Portopulmonary hypertension (PoPH) represents a subset of World Health Organisation (WHO) group 1 pulmonary hypertension (PH) and a potentially life-threatening pulmonary vascular disease secondary to portal hypertension (PHT). According to the most recent definition, PoPH is characterised by the presence of PHT and the following haemodynamic criteria: a mean pulmonary arterial pressure (mPAP) >20 mmHg at rest, a pulmonary artery wedge pressure (PAWP) ≤15 mmHg, and a pulmonary vascular resistance (PVR) >2 Wood units (WU) (1, 2). The PoPH accounts for approximately 5%–10% of all patients with WHO group 1 PH, with an estimated 1%–2% of patients with liver disease and associated PHT who develop PoPH. Although it is most commonly observed in cirrhotic patients, only a small percentage of cirrhotic patients with PHT (4%–15%) develop PoPH (3, 4), other uncommon non-cirrhotic causes of PHT leading to PoPH are portal vein thrombosis, granulomatous disease, autoimmune diseases, drug reactions, infections (such as hepatitis C) and congenital abnormalities (such as congenital portosystemic shunt) (5–7). Recent data from a cohort of 1004 patients with PHT indicate a 2.8% prevalence of PoPH, underscoring its rarity but clinical significance (8). The main risk factors associated with the development of PoPH include female sex, autoimmune liver diseases, elevated oestradiol levels and a history of splenectomy (3). Notably, the risk does not appear to increase with the progression of liver disease severity as defined by the Child-Pugh classification (8).
A 54-year-old male was referred to our hospital for evaluation after experiencing five episodes of moderate-volume haemoptysis within the 3 days before presentation. The patient reported no prior history of haemoptysis, dyspnoea on exertion or any cardiopulmonary complaints before the current episode. He had not received any medical treatment before presentation. His medical history described a chronic hepatitis C in 2006, progressing to liver cirrhosis and PHT, splenectomy performed in 2007 due to hypersplenic thrombocytopenia, and treatment with interferon from 2008 to 2015, followed by direct-acting antiviral therapy (a combination of ombitasvir, paritaprevir and ritonavir, taken with dasabuvir and ribavirin for 12 weeks). His family history reveals no haematological, pulmonary or hepatic diseases, nor any history of PH. Body mass index was 27.47 kg/m2, reporting a smoking history of 25 pack-years and no current use of medication.
The blood tests, total bilirubin 1.045 mg/dL, direct bilirubin 0.373 mg/dL, aspartate aminotransferase (AST) 20.7 U/L, alanine aminotransferase (ALT) 16.3 U/L, platelet count 141,000/μL, haemoglobin 13.2 g/dL, and a normal coagulation profile, indicating preserved hepatic function without haematological abnormalities. Serologic testing for the hepatitis C virus was negative. Arterial blood gas analysis indicated values within normal physiological ranges: PaO2 104 mmHg, PaCO2 31 mmHg, pH 7.42, HCO3– 20.8 mmol/L and oxygen saturation (SaO2) of 98%.
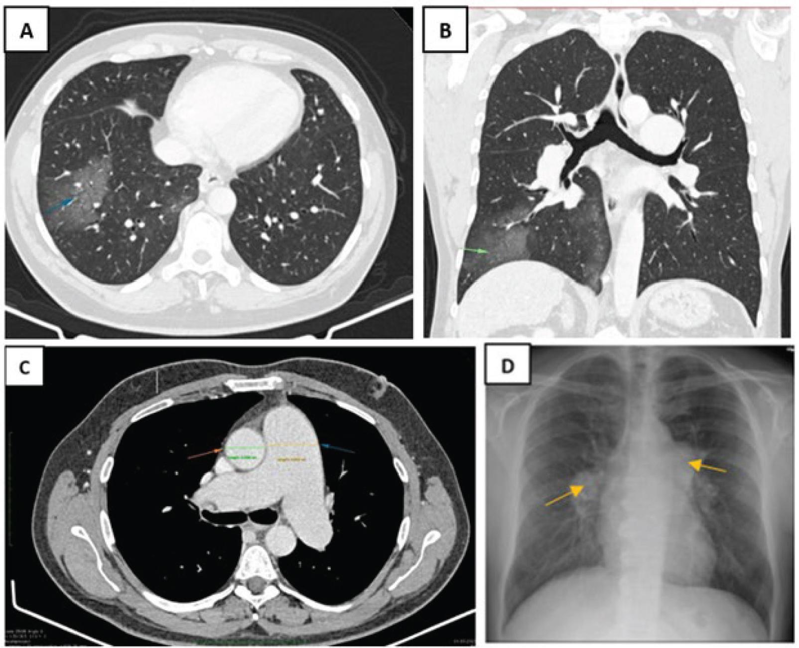
The chest X-ray showed bilateral hilar opacities with a polycyclic appearance (Figure 1D), which, in the context of the patient’s smoking history and haemoptysis, raised the initial suspicion of a bronchopulmonary neoplasm. This prompted further evaluation through high-resolution contrast-enhanced computed tomography (HRCT) and bronchoscopy.

