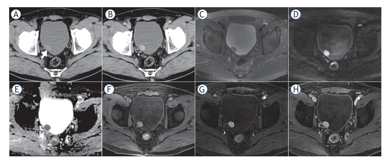
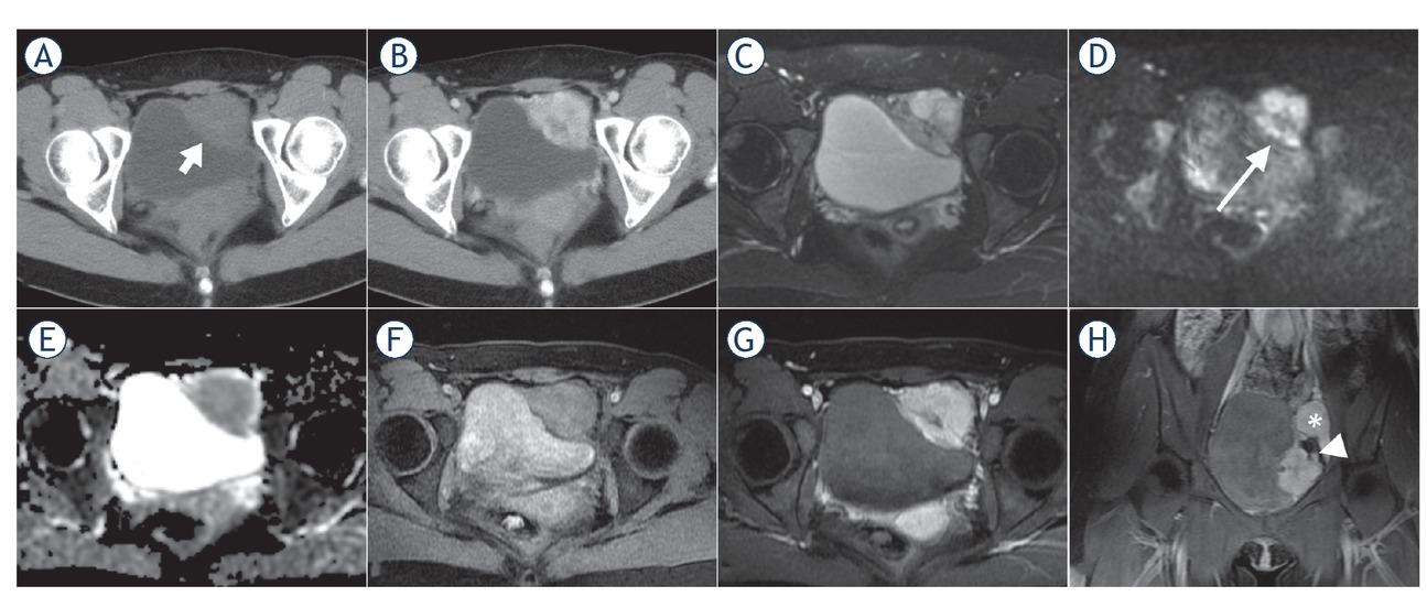
Figure 1

