FIGURE 1.

FIGURE 2.

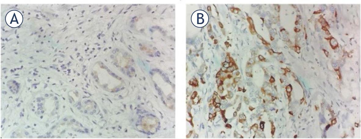
FIGURE 3.

FIGURE 4.

FIGURE 5.

Univariate and multivariate Cox proportional hazard regression analyses of overall survival
| Variables | Univariate analysis | Multivariate analysis | ||
|---|---|---|---|---|
| HR (95% CI) | P-value | HR 95% CI) | P-value | |
| Age | 1.009 (0.985–1.035) | 0.459 | 1.009 (0.983–1.035) | 0.512 |
| Sex | 1.346 (0.850–2.131) | 0.205 | 0.696 (0.435–1.112) | 0.696 |
| Tumor location (head vs. body and tail) | 0.895 (0.573–1.399) | 0.628 | 0.780 (0.474–1.283) | 0.327 |
| Tumor size | ||||
| ≤ 2 cm vs. > 4 cm | 0.543 (0.186–1.583) | 0.263 | 0.626 (0.191–2.054) | 0.440 |
| > 2 cm and ≤ 4 cm vs. > 4 cm | 0.607 (0.373–0.987) | 0.044 | 0.637 (0.337–1.204) | 0.165 |
| Histological grade (G1 vs. G2–3) | 1.263 (0.778–2.049) | 0.345 | 1.378 (0.797–2.383) | 0.251 |
| TNM stage (I–II vs. III–IV) | 0.374 (0.227–0.615) | < 0.001 | 1.505 (0.855–2.647) | 0.157 |
| Perineural invasion (yes vs. no) | 0.803 (0.464–1.389) | 0.432 | 1.158 (0.611–2.196) | 0.652 |
| Vascular invasion (yes vs. no) | 0.693 (0.442–1.085) | 0.109 | 0.912 (0.529–1.572) | 0.741 |
| Lymph node metastasis (yes vs. no) | 0.796 (0.513–1.235) | 0.308 | 0.883 (0.548–1.423) | 0.609 |
| Liver metastasis (yes vs. no) | 0.364 (0.231–0.574) | < 0.001 | 2.284 (1.426–3.657) | 0.001 |
| CEA (≤12 vs. >12) | 0.512 (0.256–1.026) | 0.059 | 1.622 (0.788–3.340) | 0.189 |
| CA19-9(≤282 vs. >282) | 0.969 (0.613–1.533) | 0.894 | 0.963 (0.560–1.655) | 0.891 |
| LAMA3 (low vs. high) | 0.407 (0.259–0.641) | < 0.001 | 2.016 (1.257–3.234) | 0.004 |
Characteristics of all patients
| Characteristics | All | LAMA3 expression | ||
|---|---|---|---|---|
| High (n = 62) | Low (n = 55) | P- value | ||
| Age(year), mean±SD | 62.43 ± 9.33 | 62.19 ± 9.38 | 62.69 ± 9.36 | 0.775 |
| Sex, n (%) | 0.615 | |||
| Male | 73 (62.4) | 40 | 33 | |
| Female | 64 (37.6) | 22 | 22 | |
| Tumor location, n (%) | 0.054 | |||
| Head | 70 (59.8) | 32 | 38 | |
| Body and tail | 47 (40.2) | 30 | 17 | |
| Tumor size, n (%) | 0.007 | |||
| ≤ 2 cm | 5 (4.3) | 2 | 3 | |
| > 2 cm and ≤ 4 cm | 81 (69.2) | 37 | 44 | |
| > 4 cm | 31 (26.5) | 23 | 8 | |
| Histological grade, n (%) | 0.810 | |||
| G1 | 31 (26.5) | 17 | 14 | |
| G2–3 | 86 (73.5) | 45 | 41 | |
| TNM stage, n (%) | 0.002 | |||
| I–II | 92 (78.6) | 42 | 50 | |
| III–IV | 25 (21.4) | 20 | 5 | |
| Perineural invasion, n (%) | 0.921 | |||
| Yes | 91 (77.8) | 48 | 43 | |
| No | 26 (22.2) | 14 | 12 | |
| Vascular invasion, n (%) | 0.340 | |||
| Yes | 37 (31.6) | 22 | 15 | |
| No | 80 (68.4) | 40 | 40 | |
| Lymph node metastasis, n (%) | 0.255 | |||
| Yes | 49 (41.9) | 29 | 20 | |
| No | 68 (58.2) | 33 | 35 | |
| Liver metastasis, n (%) | 0.005 | |||
| Yes | 45 | 30 | 15 | |
| No | 72 | 29 | 43 | |
| CEA (ng/ml) | 0.392 | |||
| ≤ 12 | 108 (92.3) | 56 | 52 | |
| > 12 | 9 (7.7) | 6 | 3 | |
| CA19-9 (U/ml) | 0.395 | |||
| ≤ 282 | 74 (63.2) | 37 | 37 | |
| > 282 | 43 (36.8) | 25 | 18 | |
| Surgical modalities, n (%) | 0.036 | |||
| Pancreaticoduodenectomy | 69 (59) | 31 | 38 | |
| Distal pancreatectomy | 48 (41) | 31 | 17 | |
| Postoperative chemotherapy, n (%) | 0.77 | |||
| Yes | 60 | 40 | 20 | |
| No | 57 | 41 | 16 | |
| Postoperative radiotherapy, n (%) | 0.063 | |||
| Yes | 3 | 2 | 1 | |
| No | 114 | 79 | 35 | |
| Immunotherapy, n (%) | 0.068 | |||
| Yes | 6 | 4 | 2 | |
| No | 111 | 77 | 34 | |
| Interventional therapy, n (%) | 0.374 | |||
| Yes | 4 | 4 | ||
| No | 114 | 77 | 36 | |
Univariate analysis of clinicopathological characteristics in patients with pancreatic ductal adenocarcinoma with and without liver metastasis
| Characteristics | Liver metastasis (n = 45) | Without liver metastasis (n = 72) | P-value |
|---|---|---|---|
| Age (year), M (IQR) | 63 (58–69) | 63 (56–68) | 0.814 |
| Sex, n | 0.717 | ||
| Male | 29 | 44 | |
| Female | 16 | 28 | |
| Tumor location, n | 0.456 | ||
| Head | 25 | 45 | |
| Body and tail | 20 | 27 | |
| Tumor size, n | 0.240 | ||
| ≤ 2 cm | 2 | 3 | |
| > 2 cm and ≤4 cm | 28 | 53 | |
| > 4 cm | 15 | 16 | |
| Histological grade, n | 0.001 | ||
| G1 | 20 | 11 | |
| G2–3 | 25 | 61 | |
| TNM stage, n | 0.013 | ||
| I–II | 30 | 62 | |
| III–IV | 15 | 10 | |
| Perineural invasion, n | 0.170 | ||
| Yes | 38 | 53 | |
| No | 7 | 19 | |
| Vascular invasion, n | 0.018 | ||
| Yes | 20 | 17 | |
| No | 25 | 55 | |
| Lymph node metastasis, n | 0.110 | ||
| Yes | 23 | 26 | |
| No | 22 | 46 | |
| CEA (ng/ml) | 0.701 | ||
| ≤ 12 | 41 | 67 | |
| > 12 | 4 | 5 | |
| CA19-9 (U/ml) | 0.832 | ||
| ≤ 282 | 29 | 45 | |
| > 282 | 16 | 27 | |
| LAMA3 expression, n | 0.005 | ||
| High | 30 | 29 | |
| Low | 15 | 43 |