(A) Axial CT scan, lung window; (B) Coronal CT scan, lung window – ground-glass opacities (blue arrow A, green arrow B) with a confluent lobular pattern are visible in the right basal pyramid, involving both peribronchovascular and peripheral regions, secondary to recent episodes of haemoptysis. (C) Pulmonary arterial phase of thoracic CT revealed significant enlargement of the main pulmonary artery (blue arrow), which exceeded the diameter of the adjacent ascending aorta (red arrow) – a classic radiologic feature suggestive of PH. (D) Chest X-ray at first check-up showed hilar opacities with a polycyclic appearance. PH, pulmonary hypertension.
CT imaging showed multiple pathological changes consistent with chronic liver disease and pulmonary vascular involvement. Ground-glass opacities with a confluent lobular pattern were identified within the right basal pyramid, involving both peribronchovascular and peripheral pulmonary regions (Figures 1A and 1B). The ground-glass opacities identified were interpreted as secondary to recent episodes of haemoptysis. No bronchiectasis or structural pulmonary abnormalities were observed. The pulmonary arterial system was significantly dilated (Figure 1C), with a main pulmonary artery diameter of 50 mm and symmetrical enlargement of both right and left pulmonary artery branches (37 mm each), indicating pulmonary arterial hypertension (PAH) (9, 10). In the upper abdomen, the liver appeared enlarged, involving the left and caudate lobes in particular, with a lobulated contour and heterogeneous parenchymal density. Focal areas of steatosis were noted, consistent with chronic liver disease. Multiple features indicative of PHT were identified, including dilatation of the portal vein (17.5 mm), inferior mesenteric vein (16.5 mm) and inferior vena cava (28 mm), along with paraumbilical vein enlargement, perigastric collateral circulation and the presence of oesophageal and perioesophageal varices. The spleen was surgically absent (status postsplenectomy), but three accessory spleens of variable sizes were identified, all exhibiting normal morphology. These imaging findings are indicative of advanced PHT secondary to hepatic cirrhosis, complicated by PAH and residual postsplenectomy anatomical variations.
The CT findings were confirmed by abdominal ultrasound, which revealed liver enlargement, particularly due to the left lobe (measuring 70 mm) and the caudate lobe (measuring 50 mm), the latter showing elongation with a ‘helmet-shaped’ configuration. Hepatic parenchyma appeared heterogeneous, with focal areas of steatosis. The common bile duct and intrahepatic bile ducts were not dilated. Portosystemic collateral circulation was confirmed (11).
Transient elastography revealed a liver stiffness of 21 kPa, while FibroScan measurements showed an E-value of 15.8 kPa and a controlled attenuation parameter (CAP) score of 162 dB/m. These findings are consistent with advanced hepatic fibrosis (F4) and the absence of significant steatosis. The elevated liver stiffness also suggests the presence of subclinical PHT (12). Based on the absence of ascites and hepatic encephalopathy, along with a total bilirubin of 1.045 mg/dL and INR of 1.15, the patient was classified as Child-Pugh class A, consistent with compensated cirrhosis (13, 14).
Bronchoscopy was recommended considering the patient’s clinical history. It showed a normally configured right bronchial tree without endobronchial proliferative lesions on imaging, but with the presence of a floating blood clot within the lumen of the right lower lobe bronchus. The left bronchial tree appeared normal.
