Lung adenocarcinoma represents the most frequent histopathological variant of bronchopulmonary neoplasm, with an incidence of 45.6% in men and 59.7% in women in 2022 (1). The latest World Health Organization (WHO) classification from 2021 divides invasive adenocarcinoma into two categories: invasive non-mucinous adenocarcinoma (the most common subtype, accounting for approximately 90% of cases) and invasive mucinous adenocarcinoma (much rarer, found in 3%-10% of cases, but often with a poor prognosis) (2).

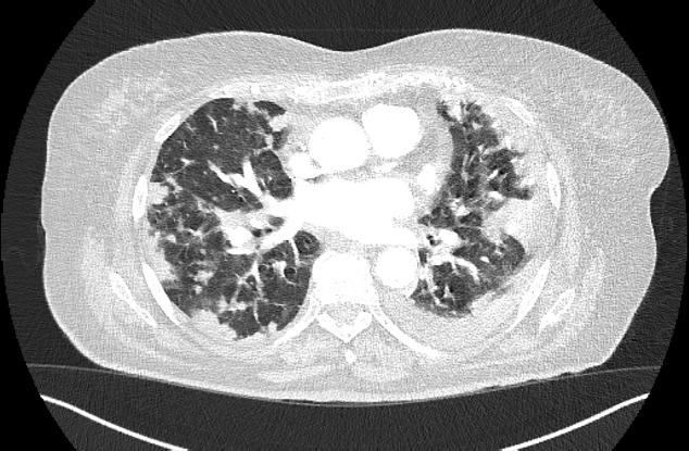
Initial thoracic CT scan (lung window). Multiple bilateral opacities and left pleural effusion.
The imaging appearance of the invasive mucinous subtype is often difficult to differentiate from infectious pathology (pneumonia/bronchopneumonia), frequently presenting as pneumonic-type consolidations, which delays diagnosis and targeted therapy (3).
A 78-year-old female, non-smoker, with no occupational or habitual exposure to respiratory toxins, presented to the emergency department with acute respiratory failure, reporting dry cough, exertional dyspnoea at minimal effort and anorexia – symptoms which had begun about 1 week prior. The patient received antibiotic therapy per the general practitioner’s recommendation (a second-generation cephalosporin for 7 days), but the symptoms persisted. Chest computed tomography (CT) revealed multiple nodular and micronodular hyperdensities diffusely distributed in both lung fields, some with a tendency to confluence, as well as left pleural effusion – an aspect suggestive of bronchopneumonia (Figure 1). Laboratory tests revealed leukocytosis, neutrophilia, a significant inflammatory syndrome, and mild normocytic normochromic anaemia.

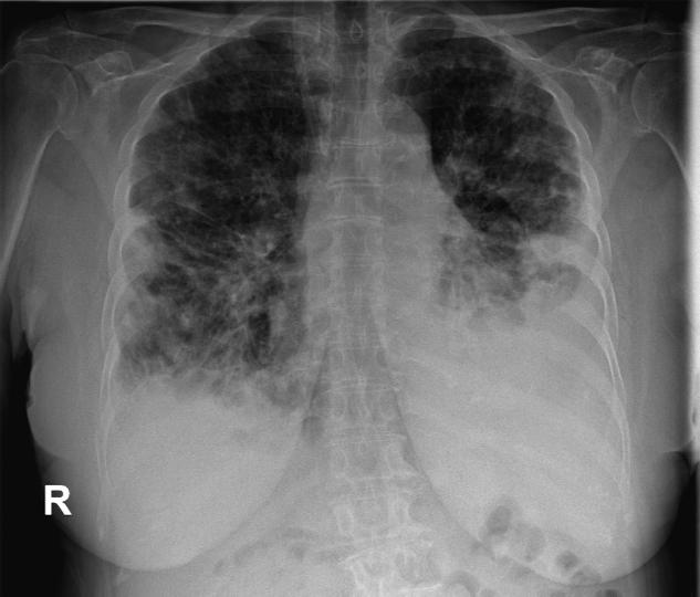
Chest X-ray at first discharge. Slow resolution of opacities with residual left pleural effusion.
While admitted to the Pneumology Department, repeated diagnostic and therapeutic thoracenteses were performed, with subsequent bacteriological, fungal, biochemical, cytological and bacillary analysis of the pleural fluid. As the initial results were non-specific, the hypothesis of infectious pathology was maintained. Cytological examination showed a reactive inflammatory effusion; bacteriological and fungal cultures were negative, as was mycobacteriological testing. The patient received intravenous therapy with double antibiotics (third-generation cephalosporin and third-generation fluoroquinolone), antifungal (fluconazole), probiotics, vitamins and supplemental oxygen. Initial progression was slowly favourable, with moderate clinical improvement, but latent respiratory insufficiency persisted, as demonstrated by the 6-min walk test (6MWT), and radiologic changes resolved slowly (Figure 2).
Bronchoscopy with bronchial aspirate and bronchoalveolar lavage was performed, given the slow evolution and raising suspicion for underlying pathology. The bronchial aspirate later cultured methicillin-resistant Staphylococcus aureus (MRSA), while bronchoalveolar lavage findings were nonspecific (macrophages >84%), thus supporting ongoing suspicion of infectious disease.
One week after discharge, the patient returned to the emergency department after an accidental fall. Chest radiography now showed progression of the pulmonary lesions and reaccumulation of left pleural effusion (Figure 3). She was readmitted to the pulmonology department, where she received targeted antibiotic therapy per antibiogram (vancomycin 1 g every 12 hr for 10 days) and systemic corticosteroids; repeated thoracentesis evacuated serous-citrine fluid with similar cytologic results (inflammatory pleural effusion). Spirometry performed at discharge revealed severe mixed ventilatory dysfunction, and a repeated 6MWT showed dynamically low values. An autoimmune antibody panel and advanced pulmonary function tests (Diffusing Capacity of the Lungs for Carbon Monoxide – DLco and body plethysmography) were recommended, as well as repeating the chest CT.

