Adjuvant radiotherapy after breast-conserving surgery has been proven to be effective in reducing the risk of recurrence and death from breast cancer.1, 2 In radiotherapy for breast cancer, internal mammary nodes (IMN) and supraclavicular nodes (SCN) are often included in planning target volume (PTV) to improve local control.3, 4, 5, 6 However, irradiation of IMN inevitably increases the dose delivered to heart and lungs, raising the risk of radiation pneumonitis and cardiac mortality.7 Indeed, approximately 1%–5% of patients with breast cancer develop radiation pneumonitis after radiotherapy as predicted by the normal tissue complication probability model.8 In a study of 61 patients with early breast cancer who received radiotherapy, approximately 12.5% developed > grade 1 radiation pneumonitis at 12 months.9 Additionally, cardiac diseases, such as ischemic heart disease is another major concern associated with radiotherapy in breast cancer10, 11, 12 and controversies remain concerning IMN irradiation.7, 8, 9, 10, 11, 12, 13 Therefore, reducing the dose to organs at risk during irradiation of nodal regions is crucial for improving the benefits of treatment while reducing associated toxicity.
Several techniques are used for locoregional breast irradiation. While modified wide tangential beam with forward planning used to be the most common technique14, intensity-modulated radiotherapy (IMRT) was introduced for radiotherapy of left-sided breast cancer with IMN with the development of technology.15 Conformity and homogeneity were improved and the proportion of volume receiving 30 Gy (V30) for the heart and the proportion of volume receiving 20 Gy (V20) for the left lung was reduced with IMRT using inverse optimization compared to conventional planning. The recently implemented volumetric modulated arc therapy (VMAT) technology for left-sided breast cancer with IMN can achieve similar PTV coverage and organ-at-risk (OAR) sparing compared to IMRT.16, 17, 18 Helical tomotherapy (HT) is another potential solution; however, beam delivery is time consuming compared with conventional linear accelerator.19 Furthermore, HT does not provide significant improvement to the mean dose delivered to heart compared with VMAT.20 However, new technologies such as IMRT, VMAT, and HT can reduce the dose to OARs compared with wide tangential beams and it remains important to explore approaches that can improve OAR sparing.
Non-coplanar VMAT (ncVMAT) c an extend beam angle arrangements and is therefore potentially better in sparing OARs.21 With non-coplanar techniques, different fixed fields or arcs do not employ the same geometric plane, which significantly increases the space of solution for optimizing. This can be realized with a C-arm linear accelerator by rotating the treatment couch around the isocenter. The implementation of ncVMAT has already been studied in partial-breast, complicated whole-breast radiotherapy, and postmastectomy radiotherapy.22, 23, 24 However, no studies to date have reported the utility of non-coplanar technique in the treatment of left-sided breast cancer after breast-conserving surgery including the internal mammary and supraclavicular nodal regions. In the present study, ncVMAT plans using four arcs were designed to explore the feasibility of ncVMAT for locoregional radiotherapy of left-sided breast cancer. Additionally, dosimetric parameters, such as target coverage, conformity index, homogeneity index, and OAR sparing ability, were compared between ncVMAT and coplanar VMAT (coVMAT).
The present retrospective study was approved by the institutional review board, and informed consent was waived. Ten patients with left-sided breast cancer and IMN after breast-conserving surgery were included in the study. The mean patient age was 52 (range, 34–68) years. The planning computed tomography (CT) data were acquired by a Brilliance CT Big Bore (Philips Healthcare, Best, The Netherlands) using 5-mm thick slices. Both arms of patients were above the head scanning in the supine position. The clinical target volume (CTV) comprised the whole breast, SCN, and IMN. The PTV was generated by expanding a 5-mm margin to CTV, with the exclusion of the most superficial 5-mm area. Therefore, breast planning target volume (PTVbreast), supraclavicular nodes panning target volume (PTVscn), and internal mammary nodes planning target volume (PTVimn) were separately delineated for the breast, SCN, and IMN, respectively, which were then combined to generate the total target volume (PTVall). The volume of PTVall varied from 582.6 cc to 1166.1 cc with an average value of 874.8 cc (standard deviation 191.6 cc). The OARs were also contoured on the planning CT images, which included left and right lungs, heart, left anterior descending coronary artery (LAD), right breast, esophagus, spinal cord, left humeral head, and left brachial plexus.