Transthoracic echocardiography (TTE) revealed a mildly dilated left ventricle (end-diastolic diameter 47 mm) without hypertrophy (interventricular septum 12 mm, posterior wall 11 mm) and a preserved systolic function, as reflected by a left ventricular ejection fraction of 65%. There were no findings suggestive of left heart disease. The right heart evaluation showed a right ventricular (RV) diameter of 39 mm and a right atrial (RA) volume of 52 mL. Estimated systolic pulmonary artery pressure (sPAP) was 58 mmHg, based on a right atrium–right ventricle (RA–RV) pressure gradient of 55 mmHg. Tricuspid annular plane systolic excursion (TAPSE) measured 21 mm, and pulmonary acceleration time (PAT) was 56 ms, consistent with elevated pulmonary pressure (Figures 2A and 2B). The TAPSE/sPAP ratio was calculated at 0.36 mm/mmHg, a value exceeding the 0.30 mm/mmHg prognostic threshold associated with better transplant-free survival in PoPH, as reported in recent studies (15). N-terminal pro-B-type natriuretic peptide (NT-proBNP) was 52.5 pg/mL, consistent with a low-risk PAH profile. These results, together with an Electrocardiography (ECG) showed sinus rhythm, rightward QRS axis (lead I predominantly negative, lead aVF predominantly positive, QRS axis >+90°), with R/S = 1 in V6, suggestive of right ventricular (RV) hypertrophy, and no ischaemic changes. Coronary angiography revealed no significant lesions. support a non-ischaemic and non-inflammatory aetiology for the patient’s elevated pulmonary pressures.

(A) TTE in the parasternal short-axis view revealed a PAT of 58 ms. A PAT <100 ms is suggestive of PH, while values <70 ms are typically associated with severe forms. (B) Echocardiographic assessment of right ventricular function showed an RVFAC of 34.6%, below the normal range of 35%–60%, consistent with global right ventricular systolic dysfunction. (C) ECG shows rightward axis: lead I predominantly negative QRS complex, lead aVF predominantly positive QRS complex, QRS axis >+90°; (D) ECG shows R/S = 1 in V6, which means clockwise rotation associated with right ventricular hypertrophy. PAT, pulmonary acceleration time; PH, pulmonary hypertension; RVFAC, right ventricular fractional area change; TTE, transthoracic echocardiography.
Right-heart catheterisation showed pre-capillary PH with a mPAP of 35 mmHg, PVR of 5.59 wood units and pulmonary capillary wedge pressure (PCWP) values of 6 mmHg. PoPH was diagnosed in accordance with current diagnostic criteria (1).
Pulmonary function testing revealed normal spirometry results: FEV1 105% predicted (4.04 L), FVC 102% predicted (4.93 L) and an FEV1/FVC ratio of 0.82, ruling out both obstructive and restrictive ventilatory defects. The diffusing capacity for carbon monoxide (DLCO) was moderately reduced at 57% predicted, with a transfer coefficient for carbon monoxide (KCO) of 69%, in the context of normal lung volumes and normal HRCT findings. Given the preserved oxygenation on arterial blood gas analysis and normal spirometric values, the data support a primarily vascular mechanism underlying the patient’s respiratory symptoms. The patient completed the 6-minute walk test (6MWT) with a total distance of 325 m (61% of predicted). Oxygen saturation decreased from 99% to 94%, and heart rate increased from 80 bpm to 90 bpm. The Borg dyspnoea score rose from 3 to 5. While no overt signs of exercise intolerance were noted, the reduced walking distance and mild desaturation indicate early functional limitation. The reduced walking distance, in conjunction with a DLCO of 57% predicted, elevated pulmonary artery pressures on echocardiography and right heart catheterisation, and a dilated pulmonary artery trunk, points to a functional impairment likely due to pulmonary vascular disease rather than ventilatory or cardiac failure. Importantly, normal spirometry and preserved left ventricular function exclude significant parenchymal lung disease or left-sided heart failure as major contributors to exercise limitation (16).
Risk stratification was performed using the 2022 ERS/ESC 4-strata model. The patient was classified as intermediate-low risk at diagnosis based on a 6MWT of 325 m, NT-proBNP of 52.5 pg/mL and WHO functional class II. Oral monotherapy with sildenafil 60 mg/day, a phosphodiesterase-5 inhibitor (PDE5i), was initiated, with a favourable short-term clinical response and cessation of haemoptysis. In accordance with current guidelines, treatment intensification will be considered at follow-up, depending on clinical evolution. Therapeutic options may include adding a prostacyclin receptor agonist (PRA) or switching from PDE5i to a soluble guanylate cyclase stimulator (sGCs), if risk profile or clinical tolerance requires adjustment (1). In parallel with pulmonary vasodilator therapy, the patient also received supportive treatment targeting PHT, including isosorbide mononitrate (30 mg/day) and diuretics (furosemide and spironolactone). Diltiazem (60 mg/day), a calcium channel blocker, was used to control cardiac rate. Interventional strategies such as TIPS were not indicated at that time due to clinical stability and preserved liver function.
