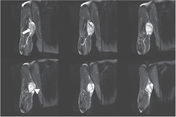
Figure 1

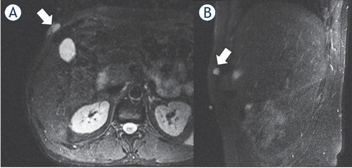
Figure 2

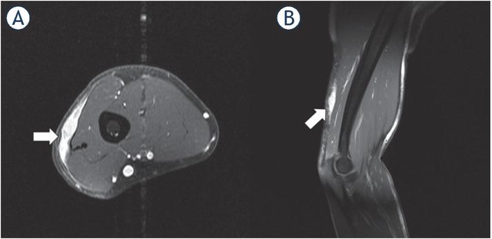
Figure 3

Figure 4

Figure 5

Figure 6

Overview of configuration of high-grade (G3), intermediate-grade (G2) and low-grade (G1) soft-tissue sarcomas (STS)_ Additional information on tumor infiltration (infiltrative or well-defined), contrast enhancement (homogeneous or heterogeneous), and volume in “cm3” is shown
| Configuration of STS | G3 (number, contrast enhancement, infiltration) | Volume G3 (cm3) | G2 (number, contrast enhancement, infiltration) | Volume G2 (cm3) | G1 (number, contrast enhancement, infiltration) | Volume G1 (cm3) |
| Polycyclic/ multilobulated | 20* 19 heterogeneous 17 infiltrative | Median: 765.9**** (Min. 15.6, Max. 4572.5, SD: 1176.5) | 13** 11 heterogeneous 7 well-defined | Median: 114.8 (Min. 6, Max. 334, SD: 94.6) | 3 all homogeneous all well-defined | Median: 198.1 (Min. 15.8, Max. 447.2, SD: 223.3) |
| Fascicular | 1 | - | 2 | - | ||
| Ovoid/nodular | 4 all homogeneous 3 well-defined | Median: 9 (Min. 3.3, Max. 20.3, SD: 9.8) | 5 all homogeneous all well-defined | Median: 26.5 (Min. 2.6, Max. 41.4, SD: 17.7) | 8*** all homogeneous all well-defined | Median: 11.2 (Min. 1.6, Max. 25.4, SD: 7.7) |
| Streaky | 4 all homogeneous all infiltrative | Median: 49.4 (Min. 5.6, Max. 130.9, SD: 70.7) | 2 all homogeneous all infiltrative | Median 7.9 (Min. 7.1, Max. 8.6, SD: 1.1) | 5*** all homogeneous 4 well-defined | Median: 4.4 (Min. 2.6, Max. 6.5, SD: 1.4) |
| Fusiform | 1 | - | 2 | 1 | - | |
| Total | 30 | 22 | 19 |