Blood and/or tissue eosinophilia, together with respiratory symptoms and polymorphic chest radiological abnormalities, can define multiple pathological entities and can mimic a wide variety of respiratory or systemic conditions (infectious, allergic, vasculitis or interstitial pneumopathies), with complex presentations that require multiple investigations to initiate appropriate treatment, so that the diagnostic approach most often represents a challenge for the clinician (1).
Eosinophilic granulomatosis with polyangiitis (EGPA) is a rare form of small vessel vasculitis associated with antineutrophil cytoplasmic antibodies (ANCA), but only 30%–40% of patients have these antibodies present, associating with several systemic vasculitic features and manifestations (2).
Studies have shown that patients with systemic vasculitis have a higher risk of developing infections like tuberculosis (3). At present, many tuberculosis patients do not have specific clinical manifestations. Efficient and rapid diagnosis and treatment of patients with early infection plays a key role in improving the prognosis of tuberculosis patients (4).
Due to the limited recognition of vasculitis, as well as the fact that there are clinical and radiological manifestations similar to tuberculosis, a thorough and systematic clinical evaluation together with imaging, laboratory (microbiological and serological) and histopathological investigations is necessary to obtain a correct diagnosis. Treatment in such cases remains a controversial topic (5).
We present the case of a 43-year-old male patient, smoker (16 pack-years of smoking), with occasional exposure to respiratory pollutants (feathers and bird droppings), who has a history of aspirin intolerance, atopic dermatitis, chronic panrhinosinusitis and nasal polyposis operated 2 years ago. He presented to another hospital for productive cough with seromucous expectoration and discreet wheezing that began a month earlier, without changes in the objective examination. Blood tests revealed eosinophilia (1280/mm3, 15% of the leucocyte count), without inflammatory syndrome or other changes. In addition, the microscopic examination of the sputum was bacteriologically sterile, with the absence of acid-fast bacilli. Pulmonary function tests revealed mild obstructive ventilatory dysfunction force expiratory volume in one second/forced vital capacity (FEV1/FVC) ratio <70%, FEV1=75% of predicted).
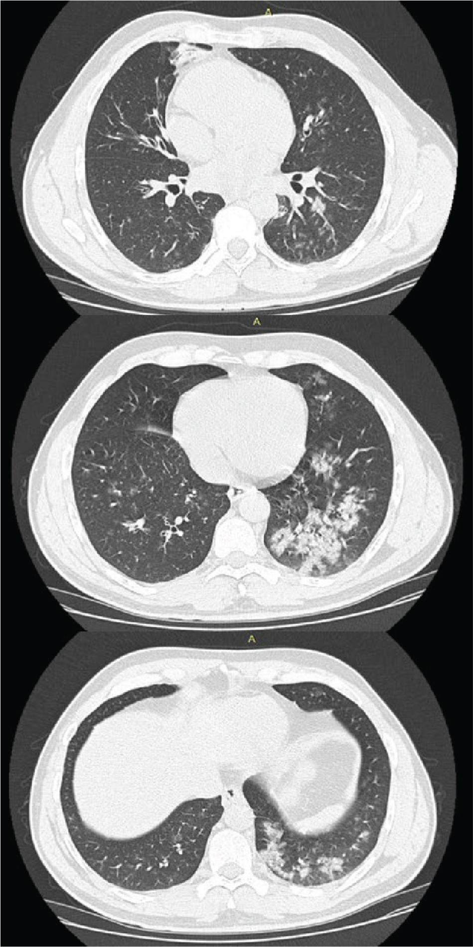
Chest computed tomography revealed pulmonary condensations, with a pseudonodular appearance, but also with a tendency to confluence in patches (at the posterobasal level on the left side), located inferiorly in the medial segment of the middle lobe and at the level of both lower lobes (left > right), in places associated with ground-glass opacities and perilesional interlobular septal thickening (Figure 1).

Computer tomography showing areas of pulmonary condensation with bilateral ground glass opacities.
Considering the association of the Widal triad (allergic asthma, nasal polyposis, aspirin intolerance), with blood eosinophilia and pulmonary infiltrates, the leading diagnostic consideration was EGPA (Churg-Strauss syndrome), based on the 2022 American College of Rheumatology criteria (6), without being able to exclude with certainty a hypersensitivity pneumonitis.
