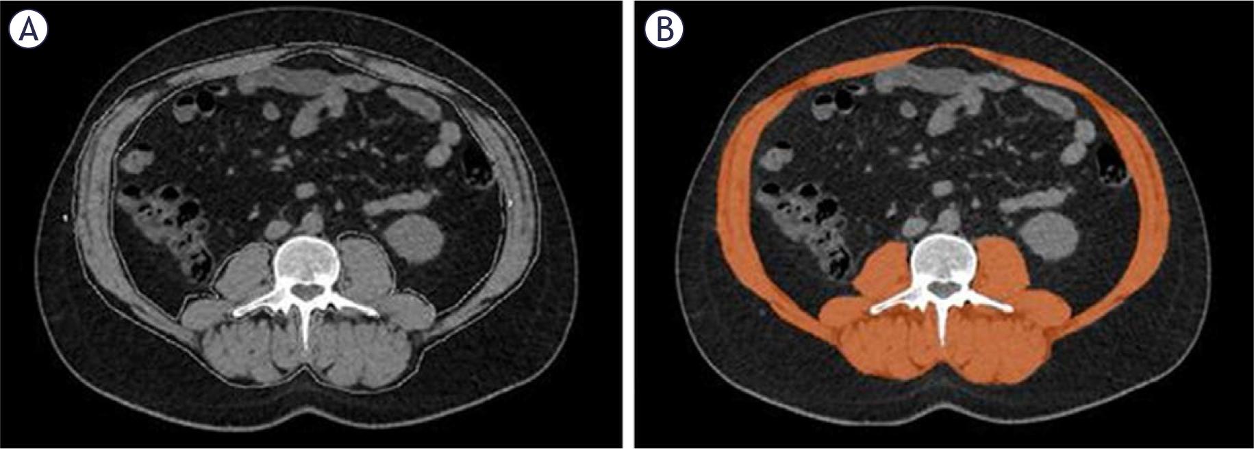
FIGURE 1.

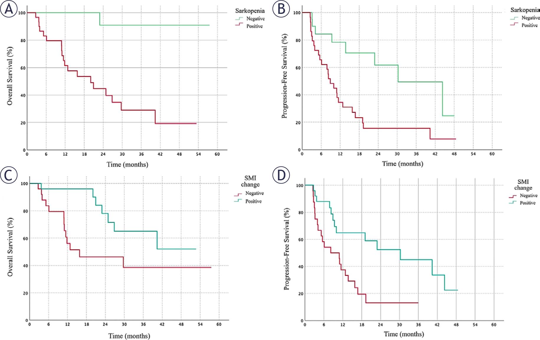
FIGURE 2.

FIGURE 3.

