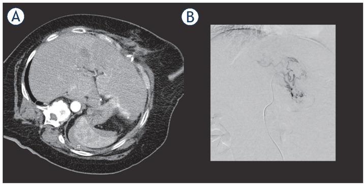
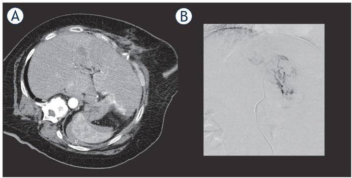
Figure 1

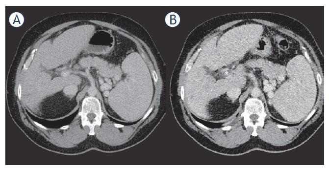
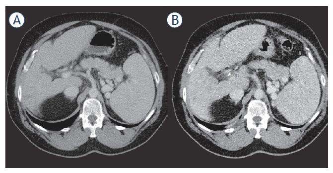
Figure 2

Clavien & Dindo classification system with the corresponding number of events in the thermal and non-thermal irreversible electroporation (IRE) groups
| Clavien-Dindo Classification | SIR Classification 2017 | RFA/MWA (n = 117) | IRE (n = 47) | |
|---|---|---|---|---|
| Grade | Description | |||
| 0 | No complication | No complication | 82 (70.1%) | 30 (63.8%) |
| Any deviation from the normal postinterventional course without the need for pharmacological treatment or surgical, endoscopic and radiological interventions | ||||
| I | (Allowed therapeutic regimens are: drugs as antiemetics, antipyretics, analgesics, | Mild | 11 (9.4%) | 9 (19.1%) |
| diuretics, and electrolytes, and physiotherapy. This grade also includes wound infections opened at the bedside) | ||||
| II | Requiring pharmacological treatment with drugs other than such allowed for grade I complications. Blood transfusions and total parenteral nutrition are also included. | Moderate | 20 (17.1%) | 7 (14.9%) |
| III | requiring surgical, endoscopic or radiological intervention | |||
| IIIa | intervention not under general anesthesia | Moderate | 1 (0.9%) | 0 |
| IIIb | intervention under general anesthesia | Severe | 1 (0.9%) | 1 (2.1%) |
| IV | Life-threatening complication (including CNS complications) requiring IC/ICU-management | |||
| IVa | single organ dysfunction (including dialysis) | Severe/Life- threatening | 0 | 0 |
| IVb | multi organ dysfunction | Life-threatening | 1 (0.9%) | 0 |
| V | Death of a patient | Patient death | 1 (0.9%) | 0 |
Patient and tumor characteristics of the RFA/MWA and IRE group
| RFA/MWA (n = 117) | IRE (n = 47) | p-value | |
|---|---|---|---|
| Male, n (%) | 98 (83.8) | 46 (97.9) | 0.013 |
| Age | |||
| median (IQR) | 66 (14) | 71 (15) | 0.239 |
| range | 45 - 82 | 45 - 83 | |
| Child-Pugh-Score, n (%) | 0.892 | ||
| A | 76 (65.0) | 30 (63.8) | |
| B | 41 (35.0) | 17 (36.2) | |
| BCLC, n (%) | 0.412 | ||
| A | 68 (58.1) | 24 (51.1) | |
| B | 49 (41.9) | 23 (48.9) | |
| Tumor size, mm (mean +- SD) | 22 +- 9 | 20 +- 8 | 0.186 |
| Liver periphery, n (%) | 85 (72.6) | 25 (53.2) | 0.017 |
| Close to a major vessel, n (%) | 19 (16.2) | 21 (44.7) | ≤ 0.001 |
Intervention durations, hospital and intensive care unit (ICU) stay, occurrence of post-ablation syndrome for thermal ablation and non-thermal irreversible electroporation (IRE)
| All (164) | RFA/(n = MWA 117) | IRE (n = 47) | p-vale | |
|---|---|---|---|---|
| Intervention (IQR) duration, minutes | 113 (96) | 103 (103) | 142 (88) | 0.031 |
| Hospital Stay, days | ||||
| days, median (IQR) | 5 (4) | 5 (4) | 5 (4) | 0.752 |
| days, range | 2-50 | 2-50 | 2-20 | |
| ICU Stay, n (%) | 17 (10) | 14 (12) | 3 (6) | 0.302 |
| days, median (IQR) | 4 (5) | 4 (4) | 6 (-) | 0.222 |
| days, range | 1-9 | 1-9 | 3-9 | |
| Post-ablation Syndrome, n (%) | 28 (17) | 21 (18) | 7 (15) | 0.607 |