Chest X-ray at second presentation. Progression of opacities with increased pleural effusion volume.
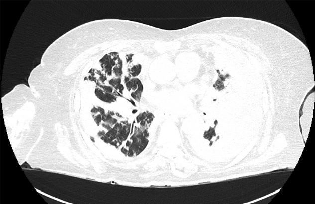
The third emergency admission occurred shortly after. The patient demonstrated significant clinical and imaging progression (CT scan), with acute respiratory failure, enlargement and confluence of bilateral consolidations, and reaccumulation of pleural effusion (Figure 4). This time, the prognosis was poor and her condition worsened. She developed a significant infectious-inflammatory syndrome progressing to sepsis, originating from the lungs. Cytologic examination of the pleural fluid then raised suspicion for a secondary neoplastic aetiology. CT-guided transthoracic pulmonary biopsy was performed, and histopathology revealed invasive mucinous adenocarcinoma with a limited micropapillary pattern, raising suspicion for ‘pneumonic-type’ adenocarcinoma when correlated with the clinical and imaging presentation. Due to unfavourable disease progression, the patient was transferred to the intensive care unit (ICU), where she subsequently died (Figure 5).

Thoracic CT scan at final presentation. Marked progression and confluence of bilateral consolidations with increased pleural effusion.

Last Chest X-ray in the ICU(intensive care unit). Extensive left pleural effusion filling the lung with confluent right lung opacities.
The initially non-specific imaging features for proliferative lung pathology posed challenges to the early diagnosis of invasive mucinous adenocarcinoma. The presence of S. aureus in the bronchial aspirate contributed to delaying the oncologic diagnosis, supporting the hypothesis of infection.
Invasive mucinous adenocarcinoma with a limited micropapillary pattern carries a poor prognosis and represents an aggressive form of bronchopulmonary neoplasm. Although a lepidic growth pattern is generally associated with a less aggressive course, the presence of the invasive mucinous subtype and micropapillary pattern are both negative prognostic factors (2). Other poor prognostic indicators, several of which were present in this case, include male sex, advanced age, chronic smoking, mediastinal lymphadenopathy, pleural effusion, alveolar dissemination and ‘pneumonic-type’ adenocarcinoma (4).
The ‘pneumonic-type’ subtype of adenocarcinoma is primarily an imaging diagnosis, but has distinct clinical and histopathological features. Two subtypes have been observed: localised pneumonic-type lung adenocarcinoma (L-PLADC) and diffuse pneumonic-type lung adenocarcinoma (D-PLADC). These categories have distinct characteristics. L-PLADC appears predominantly in women, non-smokers, and typically shows minimal respiratory symptoms and low inflammatory markers (such as C-reactive protein). Imaging demonstrates localised consolidation involving less than 50% of a single pulmonary lobe. Histologically, the most common pattern is acinar. D-PLADC is more common in men, smokers, is associated with significant respiratory symptoms and often with high C-reactive protein. Imaging reveals bilateral, multifocal distribution affecting multiple lobes. The most common histologic subtype is invasive mucinous adenocarcinoma and the prognosis is poor (5).
In this context, our patient fits the diffuse subtype, despite discordant general data (predominantly male, smokers), due to her bilateral, diffuse, multifocal distribution, histopathologic subtype and poor prognosis.
Recognition of atypical cases of bronchopulmonary neoplasm by specialised medical personnel is crucial in managing patients with non-specific clinical presentations or those mimicking other pathologies, such as bronchopneumonia in this instance. Awareness of these cases is essential in daily clinical practice. A wide range of diagnostic methods (CT, bronchoscopy, CT-guided biopsy, video-assisted thoracoscopy, etc.) can meaningfully shorten the time to bronchopulmonary neoplasm diagnosis.
Persistence of symptoms despite appropriate treatment, or lack of response to therapy, requires reassessment of the initial diagnosis. In such situations, underlying conditions such as pulmonary neoplasms or interstitial lung diseases must be considered, and the patient should be thoroughly investigated to avoid missing a diagnosis with a severe prognosis.
Interdisciplinary collaboration (pulmonologist, radiologist, pathologist, thoracic surgeon, oncologist) is another essential aspect to ensure the most accurate and timely diagnosis. This collaboration enables correlation of clinical, laboratory, imaging and histologic data, reducing diagnostic time, increasing precision and ultimately benefiting the patient.
Educating patients and caregivers in cases presenting with slow, stationary evolution or recurrent symptoms is important for timely presentation in the case of deterioration, thus increasing the likelihood of early diagnosis. An uninformed patient or caregiver may delay re-evaluation, failing to recognise persistent or new symptoms as warning signs.
This case highlights the complexity of diagnosing atypical forms of pulmonary neoplasm and aims to increase awareness of such entities. Raising suspicion for an underlying condition in the setting of slowly resolving or clinically/radiologically stationary pneumonias is essential for diagnosing these rare forms.