The patient was initially treated with systemic corticosteroids for 7 days, along with inhaled medication Beclometasone 100mcg + Formoterol 6mcg 1 dose twice a day and as needed and antihistamines.
Subsequently, the patient is admitted to our clinic, where physical examination revealed multiple erythematous discoid skin lesions on the upper limbs and chest. Further laboratory results showed persistent blood eosinophilia (880/mm3), elevated serum immunoglobulin E (IgE) levels and negative ANCA of the perinuclear antineutrophil antibodies (c-ANCA) and perinuclear antineutrophil antibodies (p-ANCA) types (Table 1). The urine tests were normal (no haematuria or proteinuria). An ears-nose-throat (ENT) evaluation confirmed recurrent nasal polyposis and chronic allergic rhinitis.
Laboratory tests.
| Parameter | Value |
|---|---|
| Blood count | |
| Leucocyte | 7593/mm3 |
| Eosinophils | 880/mm3 |
| Haemoglobin | 14.9 g/dL |
| Platelets | 212,000/mm3 |
| Serology | |
| p-ANCA | Negative |
| c-ANCA | Negative |
| IgE | 468 U/L |
| ANA | Negative |
| HIV | Negative |
ANA, anti-nuclear antibodies; HIV, human immunodeficiency virus; IgE, immunoglobulin E.
Considering a patient presenting with bilateral pulmonary pseudonodular alveolar infiltrates, without malignant cellularity and pulmonary and blood eosinophilia, the main suspected diagnostic hypotheses were EGPA, allergic bronchopulmonary aspergillosis, Loeffler syndrome in the context of a parasitic infection or chronic eosinophilic pneumonitis.
The diagnostic assessment is completed with the histopathological examination of a skin biopsy from the macular lesions, which revealed dermatofibroma.
Videobronchoscopy revealed the presence of serous and foamy secretions bilaterally, predominantly in the lower lung lobes, without proliferative or infiltrative bronchial lesions. Bronchiolo-alveolar lavage fluid cytology (BALBALF-Table 2) cytology showed eosinophilia (9.6%), without other significant changes. Microbiological tests on bronchial aspirate, including acid-fast staining, were negative. However, GeneXpert testing was positive for Mycobacterium tuberculosis deoxyribonucleic acid (DNA), without rifampicin resistance.
BAL fluid cytology.
| Cell type | Result (%) | Normal values |
|---|---|---|
| Macrophages | 64.4 | >84 |
| Lymphocytes | 17.6 | <13 |
| Granulocytes | 18.0 | <3 |
| neutrophil | 8.4 | <3 |
| Eosinophils | 9.6 | <0.5 |
| Epithelial cells | 38 | - |
| Tumour cells | 0 | - |
BAL, bronchiolo-alveolar lavage.
The diagnosis of hypersensitivity pneumonitis was less likely, because after a thorough and detailed history, it was noted that the patient had no significant exposure to avian antigens (he was an occasional bird photographer); in addition, the topography of the imaging lesions and the cytological result of the bronchoalveolar lavage fluid, with the absence of lymphocytosis >30%, did not advocate this differential diagnosis.
The antituberculosis treatment was initiated (regime I, with daily administration) with Isoniazid 300mg, Ethambutol 1600mg, Pyrazinamide 2000mg and Rifampicin 600mg, in doses adjusted according to body weight, in association with oral corticosteroid therapy with methylprednisolone at a dose of 32mg/day and inhalatory treatment (for 14 days). Given the patient's asthma diagnosis, inhaler treatment with Beclometasone 100mcg + Formoterol 6mcg 1 dose twice a day and as needed, was continued for mild obstructive ventilatory dysfunction (under treatment, the spirometry values were normal, with normal FEV1/FVC ratio and FEV1>80% of predicted).
The treatment was well tolerated, with no adverse reactions. The patient’s evolution was favourable, showing symptom improvement, normalisation of FEV1/FVC ratio and a slight decrease in blood eosinophil levels.