All plans were designed with the Pinnacle treatment planning system (version 9.1, Philips Healthcare, Eindhoven, Netherlands) and 6-MV X-ray delivered by an Elekta Versa HD accelerator (Elekta Oncology Systems, Crawley, UK). The multi-leaf collimator (MLC) width was 5 mm at the isocenter, and the treatment couch could rotate from −90° to 90°. The prescribed dose was 50 Gy delivered in 25 fractions for all patients.
All patients were planned with both ncVMAT and coVMAT for comparisons. The ncVMAT was optimized with four arcs, comprising two coplanar arcs and two non-coplanar arcs. The two co-planar arcs ranged from 310° to 140° with both clockwise and counterclockwise rotation illustrated in Figure 1 A, and the collimator angles were adjusted slightly according to the shape of each PTV. The non-coplanar arc angle varied from 345° to 40° (both clockwise and counterclockwise) with the couch rotating to 90° shown in Figure 1 B. According to the anatomic location of IMN, the extra dose to heart and bilateral lungs is not avoidable and usually increases with increasing PTVimn coverage. Thus, two non-coplanar arcs were designed to deliver the dose to the internal mammary chains. This was realized by limiting the maximum position of the jaw for non-coplanar arc as shown in Figure 1 C. To protect patients from collision with gantry and to spare the heart, the maximum arc angle was set to 40° in the inferior direction. Additionally, the maximal arc angle in the superior direction was 345° to protect the jaw and arms from irradiation. The four arcs were optimized with an inverse optimizer in the planning system. For coVMAT plans, identical coplanar arc angles (310° to 140°) were used, with two coplanar arcs used for optimization, for all patients.

Illustration of the arc angle for coplanar arc (A), non-coplanar arc (B), maximum jaw position for non-coplanar arc (C). (Slate blue, internal mammary nodes planning target volume [PTVimn])
All plans were normalized to cover at least 95% of the PTVall with the prescribed dose 50 Gy, and the proportion of volume receiving more than 55 Gy (V55) in PTVall was limited to as low as possible while meeting the constraints of the heart and lungs. For the OARs, the proportion of volume of left lung receiving more than 20 Gy (V20) was restricted to lower than 30%,25 and the mean dose of left lung was required to be lower than 15 Gy. The dose constraints for heart were V20 < 15% and mean dose lower than 10 Gy.26 The dose delivery to right lung, and right breast were limited with V5 < 10% and mean dose lower than 2~3 Gy. The maximum dose of LAD was restricted to be lower than 55 Gy, and the mean dose of LAD was limited to be lower than 25 Gy. For all patients, the optimization of parameters was similar between ncVMAT and coV-MAT planning, with minor adjustments.
Several parameters such as conformity index (CI) and homogeneity index (HI) of PTV were evaluated to compare the ncVMAT and coVMAT plans. CI was based on Paddick’s formula:27 CI = (TVPV)2/ (TV × PV), where TV is PTV volume, PV is the volume covered by the prescribed dose, and TVPV is the volume of PTV covered by the prescribed dose. A CI value close to 1 represents better conformity. HI was defined as follows:28 HI = D5%/D95%, where D5% and D95% are doses to 5% and 95% of the target volume, and a smaller HI indicates better homogeneity. Prescription dose coverage V50 and hot spot V55 for PTVall, PTVbreast, PTVscn, and PTVimn were individually evaluated.
Regarding OARs, mean dose (Dmean) and proportions of volume receiving 5 Gy (V5), 10 Gy (V10), and 20 Gy (V20) were calculated for the left lung. Additionally, Dmean, V5, V10, V20, and V30 for the heart; Dmean, V5, and V10 for the right lung and right breast; Dmean and maximum dose (Dmax) for the LAD, esophagus, and left brachial plexus; Dmean and V30 for left humeral head; Dmean, Dmax, and V30 for the thyroid gland; and Dmax for the spinal cord were also evaluated. Monitor units (MU) for each plan were also calculated, and treatment delivery time was estimated by the treatment planning system.
