Lung transplant is a life-saving last resort treatment for patients with end stage lung disease. The most common indications are chronic obstructive pulmonary disease (COPD) and idiopathic pulmonary fibrosis (IPF).1 This risk for lung cancer thus arises mainly from the native lung.1 There is a higher incidence of lung cancer in lung transplant recipients compared with the general population.2, 3, 4, 5, 6 This finding might be related to smoking, immunosuppression and/or underlying lung disease.4, 5 Due to the improved life expectancy of transplanted patients and these predisposing factors, the incidence of lung cancer in lung transplant recipients is expected to increase.1 These cancers are often diagnosed in a more advanced stage and with a worse prognosis.3, 4 For patients diagnosed with a potentially curable disease, curative treatment options include surgery and radiotherapy. We hereby present our experience with SBRT for the definitive treatment of four patients who underwent single lung transplantation and were diagnosed with lung cancer in the native lung.
The study includes all consecutive patients located in the registry of the Institute of Pulmonary Medicine who underwent lung transplantation and were treated with SBRT for lung cancer in the native lung at the Davidoff Cancer Center (DCC) at Rabin Medical Center (RMC) between June 2011 and June 2015.
This retrospective study was approved by the medical center’s institutional Helsinki review board. No informed consent was required. Data were collected from medical records and included demographics, medical comorbidities, location and extent of disease, imaging findings, radiation treatment details, imaging and clinical follow-up, performance status, response to treatment, survival, and cause of death.
Patients were immobilized for simulation using a customized vacuum cushion for CT simulation. Patients were simulated using a multiphase 4-dimentional CT simulation to monitor breathing-related tumor motion. Images were reconstructed on the Advantage Workstation (GE Healthcare, Chicago, IL). An expansion in the cranio-caudal and axial dimensions for the internal target volumes (ITVs) was created based on tumor motion and location in 10 phases of breathing . The planning treatment volume (PTV) was defined as a 3-mm margin around the ITV. The PTV was reduced in case of proximity to vital normal tissue. Patients were treated with IMRT using dynamic sliding window multileaf collimator (MLC) or volumetric modulated arc therapy VMAT). Image guidance with cone beam CT preceded each fraction. Specification of the dose-volume histogram (DVH) constraints is available in Table 1. Dose calculations were performed using the Eclipse™ treatment planning system (Varian, Palo Alto, CA), AAA algorithm version 8. Treatment was prescribed to the 95% isodose line with PTV tolerance of ± 5%. Quality assurance verification plans were performed with the ArcCHECK™ dosimeter (Sun Nuclear Corporation, Melbourne, FL). Before each treatment, image guided radiotherapy was used based on cone beam CT (CBCT) to position the patients.
Dose-volume histogram constraints for organs at risk
| Organ | Constraints |
|---|---|
| Total Lung Dose (both lungs) | V20 < 10% |
| Spinal Cord | Max dose < 18 Gy |
| Esophagus | Dose to 1cc < 27 Gy |
| Heart | Dose to 1cc < 30 Gy |
Gy = Gray; V20 = proportion of the lung receiving 20Gy
T he treated tumors were assessed by CT or PET-CT eight weeks from completion of SBRT. Further imaging studies were scheduled at the treating physician’s discretion.
Four consecutive cases of lung transplant recipients who underwent SBRT for a lung lesion are included. All cases were discussed in a multidisciplinary team including pulmonologists, thoracic surgeons, radiation oncologists, medical oncologists and radiologists before being referred for radiotherapy. All patients were asymptomatic at diagnosis. Radiotherapy treatment parameters are summarized in Table 2.
SBRT treatment parameters
| Case 1 | Case 1 | Case 2 | Case 3 | Case 4 | |
|---|---|---|---|---|---|
| 1st course | 2nd course | ||||
| Prescribed dose (Gy), number of fractions | 54 Gy, 3 | 54 Gy, 3 | 60 Gy, 5 | 54 Gy, 3 | 60 Gy, 5 |
| MLD – both lungs (Gy) | 3.3 | 3.6 | 4.4 | 2.5 | 6 |
| V5 – both lungs, (%) | 15.6 | 21.5 | 18.9 | 10.2 | 27.1 |
| V20 – both lungs, (%) | 4.9 | 3.2 | 5.7 | 2.9 | 8 |
| MLD – transplanted lung (Gy) | 4.5 | 0.8 | 2.2 | 0.6 | 1.8 |
| V5 – transplanted lung, (%) | 20.4 | 1.4 | 9.6 | 0.1 | 6.1 |
| V20 – transplanted lung, (%) | 7 | 0 | 2.3 | 0 | 0 |
Gy = Gray; MLD = mean lung dose, V5 = the % of a structure’s volume that receives 5 Gy; V20 = the % of a structure’s volume that receives 20 Gy
A 72-year-old man with a history of heavy smoking, COPD, hypertension, diabetes mellitus type 2, chronic renal failure, peripheral vascular disease and fatty liver disease. The patient underwent left lung transplant in 2006 due to severe emphysema, and was treated with tacrolimus and azathioprine to prevent rejection. In November 2011, an 8 mm nodule was detected in the right lower lobe. The lesion increased in size to 26 mm in May 2015. A biopsy yielded moderately differentiated squamous cell carcinoma. A positron emission tomography– computed tomography (PET-CT) demonstrated high fluorodeoxyglucose (FDG) uptake in the nodule with no evidence of disease outside the lung. The patient was treated in June 2015 with a dose of 54 Gray (Gy) in three 18 Gy fractions. Treatment was well tolerated with no adverse events or measurable toxicity. Follow-up imaging demonstrated a complete response (CR). In February 2017, a new nodule appeared in the right lower lobe that in-creased in size on follow-up imaging. A PET-CT in April 2017 demonstrated high FDG uptake in the nodule with no evidence of disease outside the lung. The patient was treated in July 2017 to a dose of 54 Gy in three 18 Gy fractions. The post SBRT PET-CT demonstrated shrinkage of the treated nodule, however, clear metastases in the liver and bone. A liver biopsy yielded adenocarcinoma of lung origin. The patient succumbed to metastatic disease in January 2018.
