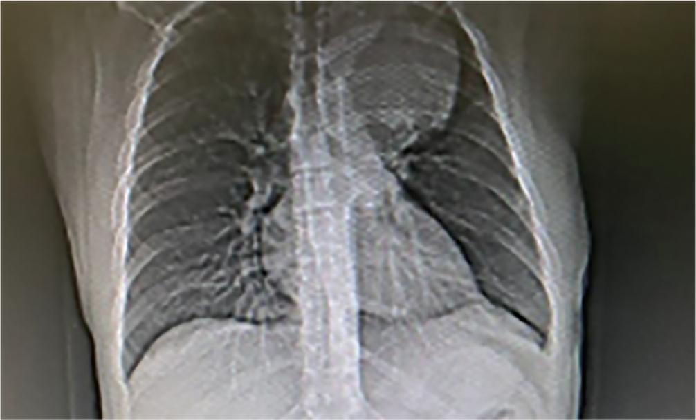
Figure 1.

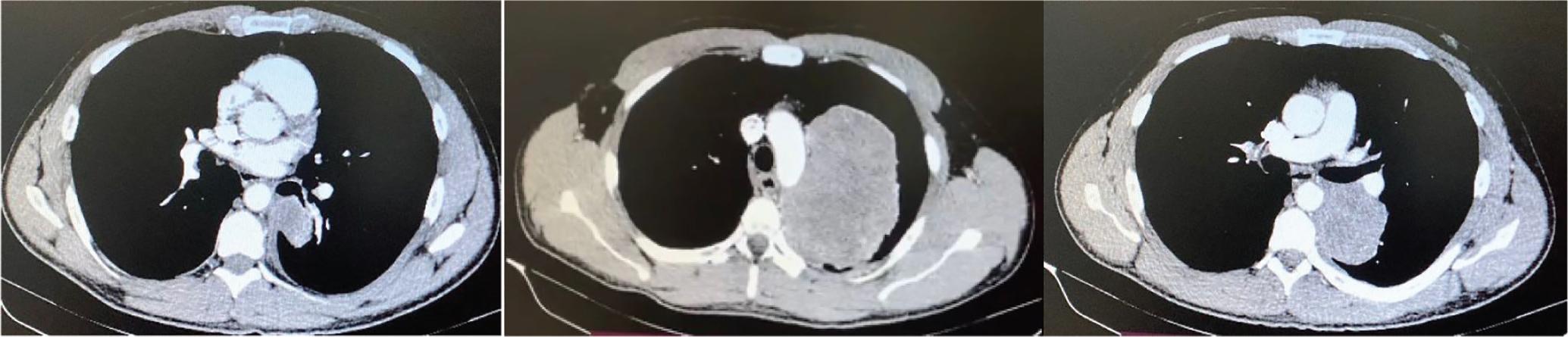
Figure 2.

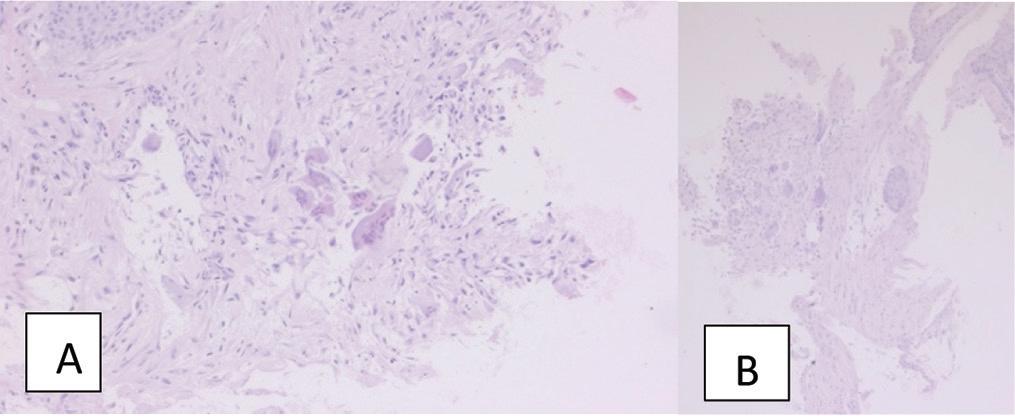
Figure 3.

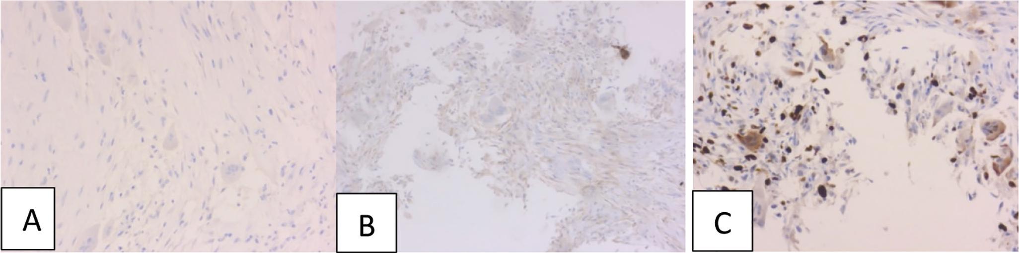
Figure 4.

Figure 5.

Subtypes of chondromas and sarcomas_
| Conventional chondrosarcoma | Fibrosarcoma | Malignant fibrous histiocytoma |
|---|---|---|
| Chondroma | Giant cell tumor osteosarcoma | Mesenchymal chondrosarcoma |
| Clear cell chondrosarcoma | Hemangiopericytoma | Neurofibroma of Bone (Schwangomul) |
| Classic osteosarcoma | High-grade surface osteosarcoma | Osteoclastoma |
| Ewing sarcoma | “Intraosseous” Osteosarcuma | Osteosarcoma in Paget’s Disease of Bone |
| Periosteal osteosarcoma | Peripheral neuroendocrine tumor | Small cell osteosarcoma |
| Periosteal condroma | Primitive neuroendocrine tumor | Telangiectatic osteosarcoma |