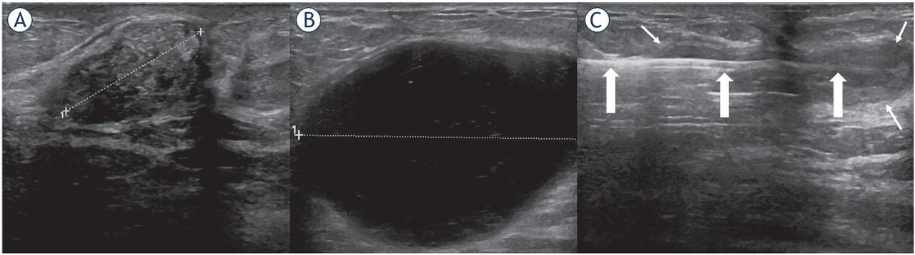
Figure 1

Figure 2

Hematoma characteristics pre- and post-vacuum assisted evacuation (VAE)
| Patient | Size pre-VAE (in cm) | Estimated decrease in size post-VAE (percentage) | Symptoms |
|---|---|---|---|
| 1 | 6 x 4 | > 50% | Resolution |
| 2 | 8 x 4 | > 50% | Resolution |
| 3 | 6 x 3 | 100% | Resolution |
| 4 | 6 x 5 | 100% | Resolution |
| 5 | 5.5 x 3 | 100% | Resolution |
| 6 | 7 x 6.5 | 80% | Resolution |
| 7 | 12 x 2.5 | 70% | Resolution |
| 8 | 5.5 x 3.5 | 90% | Resolution |
| 9 | 5.5 x 4 | 100% | Resolution |
| 10 | 20 x 5 | 80% | Resolution |
| 11 | 5.5 x 5 | 100% | Resolution |
Characteristics of patients with hematoma
| Patient | Age (yrs) | Wait time Wait time = number of days between surgical intervention/biopsy and VAE of hematoma; | Intervention | Medications | Size (cm) |
|---|---|---|---|---|---|
| 1 | 42 | 14 | BLES | Anti-Coagulant | 6 x 4 |
| 2 | 67 | 1 | VABB | None | 8 x 4 |
| 3 | 38 | 36 | Surgery | None | 6 x 3 |
| 4 | 48 | 78 | Surgery | None | 6 x 5 |
| 5 | 49 | 21 | Surgery | None | 5.5 x 3 |
| 6 | 51 | 34 | Surgery | Anti-hydrocortisone Platelet and | 7 x 6.5 |
| 7 | 84 | 15 | Surgery | Anti-Platelet | 12 x 2.5 |
| 8 | 71 | 597 | Surgery | None | 5.5 x 3.5 |
| 9 | 85 | 51 | VABE | Anti-Coagulant | 5.5 x 4 |
| 10 | 60 | 29 | Surgery | None | 20 x 5 |
| 11 | 53 | 22 | Surgery | None | 5.5 x 5 |