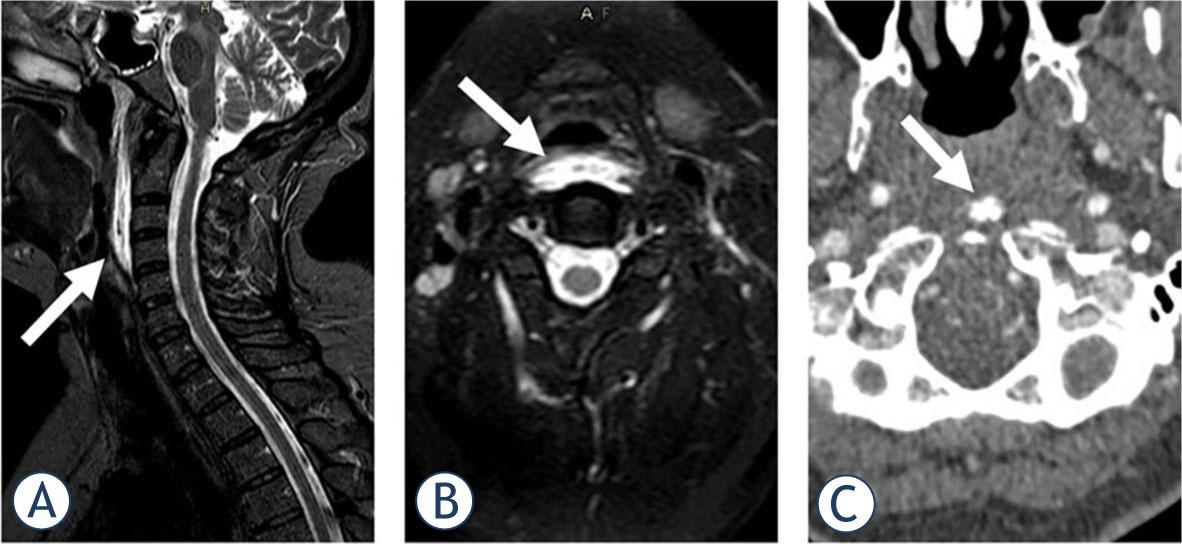
FIGURE 1.

FIGURE 2.

FIGURE 3.

Radiological clues for differential diagnosis
| Differential diagnosis | |||
|---|---|---|---|
| Modality | RCT | ABSCESS | TUMOUR |
| X-RAY | May show calcifications | Prevertebral swelling | − Prevertebral swelling |
| CT | Calcifications LCM oedema |
|
|
| MR | May suggest calcifications LCM oedema | +Diffusion restriction (pus) | (Superior contrast resolution) |
Results from literature analysis
| N | % | |
|---|---|---|
| SPECIALITY REPORTS | 112 | 100 |
| Otorhinolaryngology (ENT) | 32 | 28.6 |
| Emergency medicine | 26 | 23.2 |
| Orthopaedic surgery | 24 | 21.4 |
| Other | 19 | 17 |
| Neurology | 11 | 9.8 |
| PATIENTS TOTAL | 231 | 100 |
| Sex: women:men | 121:110 | 52.4:47.6 |
| Age (years) | 22–78 | 46.7 |
| Median | ||
| No comorbidities | 224 | 96 |
| Acute onset (24–72 hours) | 208 | 91 |
| LEADING SYMPTOMS | ||
| Neck pain | 231 | 100 |
| Neck immobility | 222 | 96 |
| Odynophagia | 210 | 91 |
| Trismus | 35 | 15 |
| Torticollis | 11 | 5 |
| Stridor | 1 | 0.4 |
| Dysarthria | 1 | 0.4 |
| Vertigo | 1 | 0.4 |
| DIAGNOSTIC WORKUP | ||
| Mild to moderate increase in CRP and/or total leucocyte count | 216 | 93 |
| CT | 111 | 43 |
| CT + MR | 120 | 47 |
| Aspiration biopsy | 7 | 3 |
| DIFFERENTIAL DIAGNOSIS | ||
| Retropharyngeal abscess | 134 | 58 |
| Spondylodiscitis | 28 | 12 |
| Meningitis | 25 | 11 |
| Neck artery dissection | 4 | 1,7 |
| COURSE | ||
| Marked improvement within 2 weeks | 221 | 95 |
Differential diagnosis of the Retropharyngeal calcific tendinitis (RCT)
| Feature | RCT | Meningitis | Abscess | Discitis | Dissection | GON,CH |
|---|---|---|---|---|---|---|
| Neck pain | +++ | ++ | +++ | +++ | ++ | ++ |
| Fever | − | + | + | + | − | − |
| Photophobia | − | + | − | − | − | − |
| Nausea | − | + | − | − | −/+ | − |
| Decreased ROM | +++ | + (flexion) | ++ | ++ | − | −/+ |
| Odynophagia | ++/+ | − | ++ | −/+ | − | − |
| Long tract signs | − | − | − | −/+ | + | − |