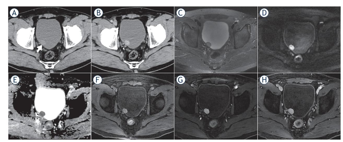
Figure 2

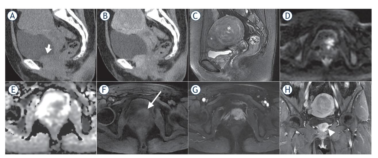
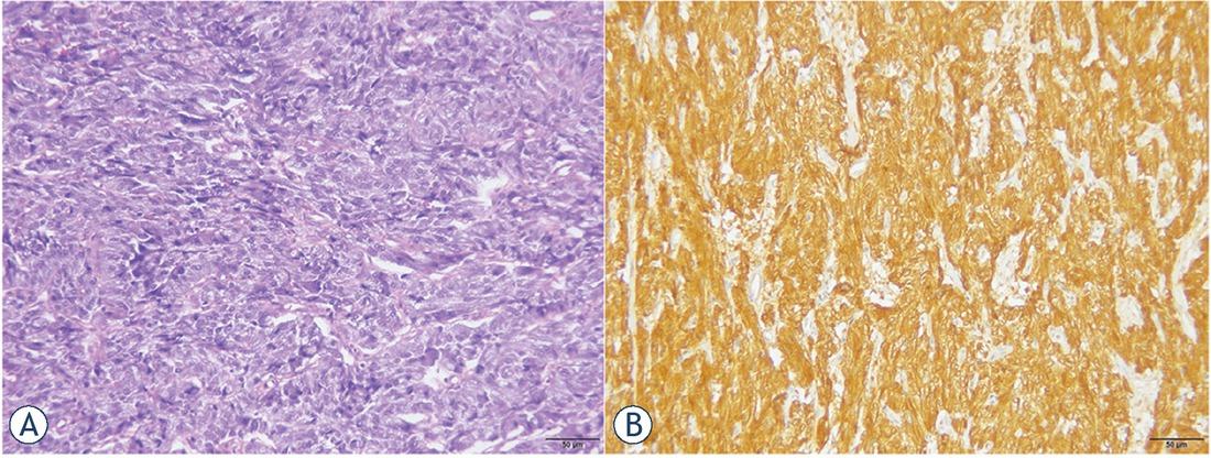
Figure 3

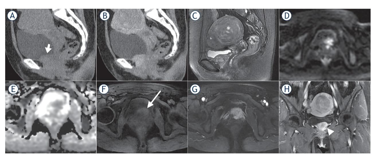
Figure 4

Figure 5

Location and morphological characteristics of bladder paraganglioma
| Characteristics | Number (%) of patients |
|---|---|
| Mean maximum diameter of tumour (cm)* | 2. 6 ± 1.0 |
| Location | |
| Anterior wall | 3 (18.7) |
| Posterior wall | 4 (25.0) |
| Left wall | 1 (6.3) |
| Right wall | 3 (18.7) |
| Dome | 2 (12.5) |
| Bottom | 3 (18.8) |
| Spatial relationship with the bladder wall | |
| Protruding into the bladder cavity | 11 (68.7) |
| Protruding into the pelvic cavity | 1 (6.3) |
| Protruding into the bladder and pelvic cavities | 4 (25.0) |
| Morphological characteristics | |
| Oval | 10 (62.5) |
| Lobulated | 4 (25.0) |
| Fusiform | 2 (12.5) |
| Tumor margin | |
| Well-defined | 14 (87.5) |
| Ill-defined | 2 (12.5) |
Clinical characteristics of patients with bladder paraganglioma
| Characteristics | Number (%) of patients |
|---|---|
| Median age in years (interquartile range) | 51 (40, 63) |
| Sex | |
| Male | 7 (43.8) |
| Female | 9 (56.2) |
| Clinical manifestations | |
| Postmicturition syndrome* | 6 (37.5) |
| Hypertension | 3 (18.8) |
| Hematuria or progressive dysuria | 3 (18.7) |
| 24-h urinary VMA and CA level | |
| Not measured | 11 (68.8) |
| Normal | 4 (25.0) |
| Elevated | 1 (6.2) |
| Tumor number | |
| Single | 14 (87.5) |
| Multiple | 2 (12.5) |
| Surgical approach | |
| Partial cystectomy | 7 (43.8) |
| Local resection of bladder tumor** | 9 (56.2) |
| Imaging methods | |
| Computerized tomography | 13 (81.3) |
| Magnetic resonance imaging | 8 (50.0) |
CT and MR image characteristics*
| Computerized tomography (n = 13) | |
|---|---|
| Density | Moderate or slightly lower density |
| Enhancement characteristics | Moderate to marked enhancement |
| Calcification | None |
| Cystic degeneration or necrosis | Rare (n = 2) |
| Haemorrhage | None |
| Magnetic resonance imaging (n = 8) | |
| T2-weighted imaging | Slight hyperintensity |
| Diffusion-weighted imaging | Hyperintensity |
| Apparent diffusion coefficient (ADC) map | Hypointensity (ADC value, 0.883±0.126×10-3 mm2/s)** |
| T1-weighted imaging | Slight hyperintensity |
| Enhancement characteristics | “Fast in and slow out” pattern |
| Cystic degeneration or necrosis | Rare (n = 2) |
| Haemorrhage | None |