All statistical analyses were performed with SPSS (version 19.0, IBM, New York, USA). If the data was normally distributed, independent samples t test was utilized for the analysis of data; otherwise, nonparametric Wilcoxon signed-rank test was used to compare parameters for significance. Results with a p value of < 0.05 were considered statistically significant.
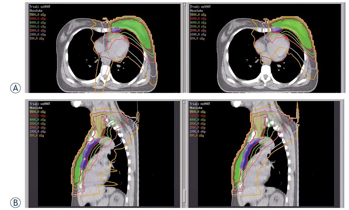
Figure 2 shows an example of dose distribution by ncVMAT and coVMAT, demonstrating that the dose lines from 500 cGy to 4000 cGy with ncV-MAT provided better conformity for PTVbreast and PTVimn. A similar difference could also be observed in the dose- volume histogram of PTV and selected OARs (Figure 3). In this particular patient, ncVMAT provided better sparing of the LAD, heart, bilateral lungs, and right breast and better homogeneity for PTVimn.

Comparison of transverse (A) and sagittal (B) distribution between coplanar volumetric modulated arc therapy [coVMAT] (left) and non-coplanar volumetric modulated arc therapy (ncVMAT) (right). (Color wash: green, breast planning target volume [PTVbreast]; slate blue, internal mammary nodes planning target volume [PTVimn]; olive, supraclavicular nodes panning target volume [PTVscn]; Contour: red, descending coronary artery [LAD;] brown, heart).

Dose-volume histogram of planning target volume (PTV) and selected organs-at-risk (OARs) (Solid line, coplanar volumetric modulated arc therapy [coVMAT]; dashed line, non-coplanar volumetric modulated arc therapy [ncVMAT]).
All plans were normalized to cover 95% of PTVall with the prescribed dose of 50 Gy. The dosimetric parameters of PTVbreast, PTVscn, PTVimn, and PTVall are shown in Table 1. The mean coverage was approximately 95% for PTVbreast, PTVscn, and PTVimn, and there was no significant difference between ncVMAT and coVMAT (p > 0.05). Additionally, the proportion of volume receiving 110% prescribed dose V55 in PTVbreast, PTVscn, PTVimn, and PTVall decreased significantly comparing ncVMAT with coVMAT (p = 0.005). Furthermore, improved CI and HI of PTVall were achieved with ncVMAT compared to coVMAT.
Comparison of dosimetric parameters between coplanar volumetric modulated arc therapy (coVMAT) and non-coplanar volumetric modulated arc therapy (ncVMAT) for planning target volume (PTV)
| Parameters | coVMAT | ncVMAT | p | |
|---|---|---|---|---|
| PTVall | CI | 0.84 ± 0.04 | 0.86 ± 0.03 | 0.028 |
| HI | 1.10 ± 0.02 | 1.09 ± 0.01 | 0.019 | |
| V55 (%) | 6.32 ± 6.35 | 3.46 ± 3.02 | 0.011 | |
| PTVimn | V45 (%) | 99.85 ± 0.14 | 99.85 ± 0.21 | 0.67 |
| V50 (%) | 95.62 ± 0.39 | 95.67 ± 0.73 | 0.94 | |
| V55 (%) | 4.25 ± 4.53 | 1.08 ± 1.88 | < 0.001 | |
| PTVscn | V(%) 50 | 95.31 ± 0.43 | 95.37 ± 0.61 | 0.681 |
| V55 (%) | 1.46 ± 2.89 | 0.22 ± 0.48 | 0.001 | |
| PTVbreast | V(%) 50 | 95.20 ± 0.52 | 94.98 ± 0.38 | 0.054 |
| V55 (%) | 8.09 ± 8.84 | 4.71 ± 4.19 | 0.028 |
PTVall= total target volume; PTVbraest = breast planning target volume; PTVimn = internal mammary nodes planning target volume; PTVscn = supraclavicular nodes panning target volume
In breast cancer radiotherapy, the heart should be preferentially spared. As summarized in Table 2, the average heart V30, V20, V10, and V5 declined significantly when using ncVMAT (p < 0.01). The mean dose to the heart was significantly reduced from 11.16 ± 3.45 Gy to 9.22 ± 2.98 Gy (p < 0.001), and the heart Dmean showed a decrease of 17.4%.