Considering the data of paraclinical investigations, namely the significantly increased portal vein, inferior mesenteric vein and inferior vena cava diameters, with widespread portosystemic collateral circulation (dilated paraumbilical vein, perigastric varices and oesophageal/perioesophageal varices), there is certainly a radiological HRCT-based evidence of advanced PHT in the context of the already known liver cirrhosis (10). Considering the repeated episodes of haemoptysis and the findings obtained through high-resolution chest CT, FibroScan and abdominal ultrasound, upper gastrointestinal endoscopy was deemed inappropriate at this stage, as its sole purpose was direct visualisation of oesophageal varices, which had already been identified on HRCT, potentially exposing the patient to an additional risk of bleeding.
This PHT appears to be associated with haemodynamically proven precapillary PH, demonstrated by a mPAP of 35 mmHg, PVR of 5.59 Wood units and a normal PCWP of 6 mmHg. The normal values of NT-proBNP and hs-cTnI reflect a stable haemodynamic profile, without evidence of left ventricular dysfunction or acute myocardial injury. These findings further support the diagnosis of precapillary PoPH, occurring in the setting of advanced liver disease, moderate-volume haemoptysis and radiologic features suggestive of secondary pulmonary involvement – including pulmonary artery dilatation and ground-glass opacities—which, in this case, most likely represented the imaging correlate of haemorrhage. Thus, a lack of postcapillary involvement favours the diagnosis of PoPH, a rare and severe pulmonary vascular complication associated with chronic liver disease.
The pathophysiologic mechanisms of PH development are linked to the formation of portosystemic collateral circulation, which seems to act as an adaptive mechanism in the initial stage, leading to the evolution of PH (Figures 3A–3E). Portosystemic shunts significantly contribute to the genesis of PH by carrying elevated levels of vasoactive and inflammatory mediators, such as endothelin-1, serotonin, nitric oxide and pro-inflammatory cytokines, that are normally metabolised by the liver in the pulmonary circulation. This promotes haemodynamic stress and initiates a cascade of pathological vascular remodelling. In this way, a chronic liver disease evolves into a complex and potentially lifethreatening cardiopulmonary disorder, ultimately leading to PoPH (17).

MIP reconstructions (coronal, sagittal, axial planes) showing multiple dilated portosystemic collateral vessels. (A) Coronal CT image showing dilatation of the pulmonary arteries (blue and purple arrows) and hypertrophy of the bronchial arteries (red arrow), as part of the compensatory mechanism associated with PoPH. (B) Sagittal reconstruction highlighting the trajectory of collateral venous circulation in portosystemic shunting pathways; (C) Axial abdominal CT reconstruction illustrating a cirrhotic liver with a nodular contour and irregular hepatic surface. Note the dilated portal vein (red arrow) and the partially visualised recanalised paraumbilical vein (yellow arrow), suggestive of PHT. (D–F) MIP reconstruction (axial, coronal, and sagittal) highlights the pulmonary arterial arborisation and extensive abdominal collateral vessels. Aberrant ascending venous pathways, likely originating from perioesophageal and diaphragmatic networks, suggest portopulmonary collateral formation potentially involved in localised pulmonary congestion or haemoptysis. MIP, maximum intensity projection; PHT, portal hypertension; PoPH, portopulmonary hypertension.
At this point, it is important to distinguish between the pathophysiological mechanisms underlying PoPH and those of hepatopulmonary syndrome (HPS) – two distinct clinical entities that, despite sharing a common hepatic background, differ significantly in terms of vascular dynamics, gas exchange abnormalities, clinical and therapeutic implications (4, 18). Table 1 summarises the differential diagnostic features of these two conditions.
