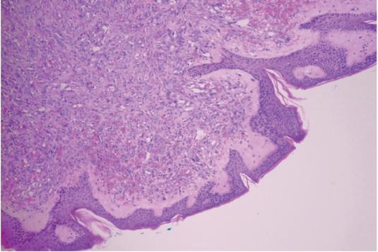
Figure 1

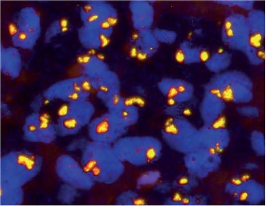
Figure 2

Figure 3

Figure 4

Case reports with radiotherapy-associated angiosarcoma (RAA) after autologous breast reconstruction
| First author | Year published | Case # | Years after RT | Type of cancer surgery | Type of breast reconstruction |
|---|---|---|---|---|---|
| Hanasono et al.4 | 2005 | 1 | 6 | mastectomy | DIEP flap |
| Aljarrah et al.5 | 2014 | 2 | 6 | mastectomy | TRAM flap |
| Yip et al.6 | 2019 | 3 | 5 | mastectomy and axillary lymph node dissection | LD flap |
| Yip et al.6 | 2019 | 4 | 10 | mastectomy and axillary lymph node dissection | DIEP flap |