Comparison of dosimetric parameters between coplanar volumetric modulated arc therapy (coVMAT) and non-coplanar volumetric modulated arc therapy (ncVMAT) for heart and lung
| Parameters | coVMAT | ncVMAT | p | |
|---|---|---|---|---|
| Heart | V5 (%) | 61.48 ± 19.63 | 48.70 ± 18.88 | < 0.001 |
| V10 (%) | 35.50 ± 15.05 | 26.64 ± 11.97 | < 0.001 | |
| V20 (%) | 16.70 ± 8.70 | 13.07 ± 6.75 | < 0.001 | |
| V30 (%) | 8.53 ± 5.28 | 6.68 ± 3.75 | 0.001 | |
| Dmean (Gy) | 11.16 ± 3.45 | 9.22 ± 2.98 | < 0.001 | |
| Left lung | V5 (%) | 71.67 ± 12.23 | 59.48 ± 10.51 | < 0.001 |
| V(%) 10 | 47.59 ± 8.06 | 40.48 ± 6.41 | < 0.001 | |
| V20 (%) | 26.43 ± 3.95 | 23.55 ± 3.05 | < 0.001 | |
| Dmean (Gy) | 15.27 ± 2.03 | 13.59 ± 1.76 | < 0.001 | |
| Contralateral lung | V5 (%) | 9.67 ± 5.35 | 6.10 ± 4.19 | < 0.001 |
| V10 (%) | 0.87 ± 0.78 | 0.46 ± 0.50 | 0.003 | |
| Dmean (Gy) | 2.82 ± 0.54 | 2.43 ± 0.49 | < 0.001 |
As shown (Table 2), the left lung mean V20, V10, and V5 declined significantly when compared ncVMAT with coVMAT (p < 0.001). The contralateral lung mean V5 and V10 also improved with ncVMAT (p < 0.005). Both the mean lung doses (MLDs) of the left and right lungs were reduced when compared with ncVMAT with coVMAT (p < 0.001), respectively. These results demonstrated that ncVMAT provided an improved sparing strategy for bilateral lungs when compared with coVMAT.
The evaluation of dosimetric parameters of the right breast and LAD (Table 3) showed that the mean contralateral breast V10 and V5, and Dmean declined with ncVMAT (p < 0.001). Accordingly, the right breast V10 was close to 0 when planned with ncVMAT. The LAD Dmax and Dmean were also improved with ncVMAT, when compared with coV-MAT. The reductions in LAD Dmax and Dmean were both statistically significant comparing coVMAT with ncVMAT (p < 0.001).
Comparison of dosimetric parameters between coplanar volumetric modulated arc therapy (coVMAT) and non-coplanar volumetric modulated arc therapy (ncVMAT) for other organ-at-risk (OAR)
| Parameters | coVMAT | ncVMAT | p | |
|---|---|---|---|---|
| Contralateral breast | V5 (%) | 9.06 ± 5.22 | 4.98 ± 2.63 | < 0.001 |
| V10 (%) | 1.53 ± 1.60 | 0.23 ± 0.27 | < 0.001 | |
| Dmean (Gy) | 2.62 ± 0.60 | 2.16 ± 0.41 | < 0.001 | |
| LAD | Dmax (Gy) | 48.90 ± 8.19 | 46.03 ± 8.20 | < 0.001 |
| Dmean (Gy) | 27.39 ± 8.20 | 23.25 ± 7.16 | < 0.001 | |
| Left humeral head | V30 (%) | 14.47 ± 16.06 | 13.50 ± 13.26 | 0.845 |
| Dmean (Gy) | 19.96 ± 5.11 | 20.32 ± 5.23 | 0.737 | |
| Esophagus | Dmax (Gy) | 51.61 ± 4.64 | 51.24 ± 3.90 | 0.052 |
| Dmean (Gy) | 31.22 ± 5.92 | 33.33 ± 6.09 | < 0.001 | |
| Left brachial plexus | Dmax (Gy) | 54.32 ± 1.05 | 53.44±0.98 | 0.004 |
| Dmean (Gy) | 49.77 ± 2.79 | 49.36 ± 2.74 | 0.019 | |
| Thyroid | V30 (%) | 45.96 ± 8.83 | 46.10 ± 12.47 | 0.044 |
| Dmax (Gy) | 54.13 ± 0.77 | 53.64 ± 0.86 | 0.009 | |
| Dmean (Gy) | 30.79 ± 3.39 | 29.60 ± 4.71 | 0.015 | |
| Spinal cord | Dmax (Gy) | 26.88 ± 5.53 | 29.38 ± 4.76 | 0.073 |
LAD = descending coronary artery
The evaluation of other OARs included in the study is shown in Table 3. Briefly, the Dmean of esophagus increased slightly with ncVMAT when compared with coVMAT (p < 0.001) and there was also a small decrease in the V30, Dmax, and Dmean of the thyroid gland, and Dmax and Dmean of left brachial plexus with ncVMAT (p < 0.05). In addition, there were no significant differences in the V30 and Dmean of left humeral head, the Dmax of spinal cord and esophagus (p > 0.05). Moreover, all dosimetric parameters of these OARs were clinically acceptable.