Diagnostic clarity between PoPH and HPS
| Feature | PoPH | HPS |
|---|---|---|
| Definition | PH occurring in the context of PHT, with or without intrinsic liver disease | Hypoxaemia due to IPVDs in patients with chronic liver disease and/or PHT |
| Prevalence (in cirrhotic patients) | PoPH, less common than HPS, is present in ~0.7% of patients with cirrhosis, 2% of patients with PHT and 5%–15% of PH cases | Affects ~30% of patients with cirrhosis; range: 4%–47% |
| Pathophysiological mechanisms | Pulmonary vasoconstriction, medial hypertrophy, intimal fibrosis and plexiform lesions due to circulating vasoactive mediators | Diffuse capillary vasodilation, increased NO production, angiogenesis, and impaired alveolar-capillary oxygen exchange |
| Diagnostic criteria | PHT, mPAP >20 mmHg, PVR >2 Wood units, PCWP ≤15 mmHg (confirmed by RHC) | Chronic liver disease or PHT, A-a gradient ≥15 mmHg (or ≥20 mmHg if ≥65 years), IPVD on CE-TTE |
| Clinical presentation | Exertional dyspnoea, fatigue and signs of right heart strain | Platypnoea, orthodeoxia, cyanosis, digital clubbing and prominent hypoxaemia |
| ECG findings | RBBB, rightward axis and RV hypertrophy | None |
| Key imaging/testing modalities | Transthoracic Doppler echocardiography followed by RHC | CE-TTE and arterial blood gas testing |
| Therapeutic strategies | Pulmonary vasodilators (PDE5 inhibitors, prostacyclin analogues, and endothelin receptor antagonists), oxygen and avoid TIPS | No proven medical therapy; supplemental oxygen and LT are mainstays. TIPS may have a transient benefit |
| LT implications | Considered for LT if mPAP is <35 mmHg or medically optimised. Perioperative mortality risk is high if mPAP is ≥45 mmHg | Indicated for LT if PaO2 is <60 mmHg. Post-transplant hypoxaemia typically resolves. Long-term prognosis is excellent |
| Prognosis | Variable. Five-year post-LT survival ranges from 63% to 67%; high early mortality risk, especially if mPAP ≥45 mmHg. Ongoing medical therapy may be required | Favourable after LT. Five-year survival ~76%, comparable to non-HPS patients; hypoxaemia typically resolves completely |
CE-TTE, contrast-enhanced transthoracic echocardiography; HPS, hepatopulmonary syndrome; IPVD, intrapulmonary vascular dilatation; LT, liver transplantation; mPAP, mean pulmonary arterial pressure; NO, nitric oxide; PAH, pulmonary arterial hypertension; PCWP, pulmonary capillary wedge pressure; PDE5, phosphodiesterase-5; PH, pulmonary hypertension; PHT, portal hypertension; PoPH, portopulmonary hypertension; PVR, pulmonary vascular resistance; RBBB, right bundle branch block; RHC, right heart catheterisation; RV, right ventricle; TIPS, transjugular intrahepatic portosystemic shunt.
A central objective of the patient’s evaluation was to identify the aetiology of repeated haemoptysis, an atypical symptom in patients with advanced liver cirrhosis, with or without PoPH, which required an extensive differential diagnostic workup. Therefore, in the case of this patient, known to have chronic liver disease, the following diagnostic suspicions are raised as causes of repeated haemoptysis: coagulation disorders, since cirrhotic patients frequently present with thrombocytopenia and decreased coagulation factors due to deficient hepatic synthesis; however, given the normal coagulation profile and platelet levels, these potential causes were considered unlikely and subsequently excluded (19); acute respiratory infection, such as bronchitis or pneumonia, ruled out by the absence of inflammatory syndrome or suggestive clinical picture at the time of haemoptysis onset; suspected preexisting pulmonary pathology (heavy smoker, good social conditions, without epidemiological context), therefore the contrast-enhanced high-resolution chest CT excluded alternative aetiologies, including tuberculosis, malignancy and pulmonary thromboembolism. In light of the clinical context and exclusion of other causes, the presence of bronchial or portopulmonary collateral circulation emerges as the only remaining plausible diagnostic hypothesis.
Thick-slab maximum intensity projection (MIP) reconstructions revealed extensive and tortuous portosystemic collateral vessels, particularly in the perigastric, retrogastric, peripancreatic and retroperitoneal regions, consistent with long-standing PHT in a post-splenectomy setting. Notably, multiple aberrant vascular pathways were observed tracking along the diaphragmatic and perioesophageal axes, some of which appeared to ascend towards the lower mediastinum and peribronchial territories (Figures 3D and 3E).
These findings raised the suspicion of portopulmonary vascular collaterals – a rarely described phenomenon in advanced PoPH. Although such abnormal connections are not visible on bronchoscopy, they may be identified on CT angiography or MRI (20, 21) and are thought to arise from perioesophageal or diaphragmatic networks that anastomose with small pulmonary vessels. These pathways may expose the pulmonary circulation to unfiltered portal blood, potentially leading to localised congestion, angiodysplastic lesions or microvascular shunting (22). Occasionally, such collaterals may become varicose, increasing the risk of haemoptysis by weakening the vascular wall under elevated pressure (23). In our patient, the imaging suggested the presence of possible vascular structures in the right lower lobe, where the bleeding occurred, raising the suspicion of portopulmonary shunting (Figures 3A and 3F). However, in the absence of angiographic confirmation, this remains a plausible but unproven hypothesis.