A 76-year-old woman with a history of heavy smoking, COPD, diabetes mellitus type 2, chronic renal failure and atrial fibrillation. The patient underwent left lung transplant in 2002 due to severe emphysema, and was treated with tacrolimus and mycophenolic acid to prevent rejection. In June 2010, a central 0.5 mm nodule was detected in the right lower lobe. The lesion increased in size up to 13 mm in October 2011, and demonstrated high FDG uptake with no evidence of disease outside the lung. The patient was discussed in a multidisciplinary tumor board and it was decided to treat the lesion with SBRT without histological confirmation. The patient was treated in February 2012 to a dose of 60 Gy in five 12 Gy fractions. Treatment was well tolerated with no adverse events or measurable toxicity. Follow-up imaging demonstrated a complete response (Figure 1). The patient passed away in May 2018 secondary to pneumonia and sepsis.
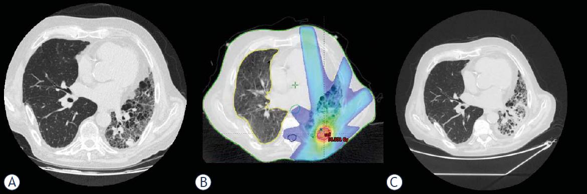
A 72-year-old man with a history of hypertension, diabetes mellitus type 2, chronic renal failure and ischemic heart disease. Underwent right lung transplant in 2002 due to IPF, and was treated with tacrolimus and mycophenolic acid to prevent rejection. In 2013 a nodule was detected in the left lower lobe and increased in size to 15 mm in October 2013. There was no FDG uptake in the nodule. The patient was discussed in a multidisciplinary tumor board and it was decided to treat the lesion with SBRT without histological confirmation. The patient was treated in February 2012 to a dose of 54 Gy in three 18 Gy fractions. Treatment was well tolerated with no adverse events or measurable toxicity. The post SBRT, CT scans yielded a disappearance of the treated nodule (Figure 2). The patient passed away in October 2015 secondary to bacteremia and sepsis.

(A) Pretreatment CT demonstrating a central nodule in the right lower lobe (B) Radiation field arrangement and dose color wash for SBRT (C) CT 2 months after treatment completion demonstrating a complete disappearance of the target nodule.

(A) Pretreatment CT demonstrating a nodule was detected in the left lower lobe (B) Radiation field arrangement and dose color wash for SBRT (C) CT 2 months after treatment completion demonstrating a complete disappearance of the target nodule.
A 65-year-old man with a history of hypertension and diabetes mellitus type 2. Underwent left lung transplant in 2009 due to severe IPF, and was treated with tacrolimus and mycophenolic acid to prevent rejection. In 2011, a mass was detected in the anterior right mediastinum with involvement of the pleura and right upper lobe. A PET-CT demonstrated high FDG uptake in the mass that increased in size to 3.8 cm with no evidence of disease outside the lung. A biopsy yielded moderately differentiated small cell lung cancer (SCLC). The patient was discussed in a multidisciplinary tumor board, and determined to be a poor surgical candidate, was referred for SBRT and then planned for “adjuvant” chemotherapy. The patient was treated in June 2011 to a dose of 60 Gy in five 12 Gy fractions. Treatment was well tolerated with no adverse events or measurable toxicity. The post SBRT, CT scans yielded a partial response (PR) of the treated nodule (Figure 3), however, appearance of metastases in the liver and nodes above and below the diaphragm. The patient succumbed to a rapid progression of metastatic disease in August 2011.

