Pulmonary arterial hypertension (PAH) is a severe and uncommon group of diseases, representing Group I in the pulmonary hypertension (PH) classification. It is characterised by the progressive narrowing of small pulmonary arteries, leading to increased pulmonary vascular resistance (PVR) and, ultimately, right ventricular failure. The condition has multiple causes, mainly the idiopathic form, congenital heart disease, connective tissue diseases like scleroderma, exposures to drugs and toxins, HIV infection or portal hypertension, and the diagnosis, treatment and follow-up abides by the same algorithm. In the last years, a special subgroup has been represented by hereditary PAH (HPAH), with or without identification of distinct mutations, the most well-known being mutations in the BMPR2 and TBX4 genes (1).
T-box transcription factor 4 (TBX4) encodes a protein belonging to the evolutionarily conserved T-box transcription factor family, which plays a crucial role in embryonic development. The association of the TBX4 gene mutation in the aetiology of PAH was first reported in a 2013 study (2), previously only mentioning its role in embryonic development, especially in musculoskeletal development (3) and the association of the mutation with small patella syndrome (4). Some studies show that TBX4 deficiency can lead to impaired lung branching and lung hypoplasia, emphasising its importance in respiratory development (5). Despite its established role in embryogenesis, the full extent of TBX4’s function in human development and disease pathogenesis remains incompletely understood, making it a subject of ongoing research in genetics and pulmonary medicine (6).
We present the case of a 23-year-old patient, known to have chronic progressive dyspnoea for several years and multiple hospitalisations for respiratory tract infections, especially in the paediatric service. At some point during one of the hospitalisations, an echocardiography was performed which showed a probability of PH.
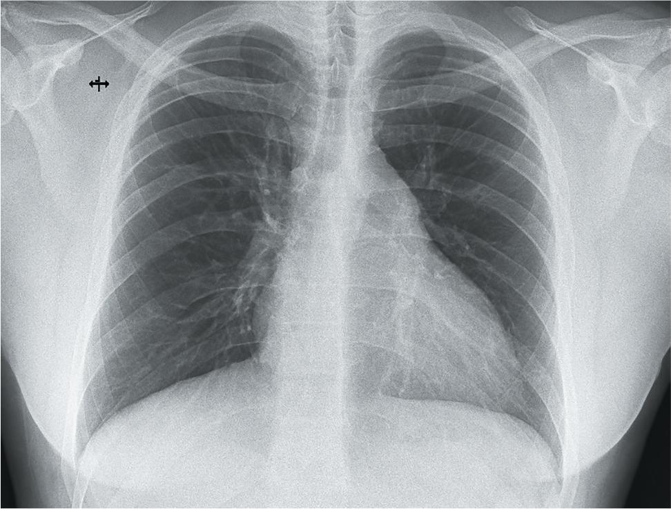
Upon initial evaluation at our clinic, the patient presented with moderate dyspnoea, NYHA II (New York Heart Association Functional Classification), especially with moderate exertion. A 6-min walking test was performed, and the patient managed to walk 450 m, with dyspnoea of 5/10 on the Borg scale, and SpO2 of 98% at the beginning and 93% at the end of the test. The chest X-ray revealed cardiomegaly, with clear lung fields (Figure 1).

Chest X-ray showing cardiomegaly with clear lung fields.
