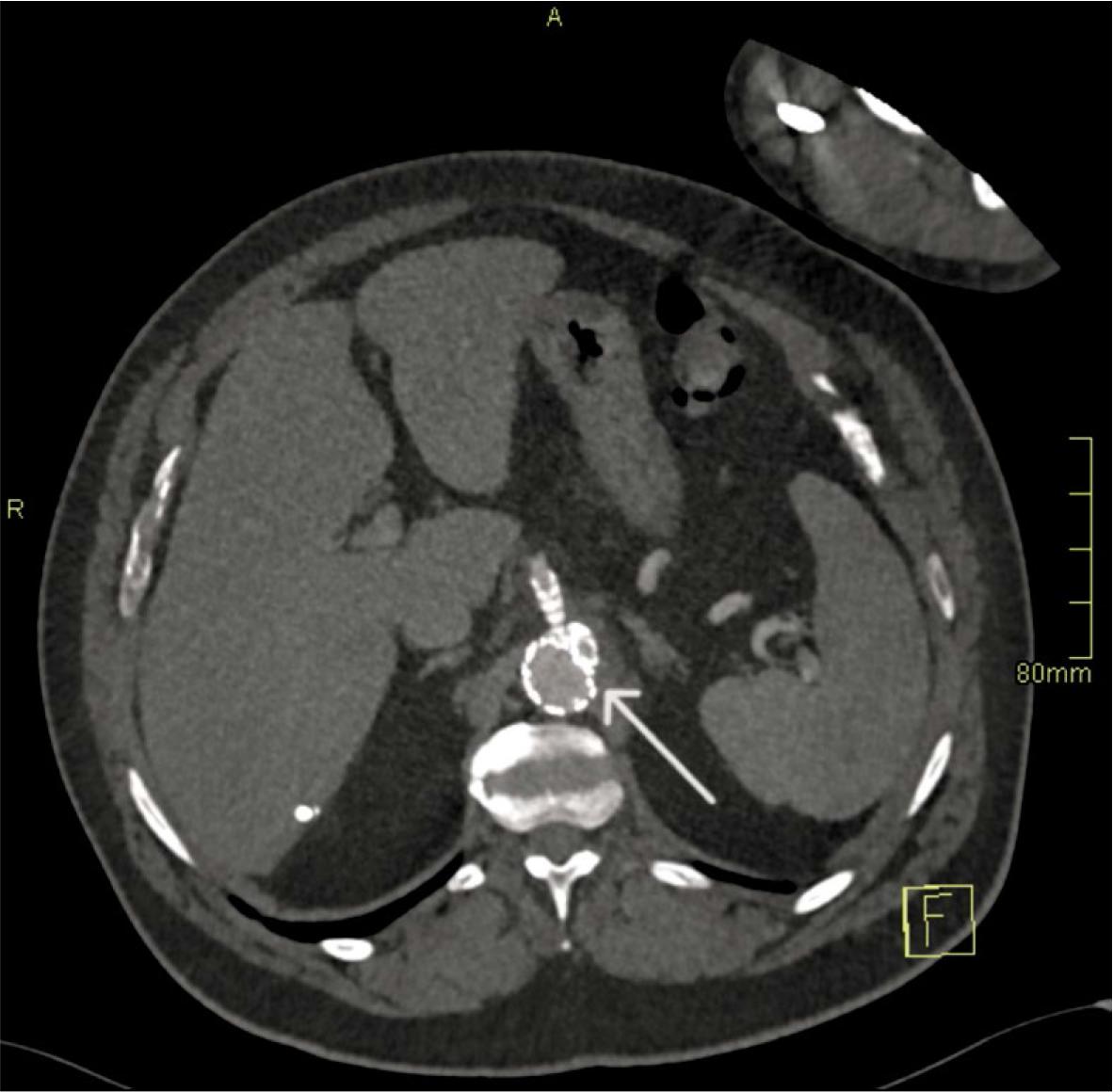
FIGURE 3.

FIGURE 4.

Figure 5.

Analysis of open surgical repair
| Category | Description |
|---|---|
| Advantages of OSR | Radical debridement & cure: allows for radical debridement and offers the potential for a microbiological cure. |
| Limitations of OSR | High perioperative mortality: associated with high mortality rates during and immediately after surgery, particularly in patients who are septic, frail, or physiologically unstable. |
Analysis of endovascular aortic repair (EVAR)/Complex EVAR
| Category | Description |
|---|---|
| Advantages of EVAR | Minimally invasive: rapid stabilization without laparotomy or aortic clamping. |
| Limitations of EVAR | Long-term complications: higher rates of late reinfection, sac enlargement, or endoleak compared with OSR. |