Figure 1

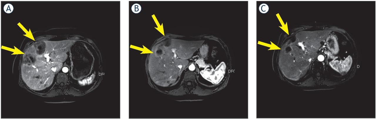
Figure 2

Inclusion and exclusion criteria
| Inclusion criteria | Exclusion criteria |
|---|---|
| Histologically confirmed diagnosis of breast cancer | Bilirubin level > 1.5x upper limit normal |
| Radiological evidence of liver metastases | Transaminase (AST/ALT) > 2.5x upper limit normal |
| Liver only or liver predominant with stable extra-hepatic disease | Creatinine > 1.2x upper limit normal |
| Progressive under (multi-line) systemic chemo or hormonal therapy | Glomerular filtration rate < 60 mL/min/1.73 m2 |
| Eligible for intra-arterial therapy | Neutrophils < 1000/μL |
| Age > 18 years | Thrombocytes < 100x109/L |
| Karnofsky performance > 70 | Lung shunt fraction > 20% |
| Allergy to contrast media | |
| Active use of oral anticoagulation |
Number of grade 1 (G1), grade 2 (G2) and grade 3 (G3) adverse events after treatment of selective internal radiation therapy by 90Y labeled microspheres infusion (90Y SIRT) and mitomycin C (MMC) infusion within 30 days_ No grade 3 adverse events occurred after MMC infusion
| Treatment | 90Y SIRT | MMC | MMC | MMC | MMC | ||||||
|---|---|---|---|---|---|---|---|---|---|---|---|
| Adverse events | G1 | G2 | G3 | G1 | G2 | G1 | G2 | G1 | G2 | G1 | G2 |
| Clinical | |||||||||||
| Fatigue | 2/16 | - | - | - | - | - | - | 3/3 | - | 2/6 | - |
| Pain | 5/16 | 2/16 | - | - | - | - | - | - | - | 1/6 | - |
| Nausea | 3/16 | 2/16 | - | - | - | - | - | - | - | 1/6 | - |
| Emesis | 2/16 | 2/16 | - | - | - | - | - | - | - | 1/6 | - |
| Gastrointestinal ulcer | - | 4/16 | 1/16 | - | - | - | - | - | - | - | - |
| Biochemical | |||||||||||
| Leukopenia | 2/16 | - | - | - | - | - | - | 2/3 | - | 4/6 | 2/6 |
| Thrombocytopenia | 3/16 | 1/16 | - | 1/2 | - | 1/1 | - | 3/3 | - | 4/6 | 2/6 |
| Anaemia | - | - | - | - | - | - | - | - | - | 4/6 | - |
| Increased aspartate aminotransferase | 5/16 | 1/16 | - | - | - | - | - | - | - | 2/6 | - |
| Increased alanine aminotransferase | 3/16 | 1/16 | - | - | - | - | - | - | - | 1/6 | - |
| Increased bilirubin | - | - | - | - | - | - | - | 1/3 | 1/3 | - | - |
| Increased alkaline phosphatase | 2/16 | 1/16 | - | - | - | - | - | 1/3 | - | 2/6 | - |
| Decreased eGFR | - | 1/16 | - | - | - | - | - | - | - | - | - |
| Increased gamma-glutamyl transferase | 4/16 | 1/16 | - | - | - | - | - | 1/3 | - | 4/6 | - |
Patient characteristics
| Patient Characteristics | N = 16 |
|---|---|
| Median months from diagnosis metastatic disease until start of study | 28 (8–91) |
| Median age at start study in years (range) | 59 (26–77) |
| Diagnosis of liver metastasis | |
| Synchronous | 2 (12.5%) |
| Metachronous | 14 (87.5%) |
| Hormone status of liver metastasis (n = 15) | |
| Estrogen receptor (positive) | 8 (53%) |
| Progesterone receptor (positive) | 8 (53%) |
| HER2Neu receptor (negative) | 15 (100%) |
| Triple negative receptor status | 6 (40%) |
| Tumor burden liver | |
| < 25% | 9 (56%) |
| 25%–50% | 6 (38%) |
| 50%–75% | 1 (6%) |
| Prior hepatic treatment | |
| Surgery/Ablation | 1 (6.3%) |
| Median number of chemotherapy regimens for stage 4 disease | 3 (0–8) |
| Extra-hepatic sites of metastases | |
| Yes | 9 (56%) |
| No | 7 (44%) |
| Number of additional metastatic sites | |
| 1 | 5 (31%) |
| 2 | 2 (13%) |
| ≥ 3 | 2 (13%) |
| Location of extrahepatic metastases | |
| Bone | 5 (31%) |
| Lung | 3 (19%) |
| Non-locoregional nodes | 4 (25%) |
| Brain | 2 (13%) |