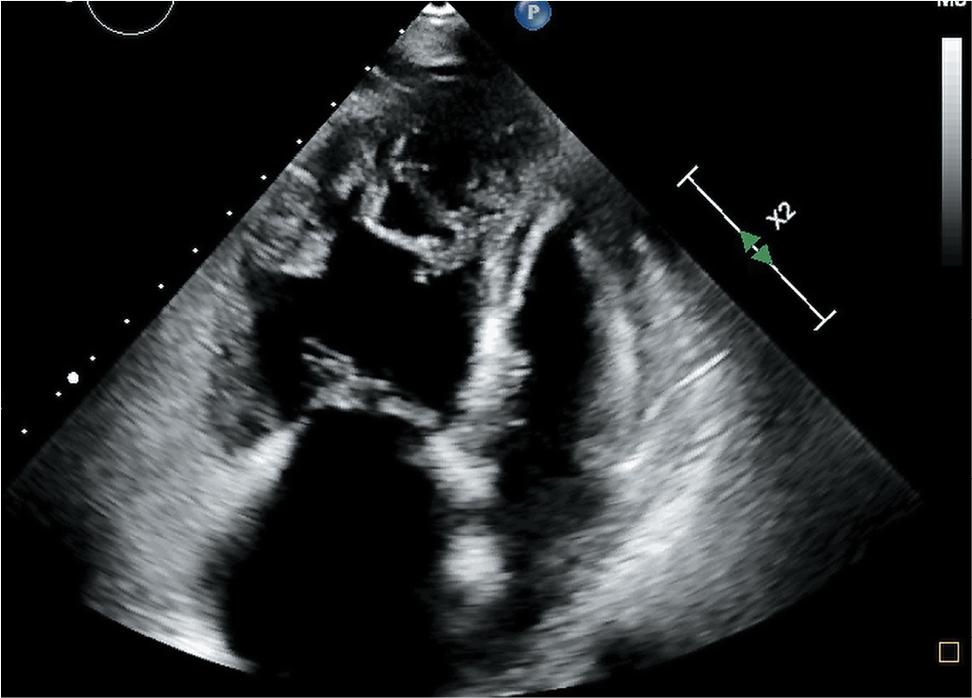
Blood tests showed polycythaemia and a mildly increased N-terminal pro B-type natriuretic peptide (NTproBNP) of 677 pg/mL. Pulmonary function tests showed normal respiratory volumes and flows, but with a moderately low diffusion lung capacity for carbon monoxide (DLCO) of 49% predicted. The electrocardiogram showed an aspect of right ventricular strain and an incomplete right bundle branch block. A cardiac ultrasound was performed that showed dilation of the right heart, with a RA (right atrium) of 74 mm and a RV (right ventricle) of 40 mm, a low TAPSE (Tricuspid Annular Plane Systolic Excursion) of 16 mm, global right ventricular systolic dysfunction, severe tricuspid regurgitation, a RA-RV gradient of 80 mmHg, with a high probability of PH, an estimated sPAP (Systolic Pulmonary Artery Pressure) of 85 mmHg. Left ventricular structure and function were normal, and no pericardial effusion was detected (Figure 2).

Cardiac ultrasound: dilation of the right heart, with a high probability of PH. PH, pulmonary hypertension.
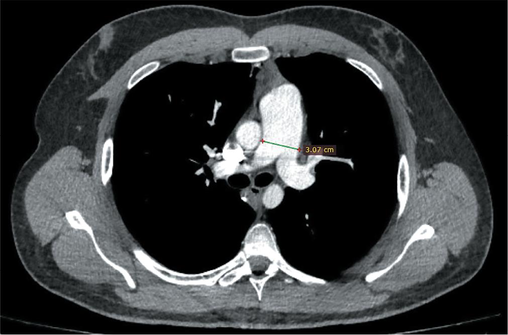
On contrast-enhanced chest CT (Computed Tomography), a major pulmonary artery dilation and dilated right heart were observed, without pulmonary embolism and changes in the pulmonary parenchyma. Neither transthoracic echocardiography nor CT examination revealed congenital heart diseases (Figures 3 and 4).

Contrast-enhanced chest CT scan transversal sections showing evidence of dilated right heart.

Contrast-enhanced chest CT scan transversal sections showing evidence of major dilation of the pulmonary arterial trunk.