The average MU values were 797 ± 149 and 803 ± 132 MU for ncVMAT and coVMAT, respectively, which were not significantly different (p > 0.05). The average treatment delivery time increased from 233 ± 25 s with coVMAT to 370 ± 31 s (include rotating the couch, approximately 60 s) with ncV-MAT. The time was significantly increased with ncVMAT (p < 0.001).
In the present study, ncVMAT was designed for locoregional radiotherapy of left-sided breast cancer including irradiation of IMN. For coVMAT, the heart was inevitably irradiated to cover the PTVimn which was deeply located and anatomically adjacent to the heart. This was observed in Figure 2 A (left) as several sharp peak dose lines across the heart. As the dose constraints were very strict for lungs and the contralateral breast, the beam only irradiated the internal mammary chains, primarily via the vertical direction. By rotating the treatment couch to 90°, the beam irradiated internal mammary chains, more through the ipsilateral breast, the prethoracic muscles and bones, and also through the superior and inferior direction of PTVimn. Hence, the conformity of doselines from 500 cGy to 2000 cGy around PTVimn was improved with ncVMAT. We clarify this in the revised manuscript. (Figure 2 A, right). This observation was characteristic of the non-coplanar technique in delivering a higher dose from the superior and inferior direction of the target volume to increase conformity of the target. For the same reason, an improved sparing of the lungs and the contralateral breast was generated with ncVMAT as the beam irradiated more through the middle line. Another possible explanation for an increased sparing of OARs with ncVMAT was that the non-coplanar technique provided more freedom for plan optimization.
Encompassing the IMN is challenging in breast cancer radiotherapy, as it introduces extra irradiation to the heart and lungs. Approaches to reduce toxicity in adjacent OARs compromise the coverage of PTVimn, and 85%29 to 90%30 of the prescribed dose is acceptable in clinical practice. However, the present study investigating the potential utility of ncVMAT in sparing OARs without impacting local control revealed that the coverage of PTVimn was around 95% with both coVMAT and ncVMAT. A tradeoff between target coverage and possible harmful effects is inevitable, and lower coverage of the PTVimn can also be utilized during planning to further reduce the dose to heart and lungs. With ncVMAT, the hot spots V55 for PTVimn were improved, which might provide a potential advantage in protecting anatomically adjacent vessels and nerves from high-dose irradiation.31 Moreover, the conformity and homogeneity of PTVall were similar between ncVMAT and coVMAT plans.
