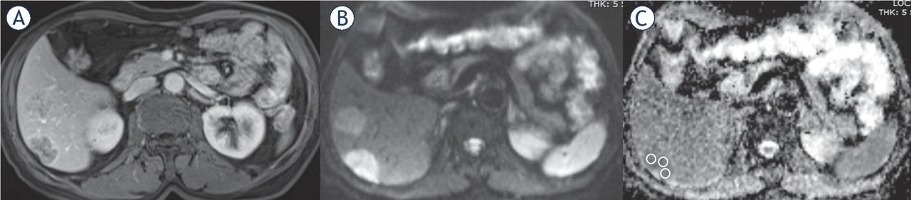
Figure 1

Figure 2

Figure 3

Figure 4

Figure 5

Apparent diffusion coefficient (ADC) values of intrahepatic cholangiocarcinoma (IHCC) and gastrointestinal system (GIS) liver metastases
| Patient Groups | ADC x 10-6mm/sn2 (median, IQR) |
| IHCC | (1293.0), (1422.0–951.75) |
| GIS metastases | (861.0), (1053.0–695.0) |
Univariate analysis of patient characteristics for gastrointestinal system (GIS) liver metastases and intrahepatic cholangiocarcinoma (IHCC)
| Patient characteristics | Number of patients (n = 63) | IHCC (n = 10) | Liver metastases (n = 53) | P value |
|---|---|---|---|---|
| Age (years) | 61.4 ± 9.93 | 62.50 ± 13.49 | 61.15 ± 9.18 | 0.679 |
| Gender | < 0.001 | |||
| Male | 35 | 2 | 33 | |
| Female | 28 | 8 | 20 | |
| Diameter Location (mm) | 47 ± 31.27 | 82.70 ± 28.58 | 40.26 ± 27 | < < 0.001 0.001 |
| Right lobe | 24 | 2 | 38 | |
| Left lobe | 43 | 8 | 15 |