Right heart catheterisation (RHC) revealed severe precapillary PH with a mean pulmonary arterial pressure (mPAP) of 61 mmHg, pulmonary capillary wedge pressure (PCWP) of 8 mmHg, PVR of 12 wood units (WU), cardiac output (CO) of 4.39 L/min, and moderately reduced cardiac index (CI) of 2.29 L/min/m2. An acute vasoreactivity test with inhaled nitric oxide (NO) was also performed, with a partially positive response, with a significant decrease of mPAP from 61 mmHg to 44 mmHg, but still above the limit of 40 mmHg, recommended by the guidelines for positive response, and increased CO from 4.39 L/min to 5.17 L/min (7). The patient was diagnosed with idiopathic PAH, with a partial response to the vasoreactivity test, being placed at intermediate risk in the ESC/ERS (European Society of Cardiology/European Respiratory Society joint guideline) 3-strata risk evaluation (7). The treatment decision was to combine a high-dose calcium channel blocker (CCB), nifedipine 20 mg, three times daily (8), with an oral pulmonary vasodilator, phosphodiesterase 5 inhibitor (iPDE5), sildenafil, also 20 mg, three times daily.
Given the young age of onset, it was decided to perform a genetic test that detected the TBX4 gene mutation (T-box transcription factor), a gene known in the pathogenesis of PH.
After 4 months of combined therapy, the patient was re-evaluated by RHC, which confirmed a mild benefit of mPAP (53 mmHg), PVR (9 WU), CO (5.11 L/min) and CI (2.6 L/min/m2), this time with a clear negative response to the vasoreactivity test, as is usual in HPAH (9). Clinically, the patient presented moderate dyspnoea, NYHA II, with a reduced NTproBNP of 256 pg/mL. The 6-min walking test was also re-evaluated, in which the patient completed 500 m, with SpO2 of 97% at the beginning and 94% at the end of the test, with mild dyspnoea, 4/10 on the Borg scale.
The evaluation confirmed low-risk criteria according to the ERS/ESC PH Guidelines 4-strata classification, and it was decided to stop CCB therapy and add an endothelin antagonist (ERA), bosentan 125 mg twice daily, thus continuing with dual oral vasodilator therapy (7).
After 6 months, patient’s symptoms were further improved, with dyspnoea only on exertion, NYHA I, covering a distance of 550 m in the 6-min walking test, 3/10 Borg, with SpO2 of 98% at the beginning and 96% at the end of the test. The NTproBNP value was normal (70 pg/mL), so the patient remained low-risk according to the ERS/ESC criteria (7).
After confirmation of the TBX4 mutation, family evaluation was considered. The patient’s mother, aged 47 years, suffering from systemic lupus erythematosus without pulmonary involvement on native CT scan, on hydroxychloroquine treatment, was evaluated by echocardiography with evidence of a probability of PH: RA 29 mm, RV 30 mm, TAPSE 19 mm, sPAP 58 mmHg. Clinically, she presented with dyspnoea only on exertion, NYHA I, an NTproBNP of 97 pg/mL, covering a distance of 520 m on the 6-min walking test, 3/10 Borg, with SpO2 98% at the beginning and end of the test. RHC confirmed precapillary PH, with mPAP of 29 mmHg, PCWP of 15 mmHg, PVR 3.49 WU, CI 3.42 L/min/m2 and CO 5.75 L/min, therefore being considered low risk according to 3-strata ERS/ESC evaluation (7).
The mother was also genetically tested, confirming the presence of the TBX4 gene mutation. It was decided to initiate dual pulmonary vasodilator therapy with a PDE5 inhibitor and an ERA, sildenafil/bosentan, according to the ERS/ESC guideline recommendation (7).
PAH is a rare, severe and progressive type of PH, characterised by abnormal proliferation of endothelial cells and smooth muscle cells, causing increased pulmonary arterial pressure and right ventricular failure (7).
Regarding HPAH, several mutations associated with genetic syndromes that include PH in their clinical picture were identified. First mentions began in the late 1990s, with the first gene discovered being bone morphogenetic protein receptor type 2 (BMPR2), when the genetic basis of the disease began to be understood (10).
