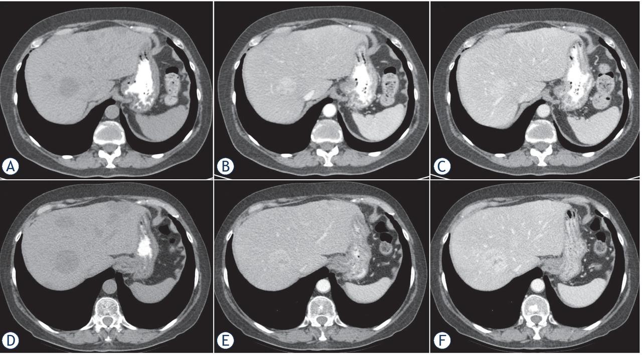
Figure 1

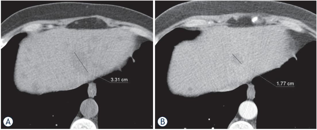
Figure 2

Figure 3

Measurements of target lesions by phase
| Unenhanced | Arterial | Portal | |
|---|---|---|---|
| Reader 1 | 27.6 ± 18.7 | 23.9 ± 18.9 | 24.2 ± 18.2 |
| Reader 2 | 27.4 ± 18.6 | 24.0 ± 18.7 | 24.1 ± 18.0 |
Distribution of scores of each phase for comparing metastatic lesions in two consecutive scans by both readers in 149 examinations
| Reader 1 | ||||||
|---|---|---|---|---|---|---|
| UNENHANCED | ||||||
| 1 | 2 | 3 | ||||
| 1 | 35 | 6 | 1 | |||
| 1 | ARTERIAL | 2 | 42 | 20 | 0 | |
| 3 | 2 | 0 | 0 | |||
| PORTAL | 1 | 3 | 0 | 1 | ||
| 2 | ARTERIAL | 2 | 23 | 0 | 0 | |
| 3 | 2 | 0 | 0 | |||
| 3 | ARTERIAL | 2 | 1 | 0 | 0 | |
| 3 | 13 | 0 | 0 |
Distribution of scores of each phase by both readers in 153 examinations
| Reader 1 | |||||||
|---|---|---|---|---|---|---|---|
| UNENHANCED | |||||||
| 1 | 2 | 3 | 4 | ||||
| 1 | 32 | 2 | 2 | 0 | |||
| 1 | ARTERIAL | 2 | 16 | 20 | 10 | 1 | |
| 3 | 9 | 10 | 0 | 0 | |||
| 4 | 4 | 0 | 0 | 0 | |||
| 1 | 1 | 0 | 2 | 0 | |||
| PORTAL | 2 | ARTERIAL | 2 | 6 | 0 | 0 | 0 |
| 3 | 15 | 0 | 0 | 1 | |||
| 0 | 0 | 0 | |||||
| 1 | 0 | 1 | 0 | 0 | |||
| 3 | ARTERIAL | 2 | 4 | 0 | 0 | 0 | |
| 3 | 4 | 0 | 0 | 0 | |||
| 4 | 0 | 0 | 0 | 0 | |||
| 2 | 1 | 0 | 0 | 0 | |||
| 4 | ARTERIAL | 4 | 9 | 0 | 0 | 0 |