Comparison of clinical characteristics and survival outcomes by baseline muscle mass status
| Feature | Low buscle mass present (n = 30) | Low muscle mass absent (n = 20) | p-value |
|---|---|---|---|
| Patients, n (%) | 30 (60) | 20 (40) | - |
| Age, mean ± SD | 60 ± 10.5 | 57.7 ± 9.9 | 0.382 |
| Sex (men / women) | 25 / 5 | 10 / 10 | 0.013* |
| IMDC score (favorable / intermediate / poor) | 23 / 2 / 2 | 13 / 3 / 2 | 0.541 |
| Objective treatment response (Yes / No) | 2 / 28 | 6 / 14 | 0.027* |
| Overall Survival, Months (95% CI) | 20 (8.1–31.9) | NR | < 0.001* |
| Progression-Free Survival, Months (95% CI) | 8.8 (5.7–11.9) | 30.2 (13.1–47.4) | 0.004* |
Cox regression analysis for overall survival
| Variable | Univariate HR (95% CI) | p-value | Multivariate HR (95% CI) | p-value |
|---|---|---|---|---|
| Age | 1.01 (0.96–1.05) | 0.594 | 0.98 (0.92–1.05) | 0.713 |
| Sex (female vs. male) | 0.89 (0.34–2.33) | 0.818 | 0.86 (0.22–3.25) | 0.825 |
| Low muscle masss (present vs. absent) | 17.50 (2.33–131.10) | 0.005* | 35.00 (3.22–381.69) | 0.003* |
| ΔSMI (negative vs. positive) | 2.72 (1.07–6.87) | 0.034* | 6.10 (1.46–25.47) | 0.013* |
| IMDC score (intermediate/poor vs. favorable) | 0.67 (0.15–2.94) | 0.600 | 1.57 (0.26–9.38) | 0.621 |
| Multiple metastases (present vs. absent) | 3.11 (1.12–8.64) | 0.029* | 5.21 (1.00–27.10) | 0.050* |
| Histologic subtype (non-clear cell vs. clear cell) | 0.85 (0.11–6.40) | 0.877 | 0.68 (0.04–9.56) | 0.779 |
| Lymph node metastasis (present vs. absent) | 0.82 (0.34–1.98) | 0.665 | 0.31 (0.07–1.22) | 0.094 |
| Lung metastasis (present vs. absent) | 1.26 (0.51–3.09) | 0.614 | 0.27 (0.05–1.39) | 0.118 |
| Liver metastasis (present vs. absent) | 1.78 (0.71–4.49) | 0.216 | 0.94 (0.24–3.67) | 0.940 |
Cox regression analysis for progression-free survival
| Variable | Univariate HR (95% CI) | p-value | Multivariate HR (95% CI) | p-value |
|---|---|---|---|---|
| Age | 0.99 (0.96–1.03) | 0.647 | 0.98 (0.93–1.03) | 0.437 |
| Sex (female vs. male) | 0.87 (0.38–2.00) | 0.739 | 1.00 (0.33–3.05) | 0.994 |
| Low muscle mass (present vs. absent) | 4.17 (1.91–9.10) | < 0.001* | 4.98 (1.99–12.42) | < 0.001* |
| ΔSMI (Negative vs. Positive) | 3.52 (1.50–8.26) | 0.004* | 6.42 (2.18–18.91) | 0.001* |
| IMDC score (intermediate/poor vs. favorable) | 1.13 (0.33–3.84) | 0.849 | 2.12 (0.48–9.30) | 0.321 |
| Multiple metastases (present vs. absent) | 2.53 (1.07–5.97) | 0.035* | 1.97 (0.59–6.63) | 0.267 |
| Histologic subtype (non-clear cell vs. clear cell) | 0.95 (0.18–5.01) | 0.950 | 1.39 (0.15–12.92) | 0.771 |
| Lymph node metastasis (present vs. absent) | 0.76 (0.34–1.70) | 0.510 | 0.52 (0.17–1.63) | 0.264 |
| Lung metastasis (present vs. absent) | 1.18 (0.52–2.67) | 0.692 | 0.59 (0.18–1.89) | 0.374 |
| Liver metastasis (present vs. absent) | 1.33 (0.62–2.88) | 0.466 | 0.89 (0.30–2.66) | 0.839 |
Association of change in skeletal muscle index with clinical and survival outcomes
| Variable | ΔSMI Negative (n = 25) | ΔSMI Positive (n = 25) | p-value |
|---|---|---|---|
| Age, mean ± SD | 61.0 ± 10.1 | 57.1 ± 10.1 | 0.180 |
| Sex (men/ women) | 18 / 7 | 17 / 8 | 0.758 |
| IMDC score (favorable / intermediate / poor) | 18 / 1 /3 | 18 / 4 / 1 | 0.249 |
| Presence of multiple metastases, n (%) | 19 (76) | 11 (44) | 0.021* |
| Baseline low muscle mass, n (%) | 19 (76) | 11 (44) | 0.021* |
| Objective treatment response (Yes / No) | 1 / 24 | 7 / 18 | 0.021* |
| Overall survival, months (95% CI) | 15.8 (0–37.0) | NR | 0.027* |
| Progression-free survival, months (95% CI) | 8.1 (1.6–14.6) | 30.2 (11.5–49.0) | 0.005* |