Cardiac mortality associated with radiotherapy is a major concern in patients with left-sided breast cancer32,33, who are at higher risk of radiation-induced ischemic heart disease and cardiovascular disease compared to patients with right-sided breast cancer. The rate of major coronary events has been reported to increase by 7.4% with every 1-Gy increase in the dose to the heart.34 Therefore, it is crucial to reduce the dose delivered to heart to the greatest possible extent. In the present study, a reduction of 1.94 Gy in mean heart dose was achieved with ncVMAT; the heart V30, V20, V10, and V5 were significantly reduced as well. The Dmean of the heart with non-coplanar arcs was 9.22 ± 2.98 Gy, which was higher than data reported by Tyran et al.16 and Pham et al.35; our data suggested that the dose constraints for bilateral lungs and contralateral breast used in this study were much stricter than the aforementioned studies. Equally, coverage of nodal regions by the prescription dose was reduced in their studies, when compared to a 95% coverage of 50 Gy in this study. Further, ncVMAT was compared with coVMAT with similar optimization parameters without decreasing the coverage of nodal regions, while limiting the dose to lungs and contralateral breast strictly to reduce the risk of harmful effects. Obviously, the dose to the heart could be further reduced if reducing the dose constraints for lungs and contralateral breast while compromising the coverage of nodes. Some studies recommend that certain sensitive areas in heart, injury to which might cause functional damage, should be evaluated separately.36 Marks et al. reported that the probability of cardiac perfusion defects increased significantly with the increasing volume of irradiated left ventricle using single-photon emission CT.37 In a retrospective study of patients with breast cancer undergoing radiotherapy from the 1950s to 1990s, Taylor et al. found that the irradiation of anterior heart and LAD might have increased the risk of death from cardiac disease.38 Interestingly, improved sparing of V5, V10 delivered to the anterior heart, left ventricle, and LAD was possible with ncVMAT in the present study, as illustrated in Figures 2 and 3. With ncV-MAT, the maximum and mean doses of LAD were also lower comparing with coVMAT (p < 0.001). Although further evidence is necessary to demonstrate radiation-induced dysfunction in different parts of the heart, protection of these related areas still presents potential benefits.
Radiation pneumonitis is a well-known risk of thoracic tumor radiotherapy.39 For breast radiotherapy, moderate symptomatic radiation pneumonitis was not observed if the V20 of the ipsilateral lung was <30%, as reported by Lind et al.40 Furthermore, a high V13 indicated a worse recovery after chemotherapy for patients undergoing breast cancer radiotherapy.25 For the ipsilateral lung, Wen et al. recommended a V20 < 39.8% and a V30 < 25.7% for patients receiving local-regional irradiation.41 Thus far, the relationship between V5 in both the ipsilateral and the contralateral lung, and the risk of radiation pneumonitis for patients after breast cancer radiotherapy is unclear. But according to the experiences in thoracic irradiation treatment, in the present study V5 was strictly limited to as low as possible.42
In addition to pulmonary and cardiac toxicities induced by radiotherapy, a second primary breast cancer in the long term is another critical concern in young patients with breast cancer.43 Stovall et al. reported that the risk of a second primary breast cancer in patients younger than 40 years of age increased with treatment with more than 1 Gy in the contralateral breast.43 Boice et al. also illustrated that the risk of a second cancer was associated with age and that patients younger than 45 years of age had a higher risk of a second cancer after irradiation of the contralateral breast.44 Popescu et al.45 and Xu et al.20 demonstrated that VMAT had the ability to reduce irradiation of the contralateral breast compared to IMRT. In the present study, the dose delivered to contralateral breast can be reduced further with ncVMAT. Thus, ncVMAT might be preferred to reduce the risk of a second cancer in young patients.
In the present study, the doses delivered to other OARs were clinically acceptable. Clinicians always face a conflict between effective coverage of the target volume and sparing of the OARs. It remains possible to further reduce the dose delivered to specific OARs with ncVMAT by sacrificing either other OARs or coverage of the target volume, which requires further evaluation on a case-by-case basis. The treatment delivery time, including couch rotation, which was approximately 2.5 min longer with ncVMAT than with coVMAT, was still more efficient than HT (around 1000 s).20 The decline in treatment efficiency with ncVMAT is acceptable to an extent with improving plan quality. Deep inspiration breath-hold (DIBH) is another effective method in reducing dose delivery to the heart.35 The concept was not discussed here because free-breathing is still used in clinical practice, and DIBH was only suitable for patients capable of holding their breath to 70%–80% of the maximum inspiration capacity for a minimum 20–30 s.46 For patients incapable of DIBH, ncVMAT is an alternative technique, which better spares the heart and other OARs.
The present retrospective study comparing ncV-MAT with normal coVMAT for locoregional radiotherapy of left-sided breast cancer, including IMN revealed that the V55, conformity, and homogeneity for PTVall were improved with similar coverage by introducing of two additional non-coplanar arcs. Regarding the OARs, ncVMAT provided better dose sparing in the heart, bilateral lungs, LAD, and right breast, with no significant differences for most other OARs. In conclusion, ncVMAT is potentially beneficial in reducing the risk of toxicity in left-sided breast cancer.