Regarding the respiratory tract, the TBX4 gene is crucial for lung development. Pathogenic variants of developmental anomalies include disruption in epithelial-mesenchymal signalling, TBX4 being an expression factor in the lung mesenchyme in early development (11). It also causes impaired branching morphogenesis by decreasing the expression of fibroblast growth factor 10 (FGF10), a key molecule in the formation of the bronchial tree (12). Various interactions between TBX4 mutation and signalling pathways such as TBX4-FGF10 and Sonic hedgehog – Forkhead box protein F1 (SHH-FOXF1) have been studied (13), which are critical in lung organogenesis. Their disruption can lead to developmental disorders, even to pulmonary hypoplasia. On the vascular side, the same process of deficient development occurs through decreased FGF10 expression, but also alteration of vascular smooth muscle cells, TBX4 being expressed in them as well, the mutation causing reduced contractility and increased proliferation, contributing to the vascular remodelling of PAH (14).
In addition to PAH and defective musculoskeletal development, a wide spectrum of clinical presentations has been observed, including pulmonary veno-occlusive disease, interstitial lung disease, other vascular anomalies, but also congenital heart defects and intellectual dysfunction (6, 15).
In recent years, multiple genes whose mutations can cause PAH have been identified. A study conducted in Europe (16) on a cohort of more than 1000 patients diagnosed with PAH, detected among HPAH a higher frequency of the BMPR2 gene mutation (75.9%), followed distantly by TBX4 (1.3%), along with ACVRL1 (activin receptor-like kinase 1 [ALK1]) (0.9%), endoglin (ENG) (0.6%) and others (17, 18).
The presented patient was diagnosed with PAH at a young age, and an acute vasoreactivity test with inhaled NO was conductedfollowingtheERS/ESCguidelinerecommendations (7). The vasoreactivity test is recommended in cases of idiopathic and drug-induced PAH and usually identifies patients who are responsive to vasodilators such as NO. A positive test is usually defined by a decrease in mPAP with >10 mmHg, <40 mmHg, without a decrease in CO. Such a response suggests that CCBs may have an effect, but only a small proportion of patients have a long-term effect, with improved haemodynamics and increased survival (19). The initial test had a partial response, and the patient was offered the chance to try CCB therapy along with the iPDE5, sildenafil, due to the risk criteria he was at. After being classified as HPAH, the probability of being a long-term responder was extremely low, a fact confirmed by the repeat test which was negative, so CCB therapy was stopped and replaced with oral dual therapy with pulmonary vasodilators. This phenomenon highlights the complexity of the pathophysiology of PAH and the need for individualised treatment.
Regarding heredity, the confirmation of the diagnosis of PAH in the mother was unexpected due to the lack of significant symptoms, but at the same time beneficial, due to the early identification and initiation of pulmonary vasodilator therapy.
We presented a complex case of persistent, progressive PH responsive to double therapy with pulmonary vasodilators. The first particularity of the case is the identification of TBX4 mutation, an unusual phenomenon considering the rarity of the mutation, as well as the limited accessibility of Romanian patients to genetic testing for PAH. The presented case is, to our knowledge, the first cluster of TBX4 mutation confirmed in Romania. The second peculiarity is the early detection, in the asymptomatic stage of the patient’s mother, of a case of PAH through family screening as a result of detailed anamnesis and genetic testing. This case also illustrates the phenomenon of ‘genetic anticipation’, where the signs and symptoms of a genetic condition become more severe and manifest at earlier ages with each successive generation (20).
PAH is a rare and severe disease, with significant advancements in diagnosis over the past 20 years. Improved prognosis has been achieved through better diagnostic methods, screening programs, and the development of new treatments and therapeutic strategies, leading to increased survival rates. Significant progress has been made in understanding HPAH, leading to the identification of additional therapeutic pathways based on gene mutation pathogenesis. However, genetic testing remains challenging, particularly in countries with limited healthcare budgets. At the same time, widespread genetic testing raises important ethical concerns, especially for asymptomatic carriers.