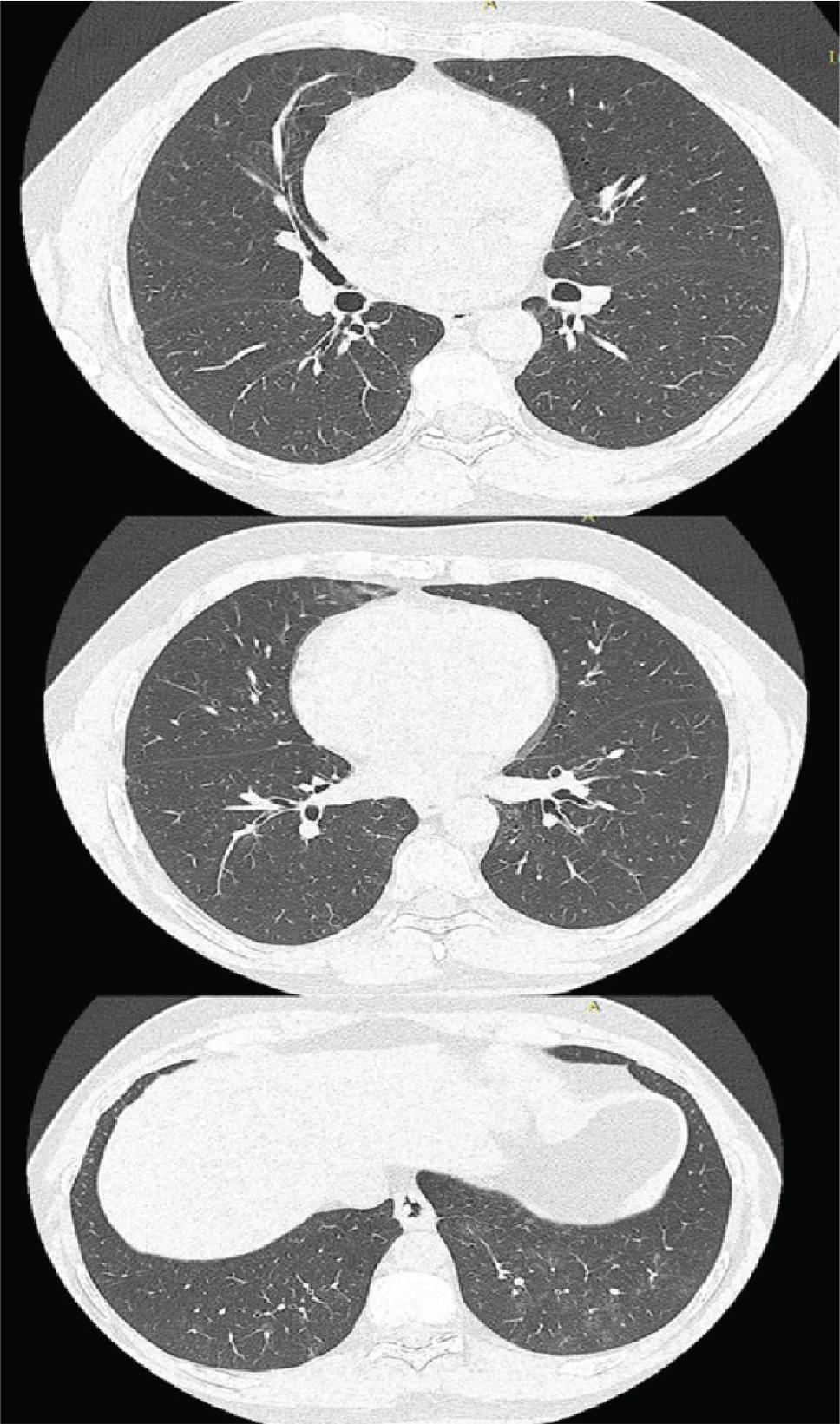
Chest computed tomography re-evaluation after one month of antituberculosis treatment (ATT) showed quasi-complete regression of the pulmonary condensation areas and groundglass areas in the lower lobes (Figure 2).

Chest CT with quasi-complete regression of pulmonary condensation areas.
After one month of anti-tuberculosis treatment, the patient was registered by the territorial dispensary of his residence, where he continued his treatment.
