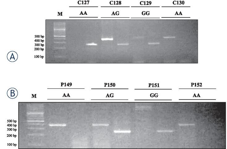
Figure 1

Figure 2

Figure 3

Figure 4

Frequencies of AKT1rs1130233 polymorphism and alleles in rectum cancer cases and control
| Type of polymorphism | Genotype | n Rectum = 98 (%) | n Control = 197 (%) | P value | OR (95% CI) |
|---|---|---|---|---|---|
| GG | 30 (30.61) | 90 (45.69) | Reference | ||
| Genotype frequency | AG | 59 (60.20) | 101 (51.27) | 0.04 | 1.75 (1.04–2.96) |
| AA | 9 (9.19) | 6 (3.04) | 0.008 | 4.50 (1.48–13.69) | |
| Dominant model | GG | 30 (30.61) | 90 (45.69) | 0.01 | 1.91 (1.14–3.18) |
| AG+AA | 68 (69.39) | 107 (54.31) | |||
| Recessive model | GG+AG | 89 (90.81) | 191 (96.96) | 0.03 | 3.22 (1.11–9.32) |
| AA | 9 (9.19) | 6 (3.04) |
Primers sequences and amplification conditions for genes
| Genes | Direction | Primer sequence | Amplification condition |
|---|---|---|---|
| BTG2 | Forward | 5/-CCTGGGCAGAGAGTGAAAAG-3/ | 95°C for 5 min, followed by 30 |
| Reverse | 5/-CCTTCCATCCTAACCCCAAT-3/ | cycles of 95°C for 30 s, 58°C for | |
| Forward | 5/-CCATGGAGAAGGCTGGGG-3/ | 45 s, 72°C for 45 s and 72°C for | |
| GAPDH | Reverse | 5/-CAAAGTTGTCATGGATGACC-3/ | 10 min |
| Forward | F1-5/-ATAGGGAGTCATGGAGGGTTTG-3/ | 95°C for 5 min, followed by 35 | |
| AKT1 | Reverse | R1-5/-CTTTACCAAATCCTGGTCACTGAA-3/ | cycles of 95°C for 30 s, 60°C for |
| Forward | F2-5/-AAAAAATTGATTGATGGGAGGAAG-3/ | 45 s, 72°C for 45 s and 72°C for | |
| Reverse | R2-5/-TAATCCCTGGCCTGCTCAG-3/ | 10 min |
Frequencies of AKT1 rs1130233 polymorphism and alleles in colon cancer cases and control
| Type of polymorphism | Genotype | n = Colon 102 (%) | n Control = 197 (%) | P value | OR (95% CI) |
|---|---|---|---|---|---|
| GG | 30 (29.41) | 90 (45.69) | Reference | ||
| Genotype frequency | AG | 61 (59.80) | 101 (51.27) | 0.02 | 1.81 (1.08–3.05) |
| AA | 11 (10.79) | 6 (3.04) | 0.001 | 5.50 (1.87–16.15) | |
| Dominant model | GG | 30 (29.41) | 90 (45.69) | 0.006 | 2.02 (1.21–3.36) |
| AG+AA | 72 (70.59) | 107 (54.31) | |||
| Recessive model | GG+AG | 91 (89.21) | 191 (96.96) | 0.01 | 3.85 (1.38–10.73) |
| AA | 11 (10.79) | 6 (3.04) |
Demographic and clinical information of control subjects and colorectal cancer patients
| Characteristics | Cases n = 200(%) | Control n = 197(%) |
|---|---|---|
| Age* | ||
| 40 ≤ | 131 (65.5) | 120 (60.91) |
| 40 > | 69 (34.5) | 77 (39.09) |
| Sex* | ||
| Male | 119 (59.50) | 112 (57.50) |
| Female | 81 (40.50) | 85 (42.50) |
| Food consumption* | ||
| Mainly vegetables | 106 (53.00) | 97 (49.24) |
| Mixed Food | 94 (47) | 100 (50.76) |
| Smoking* | ||
| Ever | 36 (18.00%) | 29 (14.72%) |
| Never | 164 (82.00%) | 168 (85.28%) |
| Cancer family history* | ||
| Yes | 27 (13.50) | 17 (8.63) |
| No | 173 (86.50) | 180 (91.37) |
| Cancer Stages | ||
| I | 1 (0.50) | |
| II | 33 (16.50) | |
| III | 112 (56.00) | |
| IV | 54 (27.00) |
Gene and allele frequencies of AKT1 rs1130233 polymorphism and its association with colorectal cancer
| Type of polymorphism | Genotype | n = Cases 200 (%) | n Control = 197 (%) | P value | OR (95% CI) |
|---|---|---|---|---|---|
| GG | 60 (30.00) | 90 (45.69) | Reference | ||
| Genotype Frequency | AG | 120 (60.00) | 101 (51.27) | 0.01 | 1.80 (1.18–2.74) |
| AA | 20 (10.00) | 6 (3.04) | 0.001 | 5.00 (1.90–13.18) | |
| Dominant Model | GG | 60 (30.00) | 90 (45.69) | ||
| AG+AA | 140 (70.00) | 107 (54.31) | 0.001 | 1.96 (1.30–2.96) | |
| Recessive Model | GG+AG | 180 (90.00) | 191 (96.96) | ||
| AA | 20 (10.00) | 6 (3.04) | 0.01 | 0.28 (0.11–0.72) | |
| Allele Frequency | G A | 0.6000 0.4000 | 0.7132 0.2868 |