(A) Pretreatment CT demonstrating a mass in the anterior right mediastinum with involvement of the pleura and right upper lobe (B) Radiation field arrangement and dose color wash for SBRT (C) CT 2 months after treatment completion demonstrating regression of the target nodule.
Lung cancer in lung transplant recipients is a unique clinical scenario, in which patients suffer from at least two major life-threatening conditions. Treatment options for these patients may be limited due to the underlying condition, other comorbidities and their immunosuppressed state. Treating these patients requires a multi-disciplinary effort. Characterizing this group of patients is beyond the scope of this report.
We present a series of 4 consecutive patients who were treated with SBRT to a total of 5 lesions in the native lungs. One patient had proven squamous cell carcinoma and then adenocarcinoma, one had small cell carcinoma, and two were treated without histological confirmation of malignancy.
Surgery remains the standard-of-care treatment for medically-operable early stage non-small cell lung cancer. Radiotherapy for the definitive treatment of early lung cancer was traditionally indicated for the medically-inoperable or those refusing surgery.7 Lung resection is challenging in patients with a major pulmonary disease, and especially when these patients have undergone lung transplantation and are immunosuppressed. Specific concerns include Impaired wound healing and anastomotic complications.8 Data on the safety of these procedures is scarce. In one series that included both malignant and benign/infectious causes for pulmonary resection of the native or allograft, of the 11 patients included, 3 patients died of post-procedural infectious complications, 2 died of acute respiratory distress syndrome and organ failure and 1 died as a result of bronchiolitis obliterans organizing pneumonia.8
Radiotherapy is an integral modality in the treatment of early lung cancer. SBRT has been studied extensively in medically inoperable patients, and may in fact achieve better control than standard radiotherapy.7, 9, 10 SBRT has also been proven effective for medically operable patients, even compared with surgery.11, 12 While it is unknown whether radiotherapy and SBRT specifically can be safely and effectively used in lung transplant recipients, toxicity in clinical trials has been low with no treatment-related mortality.7, 9, 10 Data on the interaction between immunosuppression and advanced oncologic treatments is scarce. This applies to systemic therapy such as tyrosine kinase inhibitors, but even more concerning - with immunotherapeutic agents facing a risk for organ rejection.13 The immune system’s role in mediating response to radiotherapy is being studied, however the exact implications of immunosuppression during radiotherapy are poorly understood.14 In this series, all lesions achieved excellent response by imaging – 3 lesions exhibited a complete response and two lesions partial responses. The patients who had partial responses developed distant metastases and died shortly, thus; the maximal response may not have been achieved during the short follow-up. None of the lesions who exhibited a complete response recurred locally. Based on this small series, even in immunosuppressed patients, SBRT to lung lesions is effective at achieving local control.
There have been several reports of SBRT in the treatment of patients with lung cancer who had previously undergone solid organ transplant. In a series of 15 patients (9 of which underwent lung transplant), no patients experienced grade 3 or 4 toxicity, however, one patient with a history of single lung transplant died of radiation pneumonitis 7 months after SBRT to a lesion within the transplanted lung. The cumulative incidence of local failure was 7% and 13% at 1 and 2 year and the incidence of distant failure was 40% at 1 year.15 In another series, two patients were treated with SBRT-range dosing sequentially with chemotherapy. One achieved a durable complete response, while another progressed shortly.4 One case ineligible for surgical management of stage IB adenocarcinoma arising from a donor lung post-double lung transplantation, was safely and effectively treated to a dose of 60 Gy in 8 fractions.16
The doses and organs at risk constraints we have used did not differ from our institutional policy towards non-transplanted patients and seemed to be effective and safe. However, whether an optimal dose and fractionation exists or whether tighter constraints are required, has not been determined and no clear recommendation can be made.
While there were no cases of grade 2 or higher pneumonitis in our patients, organ transplanted patients, and specifically lung transplanted patients could prove a diagnostic challenge for this type of toxicity, as the differential diagnosis for clinical deterioration is broad and might not be distinguishable by imaging.
The main limitations of this study relate to its retrospective design and lack of a control arm, which are generally associated with methodological biases and difficulties in results interpretation. The most concerning bias in our study is clearly associated with patient selection, as patients who have undergone transplantation usually have other comorbidities and their cancers may have a more aggressive course.
It is clear that SBRT is a safe and efficient modality for the treatment of recipients of lung transplant and could offer long-term control and potentially a definitive solution. There are no randomized comparative reports comparing it with invasive procedures. Physicians must consider the potential early and late toxicities of thoracic radiation, including pneumonitis, esophagitis and vascular toxicity. These may be avoided by minimizing volumes and strictly maintaining dose constraints. SBRT could serve to achieve these objectives.
SBRT for the management of lung cancer in the native lung in lung-transplanted patients is effective and safe and can offer long-term control. Standard dose and fractionation can be used. It should be considered in clinical situations where surgical procedures are not feasible. These results should encourage clinicians to investigate its role further, potentially in place of invasive procedures.