After 2 months, the result of the culture for Mycobacterium Tuberculosis from the bronchoalveolar lavage fluid was negative, but the patient had already completed his intensive phase of ATT and continued with the continuation phase considering the favorable clinical, blood tests results (with a normal level of eosinophils: 540/mm3, 8%) and imaging evolution. He underwent complete treatment, with a 4-month continuation phase (6 months in total).
Considering the anamnestic data – aspirin intolerance, chronic rhinosinusitis, recurrent nasal polyposis, recently diagnosed asthma, and skin lesions of atopic dermatitis (Widal–Samter triad) – together with persistent blood eosinophilia, eosinophilia in BAL and elevated serum IgE levels, we considered the possibility of EGPA (Churg-Strauss-type vasculitis) with a favourable evolution under corticotherapy. Although p-ANCA antibodies were negative (studies have shown that only 35.8% of EGPA patients are ANCA-positive), the patient did not present with anaemia, had a normal urine count and no alveolar haemorrhage syndrome in BALF, no peripheral neurological manifestations and the skin biopsy did not reveal vasculitic lesions, only a dermatofibroma (7).
Alveolar lesions (ground glass/infiltrative/consolidation), in the context of the detection of a positive GeneXpert for Mycobacterium tuberculosis (negative acid-fast staining of the patient’s sputum), support a diagnosis of bilateral infiltrative-nodular pulmonary tuberculosis, without rifampicin resistance; anti-tuberculosis treatment was initiated, with favourable clinical and imaging evolution.
The GeneXpert assay, a molecular diagnostic tool, is a simple, rapid and accurate detection method (an automated nucleic acid amplification test) that can quickly detect Mycobacterium Tuberculosis within two hours. However, the ability to identify both live and non-viable MTB DNA, for example, in patients with a previous history of pulmonary tuberculosis or sampling from a potential contamination, particularly from bronchoscopes, can result in false positives. The BALF GeneXpert MTB detection has high specificity and sensitivity in the diagnosis of smear-negative pulmonary tuberculosis, and its sensitivity is significantly higher than that of BALF acid-fast bacillus and the BALF mycobacterium culture method. With the popularity of bronchoscopy, BALF GeneXpert MTB has a good application value in the rapid diagnosis of smear-negative pulmonary tuberculosis (8, 9).
It is important to remember that many conditions can mimic the clinical, laboratory and imaging features of vasculitis. Infections are an important differential diagnosis in patients presenting with features of systemic vasculitis, especially tuberculosis, which is often referred to as the great imitator. Patients with EGPA combined with tuberculosis infection are rarely reported, and treatment remains a challenge.
Multiple pulmonary and systemic diseases of various aetiologies (allergic, infectious and malignancies) can produce eosinophilia in the blood, requiring a variety of examinations for a definite diagnosis and subsequent specific therapy.
The medical literature does not mention tuberculosis as a common aetiology of eosinophilia, with reported cases being very rare. The present findings suggest that blood eosinophilia occurs as a hypersensitivity reaction to Mycobacterium antigen, and interleukin-5 is the most important cytokine causing the expansion of peripheral eosinophilia in patients with pulmonary tuberculosis. Tissue damage is mainly associated with the release of eosinophilic toxins such as eosinophil cationic protein, major basic protein and eosinophil-derived neurotoxin (1).
Most studies on eosinophilia in tuberculosis describe it as localised eosinophilia rather than systemic eosinophilia, and eosinophil levels in tuberculosis patients may vary over time.
This case highlights the need to investigate the possibility of tuberculosis infection in patients with peripheral eosinophilia, after excluding other explanations and more prevalent causes (10, 11).
This case underscores the diagnostic challenge of distinguishing between tuberculosis and EGPA, given their overlapping clinical, imaging and serological features, and raises awareness of the possible association between tuberculosis infection and peripheral eosinophilia.
The approach to patients with polymorphic clinical presentation and infiltrative pulmonary opacities needs to be individualised. Masks of presentation of pulmonary infiltrates can delay diagnosis, with unpredictable implications, emphasising the importance of accessibility and addressability to bacteriological and bronchological investigation, which constituted a mandatory step for specifying the diagnosis in the case presented above.