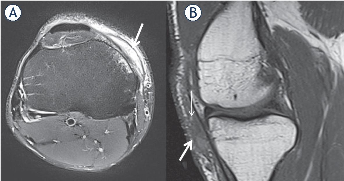
Figure 1

Figure 2

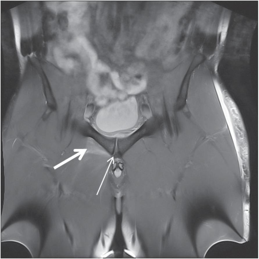
Figure 3

Figure 4

Figure 5

MRI classification of Morel-Lavallee lesions according to Mellado-Bencardino12
| Lesion type | T1W | T2W | Morphology | Other |
|---|---|---|---|---|
| Type 1 - Seroma | Homogenously hypointense seroma | Hyperintense collection | Laminar | No evidence of outer capsule formation |
| Type 2 – Subacute hematoma | Homogenously hyperintense | Homogenously hyperintense | Oval | Presence Thin capsule of methaemoglobin formation |
| Type 3 – Chronic organizing hematoma | Hypointense | Heterogeneous hypointense/ isointense | Oval | Thick capsule formation Capsular and internal enhacement on postcontrast sequences |
| Type 4-Closed laceration | Hypointense | Hyperintense | Linear | No capsule formation |
| Type pseudonodular 5-Small, rounded appearance | Variable | Variable | Round | Variable capsule formation |
| Type 6-Superimposed infection | Variable | Variable | Variable sinus tract | Thick enhancing capsule |