Have a personal or library account? Click to login
Hepatic splenosis mimicking liver metastases in a patient with history of childhood immature teratoma Cover

Hepatic splenosis mimicking liver metastases in a patient with history of childhood immature teratoma

Open Access
|Apr 2016

Figures & Tables

CT; portal phase of contrast enhancement - subtle hypodense lesions in 6th liver segment.
CT; portal phase of contrast enhancement - subtle hypodense lesions in 6th liver segment.
MRI; (A)hypointense hepatic lesion in T1 weighted image (WI); (B)T2 fast spin echo (FSE) WI: slightly high signal intensity of hepatic lesion.
MRI; (A)hypointense hepatic lesion in T1 weighted image (WI); (B)T2 fast spin echo (FSE) WI: slightly high signal intensity of hepatic lesion.
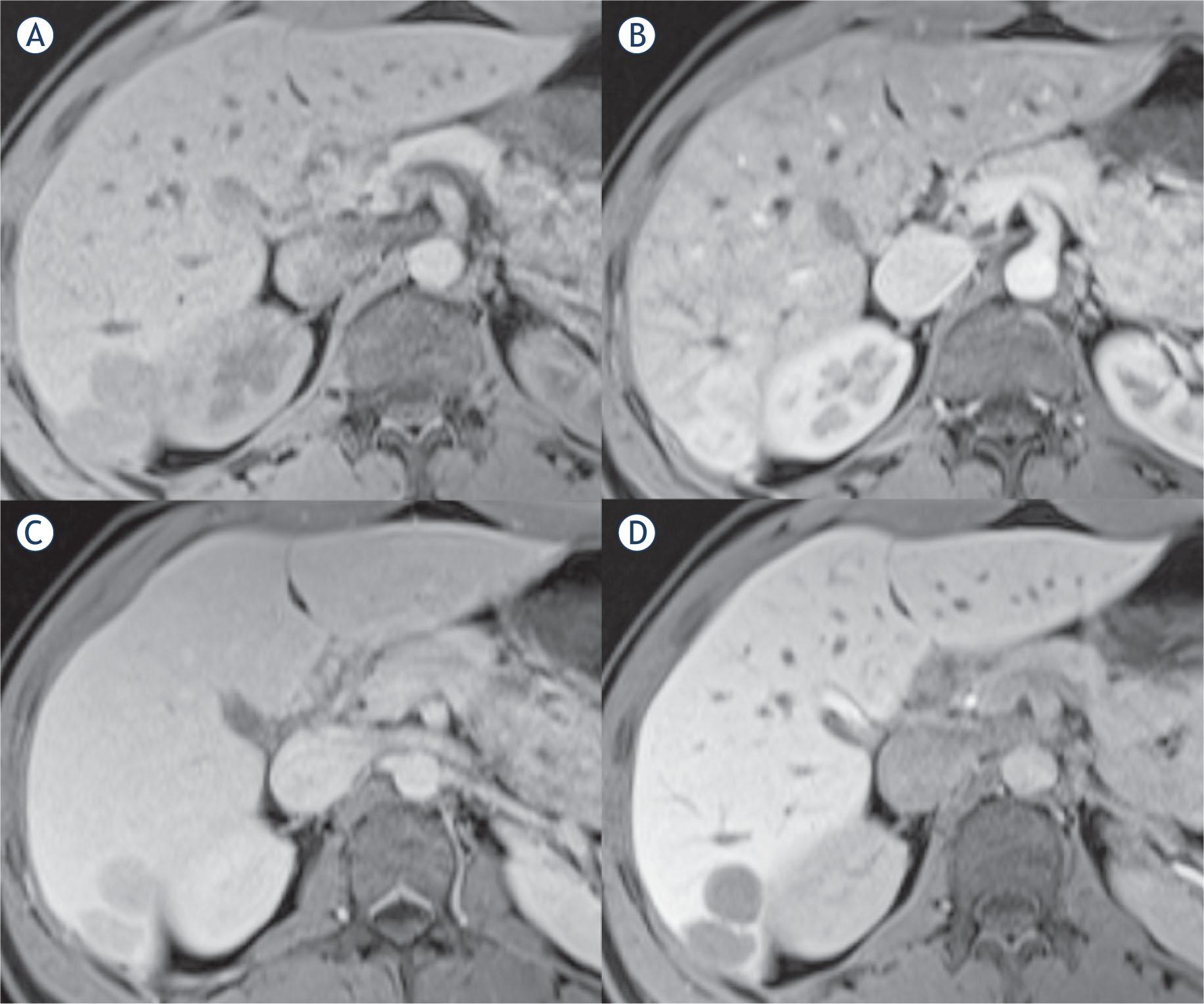
MRI; hepatic lesions in T1 volume interpolated breathhold examination (VIBE) fat saturated (FS); (A) pre-contrast; (B)arterial phase; (C) portal phase; (D) delayed phase (20 minutes) of enhancement.
MRI; hepatic lesions in T1 volume interpolated breathhold examination (VIBE) fat saturated (FS); (A) pre-contrast; (B)arterial phase; (C) portal phase; (D) delayed phase (20 minutes) of enhancement.
Perihepatic lesion in pre-contrast T1 volume interpolated breathhold examination (VIBE) fat saturated (FS).
Perihepatic lesion in pre-contrast T1 volume interpolated breathhold examination (VIBE) fat saturated (FS).
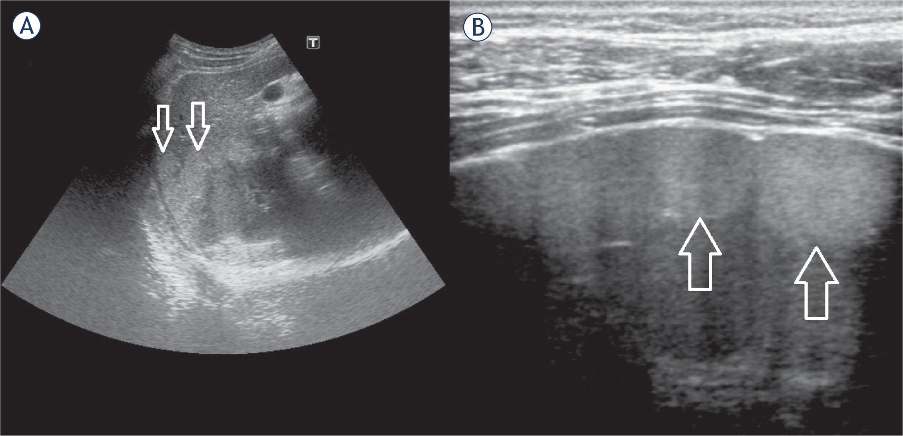
US; mildly hyperechoic subcapsular hepatic lesions; (A)abdominal probe; (B)high frequency linear probe.
US; mildly hyperechoic subcapsular hepatic lesions; (A)abdominal probe; (B)high frequency linear probe.
DOI: https://doi.org/10.2478/raon-2014-0040 | Journal eISSN: 1581-3207 | Journal ISSN: 1318-2099
Language: English
Page range: 212 - 217
Submitted on: Jul 20, 2014
|
Accepted on: Aug 28, 2014
|
Published on: Apr 23, 2016
In partnership with: Paradigm Publishing Services
Publication frequency: 4 issues per year

© 2016 Sara Jereb, Blaz Trotovsek, Breda Skrbinc, published by Association of Radiology and Oncology
This work is licensed under the Creative Commons Attribution-NonCommercial-NoDerivatives 3.0 License.