The following case report highlights the diagnostic challenges that may be encountered in a case of repeated episodes of haemoptysis in a patient with compensated liver cirrhosis and PoPH. Common causes of haemoptysis were excluded based on extensive clinical, laboratory, imaging and haemodynamic evaluation. The association of PoPH with imaging changes suggestive of pulmonary vascular remodelling and portosystemic shunts supports the hypothesis that haemoptysis may represent an underrecognised manifestation of abnormal vascular connections between the portal and pulmonary circulation. In the presence of friable portopulmonary collaterals or localised microvascular shunting, bleeding from these sources should be considered. This case report highlights the need to be aware of vascular anomalies in cirrhotic patients with haemoptysis of unknown origin, particularly in the setting of coexisting PH (20, 23).
Clinically, this case highlights the importance of early recognition and haemodynamic assessment of PoPH, particularly in patients with advanced liver disease who are potential candidates for liver transplantation (LT). Certain et al. (24) evaluated the prognostic value of PVR values between 2 and 3 Wood units, emphasising their potential role in identifying early PoPH in cirrhotic patients, even before overt clinical deterioration occurs. According to current ESC/ERS guidelines, these values already meet the definition of precapillary PH (1). Early diagnosis remains crucial, as late recognition of PoPH correlates with poor prognosis after LT. In this context, LT is not an indication per se for PoPH, and severe PAH represents a major perioperative risk. According to ESC/ERS 2022 guidelines, an mPAP of ≥45 mmHg is considered an absolute contraindication to orthotopic liver transplantation (OLT). However, with appropriate targeted PAH therapy, some patients may experience sufficient haemodynamic improvement to become eligible for LT. The International Liver Transplant Society recommends transplant to be considered on an individual basis, only if haemodynamic thresholds are met (e.g., mPAP <35 mmHg and PVR <5 WU, or PVR <3 WU if mPAP ≥35 mmHg). In successful cases, deescalation of PAH therapy post-transplant may be possible, but this decision must be individualised (1).
Another peculiarity of the case is that the patient underwent splenectomy long before the diagnosis of PoPH was established. Although splenectomy is not a recognised risk factor for PoPH, limited data in the literature have explored potential associations between the two. Among those available, some authors have speculated that splenectomy in patients with PHT may lead to an earlier onset of PH (25). However, Huang et al. (26) found that splenectomy may actually delay the diagnosis of PoPH in patients with PHT. In their study, the mean interval from splenectomy to the diagnosis of PH in PHT-post-splenectomy patients was 13.1 ± 5.9 years, significantly longer than the interval observed in PHT patients who developed PoPH without prior splenectomy (5.5 ± 5.2 years). This finding aligns with our case, where PoPH was diagnosed 18 years after splenectomy. However, given the small sample sizes and lack of definitive evidence, these observations remain speculative, and further studies are needed to validate and clarify these associations.
Although PoPH is considered a rare complication of advanced liver disease, the possibility of its presence must not be overlooked. All patients with cirrhosis who present with dyspnoea or with unexplained radiologic abnormalities should undergo early screening via TTE and, where indicated, RHC. Patients with suspected PH should be referred to expert centres for diagnosis and therapeutic guidance. Once diagnosed, PoPH requires close multidisciplinary monitoring based on current ESC/ERS guidelines, using non-invasive follow-up tools (3-strata model) such as NT-proBNP, 6MWT, WHO functional class and echocardiographic parameters, which should be documented both at baseline and during follow-up. While initial monotherapy with a pulmonary vasodilator may be appropriate, treatment escalation should be considered in accordance with risk assessment.
Here we report a rare case of PoPH that developed in a patient with compensated cirrhosis, 18 years after undergoing splenectomy, in whom sudden haemoptysis led to the discovery of the disease. This case not only illustrates the diagnostic complexity and variable clinical expression of PoPH, but also the potential involvement of portopulmonary collaterals and the need for collaborative care among hepatology, cardiology and pneumology. In this context, early recognition and individualised treatment may significantly improve clinical outcomes. Importantly, PoPH does not represent an indication for LT and may act as a contraindication, unless haemodynamic parameters improve sufficiently with targeted therapy. In this way, early recognition and specific treatment in such complex clinical cases may significantly impact prognosis and therapeutic decision-making in this rare and life-threatening condition.